阴道分娩后7天无特殊危险因素的子宫外生性动脉假性动脉瘤破裂1例。

IF 0.8 Q4 OBSTETRICS & GYNECOLOGY
Case Reports in Obstetrics and Gynecology Pub Date : 2023-11-25 eCollection Date: 2023-01-01 DOI:10.1155/2023/1637463
Masatake Toshimitsu, Takayuki Iriyama, Jiro Sato, Osamu Abe, Mari Ichinose, Seisuke Sayama, Takahiro Seyama, Kenbun Sone, Keiichi Kumasawa, Yutaka Osuga
{"title":"阴道分娩后7天无特殊危险因素的子宫外生性动脉假性动脉瘤破裂1例。","authors":"Masatake Toshimitsu, Takayuki Iriyama, Jiro Sato, Osamu Abe, Mari Ichinose, Seisuke Sayama, Takahiro Seyama, Kenbun Sone, Keiichi Kumasawa, Yutaka Osuga","doi":"10.1155/2023/1637463","DOIUrl":null,"url":null,"abstract":"<p><p>A uterine artery pseudoaneurysm (UAP) is a life-threatening complication during pregnancy and postpartum. Early diagnosis of exophytic UAP rupture is difficult due to the absence of vaginal bleeding. This study reports the case of a 31-year-old postpartum woman who presented with abdominal pain and fever seven days after vaginal delivery, without symptoms of maternal shock. Ultrasonography revealed a ruptured exophytic UAP with hemoperitoneum, which was confirmed using computed tomography. Interventional radiology confirmed that the site of the pseudoaneurysm was at the level of the uterine artery bifurcation, and embolization was performed immediately after diagnosis using a coil and n-butyl-2-cyanoacrylate. The patient's symptoms were relieved, and she was discharged 12 days after the embolization. At eight months postpartum, the UAP was not visible on transvaginal ultrasonography. Exophytic UAP can occur even in the absence of specific risk factors such as cesarean section or endometriosis, and the UAP may not necessarily rupture immediately after delivery. Obstetricians must remain aware of the possibility of exophytic UAP rupture manifesting as abdominal pain with postpartum fever, rather than as unstable vital signs. This is the first report of an exophytic UAP that occurred at the level of the uterine artery bifurcation. Identification of the sites where exophytic UAP can occur can aid in the early diagnosis of the condition.</p>","PeriodicalId":9610,"journal":{"name":"Case Reports in Obstetrics and Gynecology","volume":"2023 ","pages":"1637463"},"PeriodicalIF":0.8000,"publicationDate":"2023-11-25","publicationTypes":"Journal Article","fieldsOfStudy":null,"isOpenAccess":false,"openAccessPdf":"https://www.ncbi.nlm.nih.gov/pmc/articles/PMC10693466/pdf/","citationCount":"0","resultStr":"{\"title\":\"A Case of Ruptured Exophytic Uterine Artery Pseudoaneurysm without Specific Risk Factors That Manifested Seven Days after Vaginal Delivery.\",\"authors\":\"Masatake Toshimitsu, Takayuki Iriyama, Jiro Sato, Osamu Abe, Mari Ichinose, Seisuke Sayama, Takahiro Seyama, Kenbun Sone, Keiichi Kumasawa, Yutaka Osuga\",\"doi\":\"10.1155/2023/1637463\",\"DOIUrl\":null,\"url\":null,\"abstract\":\"<p><p>A uterine artery pseudoaneurysm (UAP) is a life-threatening complication during pregnancy and postpartum. Early diagnosis of exophytic UAP rupture is difficult due to the absence of vaginal bleeding. This study reports the case of a 31-year-old postpartum woman who presented with abdominal pain and fever seven days after vaginal delivery, without symptoms of maternal shock. Ultrasonography revealed a ruptured exophytic UAP with hemoperitoneum, which was confirmed using computed tomography. Interventional radiology confirmed that the site of the pseudoaneurysm was at the level of the uterine artery bifurcation, and embolization was performed immediately after diagnosis using a coil and n-butyl-2-cyanoacrylate. The patient's symptoms were relieved, and she was discharged 12 days after the embolization. At eight months postpartum, the UAP was not visible on transvaginal ultrasonography. Exophytic UAP can occur even in the absence of specific risk factors such as cesarean section or endometriosis, and the UAP may not necessarily rupture immediately after delivery. Obstetricians must remain aware of the possibility of exophytic UAP rupture manifesting as abdominal pain with postpartum fever, rather than as unstable vital signs. This is the first report of an exophytic UAP that occurred at the level of the uterine artery bifurcation. Identification of the sites where exophytic UAP can occur can aid in the early diagnosis of the condition.</p>\",\"PeriodicalId\":9610,\"journal\":{\"name\":\"Case Reports in Obstetrics and Gynecology\",\"volume\":\"2023 \",\"pages\":\"1637463\"},\"PeriodicalIF\":0.8000,\"publicationDate\":\"2023-11-25\",\"publicationTypes\":\"Journal Article\",\"fieldsOfStudy\":null,\"isOpenAccess\":false,\"openAccessPdf\":\"https://www.ncbi.nlm.nih.gov/pmc/articles/PMC10693466/pdf/\",\"citationCount\":\"0\",\"resultStr\":null,\"platform\":\"Semanticscholar\",\"paperid\":null,\"PeriodicalName\":\"Case Reports in Obstetrics and Gynecology\",\"FirstCategoryId\":\"1085\",\"ListUrlMain\":\"https://doi.org/10.1155/2023/1637463\",\"RegionNum\":0,\"RegionCategory\":null,\"ArticlePicture\":[],\"TitleCN\":null,\"AbstractTextCN\":null,\"PMCID\":null,\"EPubDate\":\"2023/1/1 0:00:00\",\"PubModel\":\"eCollection\",\"JCR\":\"Q4\",\"JCRName\":\"OBSTETRICS & GYNECOLOGY\",\"Score\":null,\"Total\":0}","platform":"Semanticscholar","paperid":null,"PeriodicalName":"Case Reports in Obstetrics and Gynecology","FirstCategoryId":"1085","ListUrlMain":"https://doi.org/10.1155/2023/1637463","RegionNum":0,"RegionCategory":null,"ArticlePicture":[],"TitleCN":null,"AbstractTextCN":null,"PMCID":null,"EPubDate":"2023/1/1 0:00:00","PubModel":"eCollection","JCR":"Q4","JCRName":"OBSTETRICS & GYNECOLOGY","Score":null,"Total":0}
引用次数: 0

