鼻孢子虫病--流行病学、临床放射学和免疫学概况。

Q3 Medicine
Megha Chandran, Rupa Mehta, Nitin M Nagarkar, Anudita Bhargava, Eli Mohapatra, Saroj Kumar Pati
{"title":"鼻孢子虫病--流行病学、临床放射学和免疫学概况。","authors":"Megha Chandran, Rupa Mehta, Nitin M Nagarkar, Anudita Bhargava, Eli Mohapatra, Saroj Kumar Pati","doi":"10.22038/IJORL.2023.68378.3331","DOIUrl":null,"url":null,"abstract":"<p><strong>Introduction: </strong>Rhinosporidiosis is an enigmatic disease with many unsolved queries right from taxonomy to treatment. This study has been done to understand the disease characteristics with a peek into the lesser known immunological aspects of it by studying the changes in levels of certain primarily cell-mediated immunity (CMI)-specific cytokines in rhinosporidiosis patients.</p><p><strong>Materials and methods: </strong>A prospective observational study was performed. Detailed epidemiological and clinicoradiological assessment was done along with selected inflammatory and immunological markers. The tests for immunological parameters were done by ELISA and CLIA and data were compiled and analyzed using appropriate statistics.</p><p><strong>Results: </strong>Disease showed male predominance and all patients gave a universal pond bathing history. Majority patients had O+ve blood group. Right side was affected most with nasal obstruction being commonest symptom. Nasal cavity was involved in majority of cases with inferior turbinate and meatus being sites of maximum occurrence and attachment. Nasopharynx, oropharynx were other involved sites. Extra-nasal sites included skin and parotid gland. Endoscopic and CECT findings were similar and confirmed intraoperatively. Tests for inflammatory markers showed no significant change in patients. Immunological markers -IL-6, TNF-beta- levels showed significant increase though no such increase was found with IFN-gamma levels.</p><p><strong>Conclusion: </strong>Rhinosporidiosis has a definite epidemiological and clinical-radiological profile. A clear association with exposure to contaminated water is present which could not be further associated with disease duration or recurrence. The immunological profile needs to be further investigated upon since it remains quite elusive.</p>","PeriodicalId":14607,"journal":{"name":"Iranian Journal of Otorhinolaryngology","volume":"35 130","pages":"255-262"},"PeriodicalIF":0.0000,"publicationDate":"2023-09-01","publicationTypes":"Journal Article","fieldsOfStudy":null,"isOpenAccess":false,"openAccessPdf":"https://www.ncbi.nlm.nih.gov/pmc/articles/PMC10712551/pdf/","citationCount":"0","resultStr":"{\"title\":\"Rhinosporidiosis- Epidemiological, Clinicoradiological, Immunological Profile.\",\"authors\":\"Megha Chandran, Rupa Mehta, Nitin M Nagarkar, Anudita Bhargava, Eli Mohapatra, Saroj Kumar Pati\",\"doi\":\"10.22038/IJORL.2023.68378.3331\",\"DOIUrl\":null,\"url\":null,\"abstract\":\"<p><strong>Introduction: </strong>Rhinosporidiosis is an enigmatic disease with many unsolved queries right from taxonomy to treatment. This study has been done to understand the disease characteristics with a peek into the lesser known immunological aspects of it by studying the changes in levels of certain primarily cell-mediated immunity (CMI)-specific cytokines in rhinosporidiosis patients.</p><p><strong>Materials and methods: </strong>A prospective observational study was performed. Detailed epidemiological and clinicoradiological assessment was done along with selected inflammatory and immunological markers. The tests for immunological parameters were done by ELISA and CLIA and data were compiled and analyzed using appropriate statistics.</p><p><strong>Results: </strong>Disease showed male predominance and all patients gave a universal pond bathing history. Majority patients had O+ve blood group. Right side was affected most with nasal obstruction being commonest symptom. Nasal cavity was involved in majority of cases with inferior turbinate and meatus being sites of maximum occurrence and attachment. Nasopharynx, oropharynx were other involved sites. Extra-nasal sites included skin and parotid gland. Endoscopic and CECT findings were similar and confirmed intraoperatively. Tests for inflammatory markers showed no significant change in patients. Immunological markers -IL-6, TNF-beta- levels showed significant increase though no such increase was found with IFN-gamma levels.</p><p><strong>Conclusion: </strong>Rhinosporidiosis has a definite epidemiological and clinical-radiological profile. A clear association with exposure to contaminated water is present which could not be further associated with disease duration or recurrence. The immunological profile needs to be further investigated upon since it remains quite elusive.</p>\",\"PeriodicalId\":14607,\"journal\":{\"name\":\"Iranian Journal of Otorhinolaryngology\",\"volume\":\"35 130\",\"pages\":\"255-262\"},\"PeriodicalIF\":0.0000,\"publicationDate\":\"2023-09-01\",\"publicationTypes\":\"Journal Article\",\"fieldsOfStudy\":null,\"isOpenAccess\":false,\"openAccessPdf\":\"https://www.ncbi.nlm.nih.gov/pmc/articles/PMC10712551/pdf/\",\"citationCount\":\"0\",\"resultStr\":null,\"platform\":\"Semanticscholar\",\"paperid\":null,\"PeriodicalName\":\"Iranian Journal of Otorhinolaryngology\",\"FirstCategoryId\":\"1085\",\"ListUrlMain\":\"https://doi.org/10.22038/IJORL.2023.68378.3331\",\"RegionNum\":0,\"RegionCategory\":null,\"ArticlePicture\":[],\"TitleCN\":null,\"AbstractTextCN\":null,\"PMCID\":null,\"EPubDate\":\"\",\"PubModel\":\"\",\"JCR\":\"Q3\",\"JCRName\":\"Medicine\",\"Score\":null,\"Total\":0}","platform":"Semanticscholar","paperid":null,"PeriodicalName":"Iranian Journal of Otorhinolaryngology","FirstCategoryId":"1085","ListUrlMain":"https://doi.org/10.22038/IJORL.2023.68378.3331","RegionNum":0,"RegionCategory":null,"ArticlePicture":[],"TitleCN":null,"AbstractTextCN":null,"PMCID":null,"EPubDate":"","PubModel":"","JCR":"Q3","JCRName":"Medicine","Score":null,"Total":0}
引用次数: 0

