巨细胞性主动脉炎与巨细胞性主动脉瓣膜炎的罕见关联。

Q4 Medicine
Autopsy and Case Reports Pub Date : 2023-10-23 eCollection Date: 2023-01-01 DOI:10.4322/acr.2023.449
Georgina Del Cisne Jadán Luzuriaga, Ricardo Ribeiro Dias, José Augusto Duncan Santiago, Vagner Madrini, Walther Yoshiharu Ishikawa, Fabio Fernandes, Vera Demarchi Aiello
{"title":"巨细胞性主动脉炎与巨细胞性主动脉瓣膜炎的罕见关联。","authors":"Georgina Del Cisne Jadán Luzuriaga, Ricardo Ribeiro Dias, José Augusto Duncan Santiago, Vagner Madrini, Walther Yoshiharu Ishikawa, Fabio Fernandes, Vera Demarchi Aiello","doi":"10.4322/acr.2023.449","DOIUrl":null,"url":null,"abstract":"<p><p>Giant cell arteritis (GCA) is a type of chronic vasculitis that affects medium and large-caliber arteries, frequently related to aortic involvement and, consequently, to aneurysm formation. However, associated valvulitis with giant cells is uncommon. We describe the case of a 50-year-old female patient with aortic aneurysm and valvular insufficiency, whose anatomopathological examination revealed giant-cell aortic valvulitis associated with giant cell aortitis.</p>","PeriodicalId":53117,"journal":{"name":"Autopsy and Case Reports","volume":"13 ","pages":"e2023449"},"PeriodicalIF":0.0000,"publicationDate":"2023-10-23","publicationTypes":"Journal Article","fieldsOfStudy":null,"isOpenAccess":false,"openAccessPdf":"https://www.ncbi.nlm.nih.gov/pmc/articles/PMC10688263/pdf/","citationCount":"0","resultStr":"{\"title\":\"Rare association between giant-cell aortitis and giant-cell aortic valvulitis.\",\"authors\":\"Georgina Del Cisne Jadán Luzuriaga, Ricardo Ribeiro Dias, José Augusto Duncan Santiago, Vagner Madrini, Walther Yoshiharu Ishikawa, Fabio Fernandes, Vera Demarchi Aiello\",\"doi\":\"10.4322/acr.2023.449\",\"DOIUrl\":null,\"url\":null,\"abstract\":\"<p><p>Giant cell arteritis (GCA) is a type of chronic vasculitis that affects medium and large-caliber arteries, frequently related to aortic involvement and, consequently, to aneurysm formation. However, associated valvulitis with giant cells is uncommon. We describe the case of a 50-year-old female patient with aortic aneurysm and valvular insufficiency, whose anatomopathological examination revealed giant-cell aortic valvulitis associated with giant cell aortitis.</p>\",\"PeriodicalId\":53117,\"journal\":{\"name\":\"Autopsy and Case Reports\",\"volume\":\"13 \",\"pages\":\"e2023449\"},\"PeriodicalIF\":0.0000,\"publicationDate\":\"2023-10-23\",\"publicationTypes\":\"Journal Article\",\"fieldsOfStudy\":null,\"isOpenAccess\":false,\"openAccessPdf\":\"https://www.ncbi.nlm.nih.gov/pmc/articles/PMC10688263/pdf/\",\"citationCount\":\"0\",\"resultStr\":null,\"platform\":\"Semanticscholar\",\"paperid\":null,\"PeriodicalName\":\"Autopsy and Case Reports\",\"FirstCategoryId\":\"1085\",\"ListUrlMain\":\"https://doi.org/10.4322/acr.2023.449\",\"RegionNum\":0,\"RegionCategory\":null,\"ArticlePicture\":[],\"TitleCN\":null,\"AbstractTextCN\":null,\"PMCID\":null,\"EPubDate\":\"2023/1/1 0:00:00\",\"PubModel\":\"eCollection\",\"JCR\":\"Q4\",\"JCRName\":\"Medicine\",\"Score\":null,\"Total\":0}","platform":"Semanticscholar","paperid":null,"PeriodicalName":"Autopsy and Case Reports","FirstCategoryId":"1085","ListUrlMain":"https://doi.org/10.4322/acr.2023.449","RegionNum":0,"RegionCategory":null,"ArticlePicture":[],"TitleCN":null,"AbstractTextCN":null,"PMCID":null,"EPubDate":"2023/1/1 0:00:00","PubModel":"eCollection","JCR":"Q4","JCRName":"Medicine","Score":null,"Total":0}
引用次数: 0