摘要

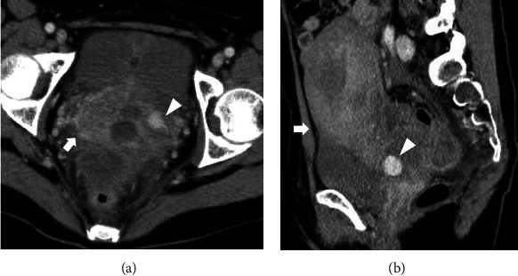
子宫动脉假性动脉瘤(UAP)是妊娠和产后危及生命的并发症。由于没有阴道出血,外生性UAP破裂的早期诊断是困难的。本研究报告了一例31岁的产后妇女,阴道分娩后7天出现腹痛和发烧,无产妇休克症状。超声检查显示外生性UAP破裂伴腹膜出血,经计算机断层扫描证实。介入放射学证实假性动脉瘤位于子宫动脉分叉处,诊断后立即用线圈和正丁-2-氰基丙烯酸酯栓塞。患者症状缓解,栓塞12天后出院。产后8个月,经阴道超声检查未见UAP。即使没有特定的危险因素,如剖宫产或子宫内膜异位症,外生性子宫内膜异位症也可能发生,而且子宫内膜异位症不一定在分娩后立即破裂。产科医生必须保持警惕外源性UAP破裂的可能性,表现为腹痛和产后发烧,而不是不稳定的生命体征。这是首次报道发生在子宫动脉分叉水平的外生性UAP。确定外生性UAP可能发生的部位有助于该病的早期诊断。
本文章由计算机程序翻译,如有差异,请以英文原文为准。

A Case of Ruptured Exophytic Uterine Artery Pseudoaneurysm without Specific Risk Factors That Manifested Seven Days after Vaginal Delivery.

A Case of Ruptured Exophytic Uterine Artery Pseudoaneurysm without Specific Risk Factors That Manifested Seven Days after Vaginal Delivery.

A Case of Ruptured Exophytic Uterine Artery Pseudoaneurysm without Specific Risk Factors That Manifested Seven Days after Vaginal Delivery.

A Case of Ruptured Exophytic Uterine Artery Pseudoaneurysm without Specific Risk Factors That Manifested Seven Days after Vaginal Delivery.

A uterine artery pseudoaneurysm (UAP) is a life-threatening complication during pregnancy and postpartum. Early diagnosis of exophytic UAP rupture is difficult due to the absence of vaginal bleeding. This study reports the case of a 31-year-old postpartum woman who presented with abdominal pain and fever seven days after vaginal delivery, without symptoms of maternal shock. Ultrasonography revealed a ruptured exophytic UAP with hemoperitoneum, which was confirmed using computed tomography. Interventional radiology confirmed that the site of the pseudoaneurysm was at the level of the uterine artery bifurcation, and embolization was performed immediately after diagnosis using a coil and n-butyl-2-cyanoacrylate. The patient's symptoms were relieved, and she was discharged 12 days after the embolization. At eight months postpartum, the UAP was not visible on transvaginal ultrasonography. Exophytic UAP can occur even in the absence of specific risk factors such as cesarean section or endometriosis, and the UAP may not necessarily rupture immediately after delivery. Obstetricians must remain aware of the possibility of exophytic UAP rupture manifesting as abdominal pain with postpartum fever, rather than as unstable vital signs. This is the first report of an exophytic UAP that occurred at the level of the uterine artery bifurcation. Identification of the sites where exophytic UAP can occur can aid in the early diagnosis of the condition.

求助全文
通过发布文献求助,成功后即可免费获取论文全文。 去求助
来源期刊
Case Reports in Obstetrics and Gynecology
Case Reports in Obstetrics and Gynecology Medicine-Obstetrics and Gynecology
CiteScore
1.30
自引率
0.00%
发文量
64
审稿时长
12 weeks
×
引用
GB/T 7714-2015
复制
MLA
复制
APA
复制
导出至
BibTeX EndNote RefMan NoteFirst NoteExpress
×
提示
您的信息不完整,为了账户安全,请先补充。
现在去补充
×
提示
您因"违规操作"
具体请查看互助需知
我知道了
×
提示
确定
请完成安全验证×
copy
已复制链接
快去分享给好友吧!
我知道了
右上角分享
点击右上角分享
0
联系我们:info@booksci.cn Book学术提供免费学术资源搜索服务,方便国内外学者检索中英文文献。致力于提供最便捷和优质的服务体验。 Copyright © 2023 布克学术 All rights reserved.
京ICP备2023020795号-1
ghs 京公网安备 11010802042870号
Book学术文献互助
Book学术文献互助群
群 号:604180095
Book学术官方微信