摘要

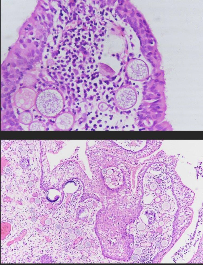
导言:犀牛孢子虫病是一种神秘的疾病,从分类到治疗都存在许多未解之谜。本研究旨在通过研究鼻孢子虫病患者体内某些主要是细胞介导免疫(CMI)特异性细胞因子水平的变化,了解该疾病的特征,并窥探其鲜为人知的免疫学方面:进行了一项前瞻性观察研究。详细的流行病学和临床放射学评估以及选定的炎症和免疫学指标均已完成。通过 ELISA 和 CLIA 对免疫学参数进行检测,并使用适当的统计学方法对数据进行汇编和分析:结果:疾病显示男性居多,所有患者都有普遍的池塘洗澡史。大多数患者为 O+ve 血型。右侧受影响最大,鼻塞是最常见的症状。大多数病例都累及鼻腔,下鼻甲和鼻小柱是发病率和附着率最高的部位。鼻咽和口咽是其他受累部位。鼻腔外部位包括皮肤和腮腺。内窥镜检查和CECT检查结果相似,并在术中得到证实。炎症标志物的检测结果显示患者没有明显变化。免疫标记物--IL-6、TNF-beta-水平有明显升高,但 IFN-gamma 水平没有升高:结论:鼻孢子虫病具有明确的流行病学和临床放射学特征。结论:犀牛孢子虫病具有明确的流行病学和临床放射学特征,与接触受污染的水明显相关,但无法进一步与病程或复发联系起来。免疫学特征需要进一步研究,因为它仍然相当难以捉摸。
本文章由计算机程序翻译,如有差异,请以英文原文为准。

Rhinosporidiosis- Epidemiological, Clinicoradiological, Immunological Profile.

Rhinosporidiosis- Epidemiological, Clinicoradiological, Immunological Profile.

Rhinosporidiosis- Epidemiological, Clinicoradiological, Immunological Profile.

Rhinosporidiosis- Epidemiological, Clinicoradiological, Immunological Profile.

Introduction: Rhinosporidiosis is an enigmatic disease with many unsolved queries right from taxonomy to treatment. This study has been done to understand the disease characteristics with a peek into the lesser known immunological aspects of it by studying the changes in levels of certain primarily cell-mediated immunity (CMI)-specific cytokines in rhinosporidiosis patients.

Materials and methods: A prospective observational study was performed. Detailed epidemiological and clinicoradiological assessment was done along with selected inflammatory and immunological markers. The tests for immunological parameters were done by ELISA and CLIA and data were compiled and analyzed using appropriate statistics.

Results: Disease showed male predominance and all patients gave a universal pond bathing history. Majority patients had O+ve blood group. Right side was affected most with nasal obstruction being commonest symptom. Nasal cavity was involved in majority of cases with inferior turbinate and meatus being sites of maximum occurrence and attachment. Nasopharynx, oropharynx were other involved sites. Extra-nasal sites included skin and parotid gland. Endoscopic and CECT findings were similar and confirmed intraoperatively. Tests for inflammatory markers showed no significant change in patients. Immunological markers -IL-6, TNF-beta- levels showed significant increase though no such increase was found with IFN-gamma levels.

Conclusion: Rhinosporidiosis has a definite epidemiological and clinical-radiological profile. A clear association with exposure to contaminated water is present which could not be further associated with disease duration or recurrence. The immunological profile needs to be further investigated upon since it remains quite elusive.

求助全文
通过发布文献求助,成功后即可免费获取论文全文。 去求助
来源期刊
Iranian Journal of Otorhinolaryngology
Iranian Journal of Otorhinolaryngology Medicine-Otorhinolaryngology
CiteScore
1.30
自引率
0.00%
发文量
72
审稿时长
12 weeks
×
引用
GB/T 7714-2015
复制
MLA
复制
APA
复制
导出至
BibTeX EndNote RefMan NoteFirst NoteExpress
×
提示
您的信息不完整,为了账户安全,请先补充。
现在去补充
×
提示
您因"违规操作"
具体请查看互助需知
我知道了
×
提示
确定
请完成安全验证×
copy
已复制链接
快去分享给好友吧!
我知道了
右上角分享
点击右上角分享
0
联系我们:info@booksci.cn Book学术提供免费学术资源搜索服务,方便国内外学者检索中英文文献。致力于提供最便捷和优质的服务体验。 Copyright © 2023 布克学术 All rights reserved.
京ICP备2023020795号-1
ghs 京公网安备 11010802042870号
Book学术文献互助
Book学术文献互助群
群 号:604180095
Book学术官方微信