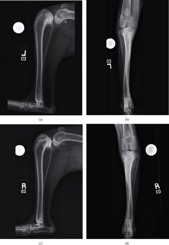
使用术前3D虚拟规划和3D打印的患者特定指南,促进单期颅骨闭合楔骨切除术和胫骨平台水平截骨手术,以解决狗胫骨近端畸形,胫骨平台角度过大和颅交叉韧带功能不全。

Q3 Veterinary
Case Reports in Veterinary Medicine Pub Date : 2023-11-23 eCollection Date: 2023-01-01 DOI:10.1155/2023/3368794
Christina C De Armond, Daniel D Lewis, Sarah Townsend
{"title":"使用术前3D虚拟规划和3D打印的患者特定指南,促进单期颅骨闭合楔骨切除术和胫骨平台水平截骨手术,以解决狗胫骨近端畸形,胫骨平台角度过大和颅交叉韧带功能不全。","authors":"Christina C De Armond, Daniel D Lewis, Sarah Townsend","doi":"10.1155/2023/3368794","DOIUrl":null,"url":null,"abstract":"<p><p>A 9-month-old mixed-breed dog was presented for bilateral proximal tibial deformity resulting in an excessive tibial plateau angle and cranial cruciate ligament insufficiency. Initial surgical management of the right pelvic limb was done by performing a cranial closing wedge ostectomy. Inadequate leveling of the plateau resulted in a postliminal meniscal tear which was addressed during a revision tibial plateau leveling osteotomy. The left pelvic limb was managed in a single-session surgery using three-dimensional (3D) virtual surgical planning and custom 3D-printed surgical guides to perform a combined cranial closing wedge ostectomy and tibial plateau leveling osteotomy. Postoperative 3D analysis of the left tibia revealed the accuracy of the surgical result within 2° of the virtual surgical plan. The dog developed a transient grade II/IV left medial patellar luxation following surgery but ultimately attained a full functional recovery and was actively engaged in competitive agility work 46 months following surgery on the left pelvic limb.</p>","PeriodicalId":37339,"journal":{"name":"Case Reports in Veterinary Medicine","volume":"2023 ","pages":"3368794"},"PeriodicalIF":0.0000,"publicationDate":"2023-11-23","publicationTypes":"Journal Article","fieldsOfStudy":null,"isOpenAccess":false,"openAccessPdf":"https://www.ncbi.nlm.nih.gov/pmc/articles/PMC10689072/pdf/","citationCount":"0","resultStr":"{\"title\":\"Use of Preoperative 3D Virtual Planning and 3D-Printed Patient-Specific Guides to Facilitate a Single-Stage Cranial Closing Wedge Ostectomy and Tibial Plateau Leveling Osteotomy Procedure to Address Proximal Tibial Deformity, an Excessive Tibial Plateau Angle, and Cranial Cruciate Ligament Insufficiency in a Dog.\",\"authors\":\"Christina C De Armond, Daniel D Lewis, Sarah Townsend\",\"doi\":\"10.1155/2023/3368794\",\"DOIUrl\":null,\"url\":null,\"abstract\":\"<p><p>A 9-month-old mixed-breed dog was presented for bilateral proximal tibial deformity resulting in an excessive tibial plateau angle and cranial cruciate ligament insufficiency. Initial surgical management of the right pelvic limb was done by performing a cranial closing wedge ostectomy. Inadequate leveling of the plateau resulted in a postliminal meniscal tear which was addressed during a revision tibial plateau leveling osteotomy. The left pelvic limb was managed in a single-session surgery using three-dimensional (3D) virtual surgical planning and custom 3D-printed surgical guides to perform a combined cranial closing wedge ostectomy and tibial plateau leveling osteotomy. Postoperative 3D analysis of the left tibia revealed the accuracy of the surgical result within 2° of the virtual surgical plan. The dog developed a transient grade II/IV left medial patellar luxation following surgery but ultimately attained a full functional recovery and was actively engaged in competitive agility work 46 months following surgery on the left pelvic limb.</p>\",\"PeriodicalId\":37339,\"journal\":{\"name\":\"Case Reports in Veterinary Medicine\",\"volume\":\"2023 \",\"pages\":\"3368794\"},\"PeriodicalIF\":0.0000,\"publicationDate\":\"2023-11-23\",\"publicationTypes\":\"Journal Article\",\"fieldsOfStudy\":null,\"isOpenAccess\":false,\"openAccessPdf\":\"https://www.ncbi.nlm.nih.gov/pmc/articles/PMC10689072/pdf/\",\"citationCount\":\"0\",\"resultStr\":null,\"platform\":\"Semanticscholar\",\"paperid\":null,\"PeriodicalName\":\"Case Reports in Veterinary Medicine\",\"FirstCategoryId\":\"1085\",\"ListUrlMain\":\"https://doi.org/10.1155/2023/3368794\",\"RegionNum\":0,\"RegionCategory\":null,\"ArticlePicture\":[],\"TitleCN\":null,\"AbstractTextCN\":null,\"PMCID\":null,\"EPubDate\":\"2023/1/1 0:00:00\",\"PubModel\":\"eCollection\",\"JCR\":\"Q3\",\"JCRName\":\"Veterinary\",\"Score\":null,\"Total\":0}","platform":"Semanticscholar","paperid":null,"PeriodicalName":"Case Reports in Veterinary Medicine","FirstCategoryId":"1085","ListUrlMain":"https://doi.org/10.1155/2023/3368794","RegionNum":0,"RegionCategory":null,"ArticlePicture":[],"TitleCN":null,"AbstractTextCN":null,"PMCID":null,"EPubDate":"2023/1/1 0:00:00","PubModel":"eCollection","JCR":"Q3","JCRName":"Veterinary","Score":null,"Total":0}
引用次数: 0

