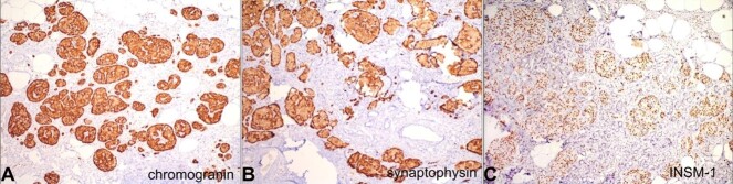
非胰岛素瘤性胰源性低血糖综合征(NIPHS)/Nesidioblastosis是糖尿病成人复发性低血糖的潜在原因。

Q4 Medicine
Autopsy and Case Reports Pub Date : 2023-10-27 eCollection Date: 2023-01-01 DOI:10.4322/acr.2023.451
Samikshya Thapa, Kirandeep Kaur, Gajendra Kumar Yadav, Divya Kumari, Ravi Hari Phulware
{"title":"非胰岛素瘤性胰源性低血糖综合征(NIPHS)/Nesidioblastosis是糖尿病成人复发性低血糖的潜在原因。","authors":"Samikshya Thapa, Kirandeep Kaur, Gajendra Kumar Yadav, Divya Kumari, Ravi Hari Phulware","doi":"10.4322/acr.2023.451","DOIUrl":null,"url":null,"abstract":"<p><p>Non-insulinoma pancreatogenous hypoglycemia syndrome (NIPHS), without previous bariatric surgery, is a rare form of hypoglycemia in adult patients and is associated with nesidioblastosis. Adult-onset nesidioblastosis in diabetic patients is rare and histologically identical to \"non-insulinoma pancreatogenous hypoglycemia syndrome (NIPHS)\". Nesidioblastosis is rare in adults and clinically and biochemically mimics Insulinoma. In the literature, there have only been four cases of adult nesidioblastosis that followed diabetes mellitus. We report a case of nesidioblastosis in a 36-year-old diabetic female presenting with dizziness, sweating, and palpitations for three years. Selective non-invasive techniques failed to detect a tumor. Based on the pursuit of an insulinoma, a distal pancreatectomy specimen was received at our laboratory, and a diagnosis of nesidioblastosis was made. She is currently on follow-up with a favorable outcome. The definitive diagnosis of nesidioblastosis is made on a histological basis. The preferred form of treatment is pancreatic surgical resection. Nesidioblastosis should be taken into consideration in cases where diabetes transforms into hyperinsulinemic hypoglycemia.</p>","PeriodicalId":53117,"journal":{"name":"Autopsy and Case Reports","volume":"13 ","pages":"e2023451"},"PeriodicalIF":0.0000,"publicationDate":"2023-10-27","publicationTypes":"Journal Article","fieldsOfStudy":null,"isOpenAccess":false,"openAccessPdf":"https://www.ncbi.nlm.nih.gov/pmc/articles/PMC10687782/pdf/","citationCount":"0","resultStr":"{\"title\":\"Non-insulinoma pancreatogenous hypoglycemia syndrome (NIPHS)/Nesidioblastosis as the underlying cause of recurrent hypoglycemia in a diabetic adult.\",\"authors\":\"Samikshya Thapa, Kirandeep Kaur, Gajendra Kumar Yadav, Divya Kumari, Ravi Hari Phulware\",\"doi\":\"10.4322/acr.2023.451\",\"DOIUrl\":null,\"url\":null,\"abstract\":\"<p><p>Non-insulinoma pancreatogenous hypoglycemia syndrome (NIPHS), without previous bariatric surgery, is a rare form of hypoglycemia in adult patients and is associated with nesidioblastosis. Adult-onset nesidioblastosis in diabetic patients is rare and histologically identical to \\\"non-insulinoma pancreatogenous hypoglycemia syndrome (NIPHS)\\\". Nesidioblastosis is rare in adults and clinically and biochemically mimics Insulinoma. In the literature, there have only been four cases of adult nesidioblastosis that followed diabetes mellitus. We report a case of nesidioblastosis in a 36-year-old diabetic female presenting with dizziness, sweating, and palpitations for three years. Selective non-invasive techniques failed to detect a tumor. Based on the pursuit of an insulinoma, a distal pancreatectomy specimen was received at our laboratory, and a diagnosis of nesidioblastosis was made. She is currently on follow-up with a favorable outcome. The definitive diagnosis of nesidioblastosis is made on a histological basis. The preferred form of treatment is pancreatic surgical resection. Nesidioblastosis should be taken into consideration in cases where diabetes transforms into hyperinsulinemic hypoglycemia.</p>\",\"PeriodicalId\":53117,\"journal\":{\"name\":\"Autopsy and Case Reports\",\"volume\":\"13 \",\"pages\":\"e2023451\"},\"PeriodicalIF\":0.0000,\"publicationDate\":\"2023-10-27\",\"publicationTypes\":\"Journal Article\",\"fieldsOfStudy\":null,\"isOpenAccess\":false,\"openAccessPdf\":\"https://www.ncbi.nlm.nih.gov/pmc/articles/PMC10687782/pdf/\",\"citationCount\":\"0\",\"resultStr\":null,\"platform\":\"Semanticscholar\",\"paperid\":null,\"PeriodicalName\":\"Autopsy and Case Reports\",\"FirstCategoryId\":\"1085\",\"ListUrlMain\":\"https://doi.org/10.4322/acr.2023.451\",\"RegionNum\":0,\"RegionCategory\":null,\"ArticlePicture\":[],\"TitleCN\":null,\"AbstractTextCN\":null,\"PMCID\":null,\"EPubDate\":\"2023/1/1 0:00:00\",\"PubModel\":\"eCollection\",\"JCR\":\"Q4\",\"JCRName\":\"Medicine\",\"Score\":null,\"Total\":0}","platform":"Semanticscholar","paperid":null,"PeriodicalName":"Autopsy and Case Reports","FirstCategoryId":"1085","ListUrlMain":"https://doi.org/10.4322/acr.2023.451","RegionNum":0,"RegionCategory":null,"ArticlePicture":[],"TitleCN":null,"AbstractTextCN":null,"PMCID":null,"EPubDate":"2023/1/1 0:00:00","PubModel":"eCollection","JCR":"Q4","JCRName":"Medicine","Score":null,"Total":0}
引用次数: 0

