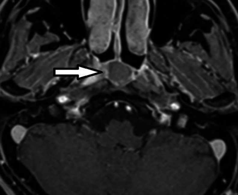
一名感染冠状病毒后听力丧失的患者的鼻咽支气管囊肿和 Thornwaldt 囊肿。

Q3 Medicine
Hosna Zobairy, Shahin Rajaeih, Mersad Mehrnahad, Parisa Modaresi, Ahmad Sofi-Mahmudi
{"title":"一名感染冠状病毒后听力丧失的患者的鼻咽支气管囊肿和 Thornwaldt 囊肿。","authors":"Hosna Zobairy, Shahin Rajaeih, Mersad Mehrnahad, Parisa Modaresi, Ahmad Sofi-Mahmudi","doi":"10.22038/IJORL.2023.71639.3436","DOIUrl":null,"url":null,"abstract":"<p><strong>Introduction: </strong>The majority of nasopharyngeal cysts are asymptomatic and rare. Nevertheless, these lesions are rarely discovered during regular endoscopies and imaging tests. An upper nasopharyngeal Thornwaldt cyst is a benign, mucosal congenital cyst. Even less frequently, they can cause unexplained sinonasal symptoms such as rhinorrhea, vision problems, and nasal blockage.</p><p><strong>Case report: </strong>Here, we report a case with new-onset hearing loss after the coronavirus infection, in which his imaging investigation showed a nasopharyngeal mass.</p><p><strong>Conclusion: </strong>After covid-19 infection we should consider branchial Cyst and Thornwaldt Cyst in a high-risk patients. On the other hand, the progressive hearing loss after covid-19 can occur due to activation of this kind of cysts.</p>","PeriodicalId":14607,"journal":{"name":"Iranian Journal of Otorhinolaryngology","volume":"35 130","pages":"289-293"},"PeriodicalIF":0.0000,"publicationDate":"2023-09-01","publicationTypes":"Journal Article","fieldsOfStudy":null,"isOpenAccess":false,"openAccessPdf":"https://www.ncbi.nlm.nih.gov/pmc/articles/PMC10712549/pdf/","citationCount":"0","resultStr":"{\"title\":\"Nasopharyngeal Branchial Cyst and Thornwaldt Cyst in a Patient with Hearing Loss after Coronavirus Infection.\",\"authors\":\"Hosna Zobairy, Shahin Rajaeih, Mersad Mehrnahad, Parisa Modaresi, Ahmad Sofi-Mahmudi\",\"doi\":\"10.22038/IJORL.2023.71639.3436\",\"DOIUrl\":null,\"url\":null,\"abstract\":\"<p><strong>Introduction: </strong>The majority of nasopharyngeal cysts are asymptomatic and rare. Nevertheless, these lesions are rarely discovered during regular endoscopies and imaging tests. An upper nasopharyngeal Thornwaldt cyst is a benign, mucosal congenital cyst. Even less frequently, they can cause unexplained sinonasal symptoms such as rhinorrhea, vision problems, and nasal blockage.</p><p><strong>Case report: </strong>Here, we report a case with new-onset hearing loss after the coronavirus infection, in which his imaging investigation showed a nasopharyngeal mass.</p><p><strong>Conclusion: </strong>After covid-19 infection we should consider branchial Cyst and Thornwaldt Cyst in a high-risk patients. On the other hand, the progressive hearing loss after covid-19 can occur due to activation of this kind of cysts.</p>\",\"PeriodicalId\":14607,\"journal\":{\"name\":\"Iranian Journal of Otorhinolaryngology\",\"volume\":\"35 130\",\"pages\":\"289-293\"},\"PeriodicalIF\":0.0000,\"publicationDate\":\"2023-09-01\",\"publicationTypes\":\"Journal Article\",\"fieldsOfStudy\":null,\"isOpenAccess\":false,\"openAccessPdf\":\"https://www.ncbi.nlm.nih.gov/pmc/articles/PMC10712549/pdf/\",\"citationCount\":\"0\",\"resultStr\":null,\"platform\":\"Semanticscholar\",\"paperid\":null,\"PeriodicalName\":\"Iranian Journal of Otorhinolaryngology\",\"FirstCategoryId\":\"1085\",\"ListUrlMain\":\"https://doi.org/10.22038/IJORL.2023.71639.3436\",\"RegionNum\":0,\"RegionCategory\":null,\"ArticlePicture\":[],\"TitleCN\":null,\"AbstractTextCN\":null,\"PMCID\":null,\"EPubDate\":\"\",\"PubModel\":\"\",\"JCR\":\"Q3\",\"JCRName\":\"Medicine\",\"Score\":null,\"Total\":0}","platform":"Semanticscholar","paperid":null,"PeriodicalName":"Iranian Journal of Otorhinolaryngology","FirstCategoryId":"1085","ListUrlMain":"https://doi.org/10.22038/IJORL.2023.71639.3436","RegionNum":0,"RegionCategory":null,"ArticlePicture":[],"TitleCN":null,"AbstractTextCN":null,"PMCID":null,"EPubDate":"","PubModel":"","JCR":"Q3","JCRName":"Medicine","Score":null,"Total":0}
引用次数: 0