摘要

一只9个月大的混血狗因双侧胫骨近端畸形导致胫骨平台角过大和颅交叉韧带功能不全。右侧骨盆肢体的初始手术处理是通过颅骨闭合楔形骨切除术完成的。平台水平不高导致半月板撕伤,在胫骨平台水平截骨手术中得到解决。左侧骨盆肢体在一次手术中使用三维(3D)虚拟手术计划和定制的3D打印手术指南进行联合颅合楔形骨切除术和胫骨平台平切术。术后左胫骨的三维分析显示,手术结果的准确性在虚拟手术计划的2°以内。手术后,狗出现了短暂的II/IV级左内侧髌骨脱位,但最终实现了完全的功能恢复,并在手术后46个月积极参与左骨盆肢体的竞技敏捷性工作。
本文章由计算机程序翻译,如有差异,请以英文原文为准。

Use of Preoperative 3D Virtual Planning and 3D-Printed Patient-Specific Guides to Facilitate a Single-Stage Cranial Closing Wedge Ostectomy and Tibial Plateau Leveling Osteotomy Procedure to Address Proximal Tibial Deformity, an Excessive Tibial Plateau Angle, and Cranial Cruciate Ligament Insufficiency in a Dog.

Use of Preoperative 3D Virtual Planning and 3D-Printed Patient-Specific Guides to Facilitate a Single-Stage Cranial Closing Wedge Ostectomy and Tibial Plateau Leveling Osteotomy Procedure to Address Proximal Tibial Deformity, an Excessive Tibial Plateau Angle, and Cranial Cruciate Ligament Insufficiency in a Dog.

Use of Preoperative 3D Virtual Planning and 3D-Printed Patient-Specific Guides to Facilitate a Single-Stage Cranial Closing Wedge Ostectomy and Tibial Plateau Leveling Osteotomy Procedure to Address Proximal Tibial Deformity, an Excessive Tibial Plateau Angle, and Cranial Cruciate Ligament Insufficiency in a Dog.

Use of Preoperative 3D Virtual Planning and 3D-Printed Patient-Specific Guides to Facilitate a Single-Stage Cranial Closing Wedge Ostectomy and Tibial Plateau Leveling Osteotomy Procedure to Address Proximal Tibial Deformity, an Excessive Tibial Plateau Angle, and Cranial Cruciate Ligament Insufficiency in a Dog.

A 9-month-old mixed-breed dog was presented for bilateral proximal tibial deformity resulting in an excessive tibial plateau angle and cranial cruciate ligament insufficiency. Initial surgical management of the right pelvic limb was done by performing a cranial closing wedge ostectomy. Inadequate leveling of the plateau resulted in a postliminal meniscal tear which was addressed during a revision tibial plateau leveling osteotomy. The left pelvic limb was managed in a single-session surgery using three-dimensional (3D) virtual surgical planning and custom 3D-printed surgical guides to perform a combined cranial closing wedge ostectomy and tibial plateau leveling osteotomy. Postoperative 3D analysis of the left tibia revealed the accuracy of the surgical result within 2° of the virtual surgical plan. The dog developed a transient grade II/IV left medial patellar luxation following surgery but ultimately attained a full functional recovery and was actively engaged in competitive agility work 46 months following surgery on the left pelvic limb.

求助全文
通过发布文献求助,成功后即可免费获取论文全文。 去求助
来源期刊
Case Reports in Veterinary Medicine
Case Reports in Veterinary Medicine Veterinary-Veterinary (all)
CiteScore
0.70
自引率
0.00%
发文量
14
审稿时长
13 weeks
期刊介绍: Case Reports in Veterinary Medicine is a peer-reviewed, Open Access journal that publishes case reports and case series in all areas of veterinary medicine.
×
引用
GB/T 7714-2015
复制
MLA
复制
APA
复制
导出至
BibTeX EndNote RefMan NoteFirst NoteExpress
×
提示
您的信息不完整,为了账户安全,请先补充。
现在去补充
×
提示
您因"违规操作"
具体请查看互助需知
我知道了
×
提示
确定
请完成安全验证×
copy
已复制链接
快去分享给好友吧!
我知道了
右上角分享
点击右上角分享
0
联系我们:info@booksci.cn Book学术提供免费学术资源搜索服务,方便国内外学者检索中英文文献。致力于提供最便捷和优质的服务体验。 Copyright © 2023 布克学术 All rights reserved.
京ICP备2023020795号-1
ghs 京公网安备 11010802042870号
Book学术文献互助
Book学术文献互助群
群 号:604180095
Book学术官方微信