摘要

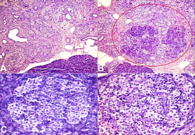
非胰岛素瘤性胰源性低血糖综合征(NIPHS)是成人患者中一种罕见的低血糖症,且与nesidioblastosis相关。糖尿病患者成人发病的成肾细胞病是罕见的,组织学上与“非胰岛素瘤性胰源性低血糖综合征(NIPHS)”相同。Nesidioblastosis在成人中很少见,临床上和生化上类似胰岛素瘤。在文献中,只有4例成人肾母细胞病继发于糖尿病。我们报告一位36岁的糖尿病女性患者,出现头晕、出汗、心悸三年。选择性非侵入性技术检测肿瘤失败。基于对胰岛素瘤的追求,我们的实验室接受了远端胰腺切除术标本,并做出了胰腺母细胞病的诊断。她目前正在接受随访,结果良好。肾母细胞病的明确诊断是在组织学基础上作出的。首选的治疗形式是胰腺手术切除。在糖尿病转化为高胰岛素性低血糖的情况下,应考虑到Nesidioblastosis。
本文章由计算机程序翻译,如有差异,请以英文原文为准。

Non-insulinoma pancreatogenous hypoglycemia syndrome (NIPHS)/Nesidioblastosis as the underlying cause of recurrent hypoglycemia in a diabetic adult.

Non-insulinoma pancreatogenous hypoglycemia syndrome (NIPHS)/Nesidioblastosis as the underlying cause of recurrent hypoglycemia in a diabetic adult.

Non-insulinoma pancreatogenous hypoglycemia syndrome (NIPHS)/Nesidioblastosis as the underlying cause of recurrent hypoglycemia in a diabetic adult.

Non-insulinoma pancreatogenous hypoglycemia syndrome (NIPHS)/Nesidioblastosis as the underlying cause of recurrent hypoglycemia in a diabetic adult.

Non-insulinoma pancreatogenous hypoglycemia syndrome (NIPHS), without previous bariatric surgery, is a rare form of hypoglycemia in adult patients and is associated with nesidioblastosis. Adult-onset nesidioblastosis in diabetic patients is rare and histologically identical to "non-insulinoma pancreatogenous hypoglycemia syndrome (NIPHS)". Nesidioblastosis is rare in adults and clinically and biochemically mimics Insulinoma. In the literature, there have only been four cases of adult nesidioblastosis that followed diabetes mellitus. We report a case of nesidioblastosis in a 36-year-old diabetic female presenting with dizziness, sweating, and palpitations for three years. Selective non-invasive techniques failed to detect a tumor. Based on the pursuit of an insulinoma, a distal pancreatectomy specimen was received at our laboratory, and a diagnosis of nesidioblastosis was made. She is currently on follow-up with a favorable outcome. The definitive diagnosis of nesidioblastosis is made on a histological basis. The preferred form of treatment is pancreatic surgical resection. Nesidioblastosis should be taken into consideration in cases where diabetes transforms into hyperinsulinemic hypoglycemia.

求助全文
通过发布文献求助,成功后即可免费获取论文全文。 去求助
来源期刊
Autopsy and Case Reports
Autopsy and Case Reports Medicine-Internal Medicine
CiteScore
1.20
自引率
0.00%
发文量
60
审稿时长
9 weeks
×
引用
GB/T 7714-2015
复制
MLA
复制
APA
复制
导出至
BibTeX EndNote RefMan NoteFirst NoteExpress
×
提示
您的信息不完整,为了账户安全,请先补充。
现在去补充
×
提示
您因"违规操作"
具体请查看互助需知
我知道了
×
提示
确定
请完成安全验证×
copy
已复制链接
快去分享给好友吧!
我知道了
右上角分享
点击右上角分享
0
联系我们:info@booksci.cn Book学术提供免费学术资源搜索服务,方便国内外学者检索中英文文献。致力于提供最便捷和优质的服务体验。 Copyright © 2023 布克学术 All rights reserved.
京ICP备2023020795号-1
ghs 京公网安备 11010802042870号
Book学术文献互助
Book学术文献互助群
群 号:604180095
Book学术官方微信