摘要

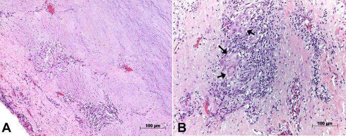
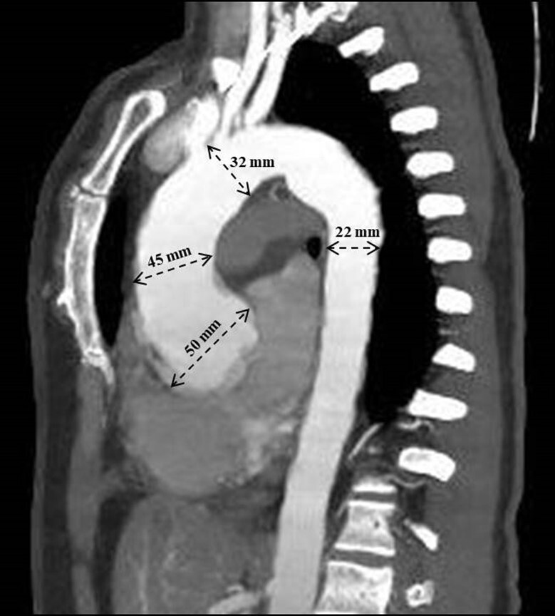
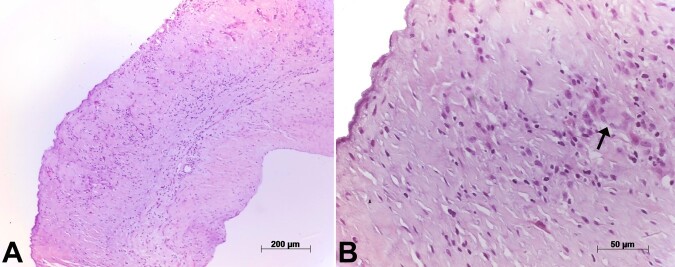
巨细胞动脉炎(GCA)是一种影响中、大口径动脉的慢性血管炎,通常与主动脉受累有关,从而导致动脉瘤形成。然而,伴有巨细胞性瓣膜炎并不常见。我们报告一例50岁的女性主动脉瘤和瓣膜功能不全的病例,其解剖病理检查显示巨细胞性主动脉瓣膜炎与巨细胞性大动脉炎相关。
本文章由计算机程序翻译,如有差异,请以英文原文为准。

Rare association between giant-cell aortitis and giant-cell aortic valvulitis.

Rare association between giant-cell aortitis and giant-cell aortic valvulitis.

Rare association between giant-cell aortitis and giant-cell aortic valvulitis.

Rare association between giant-cell aortitis and giant-cell aortic valvulitis.

Giant cell arteritis (GCA) is a type of chronic vasculitis that affects medium and large-caliber arteries, frequently related to aortic involvement and, consequently, to aneurysm formation. However, associated valvulitis with giant cells is uncommon. We describe the case of a 50-year-old female patient with aortic aneurysm and valvular insufficiency, whose anatomopathological examination revealed giant-cell aortic valvulitis associated with giant cell aortitis.

求助全文
通过发布文献求助,成功后即可免费获取论文全文。 去求助
来源期刊
Autopsy and Case Reports
Autopsy and Case Reports Medicine-Internal Medicine
CiteScore
1.20
自引率
0.00%
发文量
60
审稿时长
9 weeks
×
引用
GB/T 7714-2015
复制
MLA
复制
APA
复制
导出至
BibTeX EndNote RefMan NoteFirst NoteExpress
×
提示
您的信息不完整,为了账户安全,请先补充。
现在去补充
×
提示
您因"违规操作"
具体请查看互助需知
我知道了
×
提示
确定
请完成安全验证×
copy
已复制链接
快去分享给好友吧!
我知道了
右上角分享
点击右上角分享
0
联系我们:info@booksci.cn Book学术提供免费学术资源搜索服务,方便国内外学者检索中英文文献。致力于提供最便捷和优质的服务体验。 Copyright © 2023 布克学术 All rights reserved.
京ICP备2023020795号-1
ghs 京公网安备 11010802042870号
Book学术文献互助
Book学术文献互助群
群 号:604180095
Book学术官方微信