摘要

简介大多数鼻咽囊肿无症状且罕见。然而,这些病变很少在常规内窥镜检查和造影检查中被发现。上鼻咽 Thornwaldt 囊肿是一种先天性粘膜良性囊肿。甚至更少见的是,它们会引起不明原因的鼻窦症状,如鼻出血、视力问题和鼻腔堵塞:病例报告:我们在此报告了一例冠状病毒感染后新发听力损失的病例,其影像学检查显示鼻咽部肿块:结论:感染冠状病毒-19 后,我们应考虑高危患者的腮腺囊肿和 Thornwaldt 囊肿。结论:感染科维-19 病毒后,我们应考虑高危患者的腮腺囊肿和 Thornwaldt 囊肿,另一方面,科维-19 病毒感染后的渐进性听力损失也可能是这类囊肿激活所致。
本文章由计算机程序翻译,如有差异,请以英文原文为准。

Nasopharyngeal Branchial Cyst and Thornwaldt Cyst in a Patient with Hearing Loss after Coronavirus Infection.

Nasopharyngeal Branchial Cyst and Thornwaldt Cyst in a Patient with Hearing Loss after Coronavirus Infection.

Nasopharyngeal Branchial Cyst and Thornwaldt Cyst in a Patient with Hearing Loss after Coronavirus Infection.

Nasopharyngeal Branchial Cyst and Thornwaldt Cyst in a Patient with Hearing Loss after Coronavirus Infection.

Introduction: The majority of nasopharyngeal cysts are asymptomatic and rare. Nevertheless, these lesions are rarely discovered during regular endoscopies and imaging tests. An upper nasopharyngeal Thornwaldt cyst is a benign, mucosal congenital cyst. Even less frequently, they can cause unexplained sinonasal symptoms such as rhinorrhea, vision problems, and nasal blockage.

Case report: Here, we report a case with new-onset hearing loss after the coronavirus infection, in which his imaging investigation showed a nasopharyngeal mass.

Conclusion: After covid-19 infection we should consider branchial Cyst and Thornwaldt Cyst in a high-risk patients. On the other hand, the progressive hearing loss after covid-19 can occur due to activation of this kind of cysts.

求助全文
通过发布文献求助,成功后即可免费获取论文全文。 去求助
来源期刊
Iranian Journal of Otorhinolaryngology
Iranian Journal of Otorhinolaryngology Medicine-Otorhinolaryngology
CiteScore
1.30
自引率
0.00%
发文量
72
审稿时长
12 weeks
×
引用
GB/T 7714-2015
复制
MLA
复制
APA
复制
导出至
BibTeX EndNote RefMan NoteFirst NoteExpress
×
提示
您的信息不完整,为了账户安全,请先补充。
现在去补充
×
提示
您因"违规操作"
具体请查看互助需知
我知道了
×
提示
确定
请完成安全验证×
copy
已复制链接
快去分享给好友吧!
我知道了
右上角分享
点击右上角分享
0
联系我们:info@booksci.cn Book学术提供免费学术资源搜索服务,方便国内外学者检索中英文文献。致力于提供最便捷和优质的服务体验。 Copyright © 2023 布克学术 All rights reserved.
京ICP备2023020795号-1
ghs 京公网安备 11010802042870号
Book学术文献互助
Book学术文献互助群
群 号:604180095
Book学术官方微信
小红书