宫颈小细胞神经内分泌癌伴腺癌和高级别鳞状上皮内瘤变。

Q4 Medicine
Autopsy and Case Reports Pub Date : 2023-11-13 eCollection Date: 2023-01-01 DOI:10.4322/acr.2023.452
Guralarasan Gurubalan, Amber Parwaiz, Surabhi Ajit, Tarun Kumar, Madhu Kumari, Punam Bhadani
{"title":"宫颈小细胞神经内分泌癌伴腺癌和高级别鳞状上皮内瘤变。","authors":"Guralarasan Gurubalan, Amber Parwaiz, Surabhi Ajit, Tarun Kumar, Madhu Kumari, Punam Bhadani","doi":"10.4322/acr.2023.452","DOIUrl":null,"url":null,"abstract":"<p><p>Neuroendocrine neoplasm (NEN) of the cervix is a malignant tumor and is classified into low and intermediate-grade neuroendocrine tumor (NET), and high-grade small cell neuroendocrine carcinoma (SCNEC), and large cells neuroendocrine carcinoma (LCNEC). SCNEC of the cervix is an Infrequent tumor with an incidence of less than 1% of all gynecological malignancies. It is characterized by small to medium-sized tumor cells with scant cytoplasm and neuroendocrine differentiation. Most cases of SCNEC of the cervix manifest in pure forms, and only cases show coexisting, non-neuroendocrine component of HPV-associated adenocarcinoma or squamous cell carcinoma. In this report, reviewing the literature, we present one such unique case of SCNEC of the cervix with adenocarcinoma and high-grade squamous intraepithelial neoplasia.</p>","PeriodicalId":53117,"journal":{"name":"Autopsy and Case Reports","volume":"13 ","pages":"e2023452"},"PeriodicalIF":0.0000,"publicationDate":"2023-11-13","publicationTypes":"Journal Article","fieldsOfStudy":null,"isOpenAccess":false,"openAccessPdf":"https://www.ncbi.nlm.nih.gov/pmc/articles/PMC10688200/pdf/","citationCount":"0","resultStr":"{\"title\":\"Small cell neuroendocrine carcinoma with adenocarcinoma and high grade squamous intraepithelial neoplasia of the cervix.\",\"authors\":\"Guralarasan Gurubalan, Amber Parwaiz, Surabhi Ajit, Tarun Kumar, Madhu Kumari, Punam Bhadani\",\"doi\":\"10.4322/acr.2023.452\",\"DOIUrl\":null,\"url\":null,\"abstract\":\"<p><p>Neuroendocrine neoplasm (NEN) of the cervix is a malignant tumor and is classified into low and intermediate-grade neuroendocrine tumor (NET), and high-grade small cell neuroendocrine carcinoma (SCNEC), and large cells neuroendocrine carcinoma (LCNEC). SCNEC of the cervix is an Infrequent tumor with an incidence of less than 1% of all gynecological malignancies. It is characterized by small to medium-sized tumor cells with scant cytoplasm and neuroendocrine differentiation. Most cases of SCNEC of the cervix manifest in pure forms, and only cases show coexisting, non-neuroendocrine component of HPV-associated adenocarcinoma or squamous cell carcinoma. In this report, reviewing the literature, we present one such unique case of SCNEC of the cervix with adenocarcinoma and high-grade squamous intraepithelial neoplasia.</p>\",\"PeriodicalId\":53117,\"journal\":{\"name\":\"Autopsy and Case Reports\",\"volume\":\"13 \",\"pages\":\"e2023452\"},\"PeriodicalIF\":0.0000,\"publicationDate\":\"2023-11-13\",\"publicationTypes\":\"Journal Article\",\"fieldsOfStudy\":null,\"isOpenAccess\":false,\"openAccessPdf\":\"https://www.ncbi.nlm.nih.gov/pmc/articles/PMC10688200/pdf/\",\"citationCount\":\"0\",\"resultStr\":null,\"platform\":\"Semanticscholar\",\"paperid\":null,\"PeriodicalName\":\"Autopsy and Case Reports\",\"FirstCategoryId\":\"1085\",\"ListUrlMain\":\"https://doi.org/10.4322/acr.2023.452\",\"RegionNum\":0,\"RegionCategory\":null,\"ArticlePicture\":[],\"TitleCN\":null,\"AbstractTextCN\":null,\"PMCID\":null,\"EPubDate\":\"2023/1/1 0:00:00\",\"PubModel\":\"eCollection\",\"JCR\":\"Q4\",\"JCRName\":\"Medicine\",\"Score\":null,\"Total\":0}","platform":"Semanticscholar","paperid":null,"PeriodicalName":"Autopsy and Case Reports","FirstCategoryId":"1085","ListUrlMain":"https://doi.org/10.4322/acr.2023.452","RegionNum":0,"RegionCategory":null,"ArticlePicture":[],"TitleCN":null,"AbstractTextCN":null,"PMCID":null,"EPubDate":"2023/1/1 0:00:00","PubModel":"eCollection","JCR":"Q4","JCRName":"Medicine","Score":null,"Total":0}
引用次数: 0

摘要

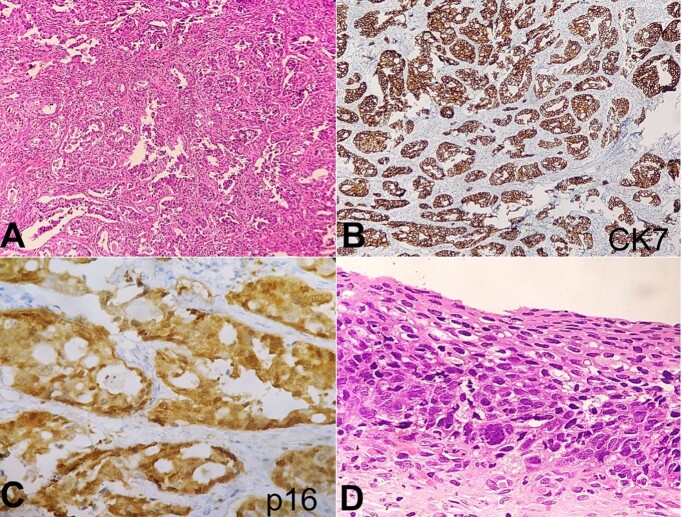
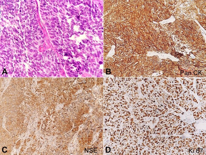
宫颈神经内分泌肿瘤(Neuroendocrine neoplasm, NEN)是一种恶性肿瘤,分为中低级别神经内分泌肿瘤(NET)、高级别小细胞神经内分泌癌(SCNEC)和大细胞神经内分泌癌(LCNEC)。宫颈SCNEC是一种罕见的肿瘤,发病率不到1%的所有妇科恶性肿瘤。它的特点是小到中等大小的肿瘤细胞,缺乏细胞质和神经内分泌分化。大多数宫颈SCNEC病例表现为单纯形式,只有病例显示hpv相关腺癌或鳞状细胞癌共存的非神经内分泌成分。在本报告中,回顾文献,我们提出了一例宫颈SCNEC合并腺癌和高级别鳞状上皮内瘤变的独特病例。
本文章由计算机程序翻译,如有差异,请以英文原文为准。

Small cell neuroendocrine carcinoma with adenocarcinoma and high grade squamous intraepithelial neoplasia of the cervix.

Small cell neuroendocrine carcinoma with adenocarcinoma and high grade squamous intraepithelial neoplasia of the cervix.

Small cell neuroendocrine carcinoma with adenocarcinoma and high grade squamous intraepithelial neoplasia of the cervix.

Neuroendocrine neoplasm (NEN) of the cervix is a malignant tumor and is classified into low and intermediate-grade neuroendocrine tumor (NET), and high-grade small cell neuroendocrine carcinoma (SCNEC), and large cells neuroendocrine carcinoma (LCNEC). SCNEC of the cervix is an Infrequent tumor with an incidence of less than 1% of all gynecological malignancies. It is characterized by small to medium-sized tumor cells with scant cytoplasm and neuroendocrine differentiation. Most cases of SCNEC of the cervix manifest in pure forms, and only cases show coexisting, non-neuroendocrine component of HPV-associated adenocarcinoma or squamous cell carcinoma. In this report, reviewing the literature, we present one such unique case of SCNEC of the cervix with adenocarcinoma and high-grade squamous intraepithelial neoplasia.

求助全文
通过发布文献求助,成功后即可免费获取论文全文。 去求助
来源期刊
Autopsy and Case Reports
Autopsy and Case Reports Medicine-Internal Medicine
CiteScore
1.20
自引率
0.00%
发文量
60
审稿时长
9 weeks
×
引用
GB/T 7714-2015
复制
MLA
复制
APA
复制
导出至
BibTeX EndNote RefMan NoteFirst NoteExpress
×
提示
您的信息不完整,为了账户安全,请先补充。
现在去补充
×
提示
您因"违规操作"
具体请查看互助需知
我知道了
×
提示
确定
请完成安全验证×
copy
已复制链接
快去分享给好友吧!
我知道了
右上角分享
点击右上角分享
0
联系我们:info@booksci.cn Book学术提供免费学术资源搜索服务,方便国内外学者检索中英文文献。致力于提供最便捷和优质的服务体验。 Copyright © 2023 布克学术 All rights reserved.
京ICP备2023020795号-1
ghs 京公网安备 11010802042870号
Book学术文献互助
Book学术文献互助群
群 号:604180095
Book学术官方微信
小红书