成人的牙龈囊肿。

Q4 Medicine
Autopsy and Case Reports Pub Date : 2023-11-13 eCollection Date: 2023-01-01 DOI:10.4322/acr.2023.454
Maria Emília Mota, Dandara Menezes de Araujo Oliveira, Yuri de Lima Medeiros, Maria Stella Moreira, Rodrigo Nascimento Lopes, Fábio Abreu Alves, Brendo Vinícius Rodrigues Louredo, Pablo Agustin Vargas, José Divaldo Prado
{"title":"成人的牙龈囊肿。","authors":"Maria Emília Mota, Dandara Menezes de Araujo Oliveira, Yuri de Lima Medeiros, Maria Stella Moreira, Rodrigo Nascimento Lopes, Fábio Abreu Alves, Brendo Vinícius Rodrigues Louredo, Pablo Agustin Vargas, José Divaldo Prado","doi":"10.4322/acr.2023.454","DOIUrl":null,"url":null,"abstract":"<p><p>The gingival cyst of the adult (GCA) is a rare odontogenic cyst, consisting of 0.3% of all odontogenic cysts. This case report, based on CARE guidelines for case reports, aims to present a case of a 52-year-old female patient with a symptomatic translucent nodule in the upper left anterior gingiva, measuring approximately 6mm. Excisional biopsy was performed, and the histological examination revealed multiple cystic cavities lined by the squamous epithelium of varying thickness with focal areas of nodular thickenings. The presence of clusters of cells with clear cytoplasm within epithelial thickenings was observed. PAS staining was negative in clear cells. The diagnosis of the GCA was established. Despite its rarity, GCA should be considered in the differential diagnosis of gingival lesions. Conservative surgical treatment proved to be effective, with no signs of recurrence.</p>","PeriodicalId":53117,"journal":{"name":"Autopsy and Case Reports","volume":"13 ","pages":"e2023454"},"PeriodicalIF":0.0000,"publicationDate":"2023-11-13","publicationTypes":"Journal Article","fieldsOfStudy":null,"isOpenAccess":false,"openAccessPdf":"https://www.ncbi.nlm.nih.gov/pmc/articles/PMC10688211/pdf/","citationCount":"0","resultStr":"{\"title\":\"Gingival cyst of the adult.\",\"authors\":\"Maria Emília Mota, Dandara Menezes de Araujo Oliveira, Yuri de Lima Medeiros, Maria Stella Moreira, Rodrigo Nascimento Lopes, Fábio Abreu Alves, Brendo Vinícius Rodrigues Louredo, Pablo Agustin Vargas, José Divaldo Prado\",\"doi\":\"10.4322/acr.2023.454\",\"DOIUrl\":null,\"url\":null,\"abstract\":\"<p><p>The gingival cyst of the adult (GCA) is a rare odontogenic cyst, consisting of 0.3% of all odontogenic cysts. This case report, based on CARE guidelines for case reports, aims to present a case of a 52-year-old female patient with a symptomatic translucent nodule in the upper left anterior gingiva, measuring approximately 6mm. Excisional biopsy was performed, and the histological examination revealed multiple cystic cavities lined by the squamous epithelium of varying thickness with focal areas of nodular thickenings. The presence of clusters of cells with clear cytoplasm within epithelial thickenings was observed. PAS staining was negative in clear cells. The diagnosis of the GCA was established. Despite its rarity, GCA should be considered in the differential diagnosis of gingival lesions. Conservative surgical treatment proved to be effective, with no signs of recurrence.</p>\",\"PeriodicalId\":53117,\"journal\":{\"name\":\"Autopsy and Case Reports\",\"volume\":\"13 \",\"pages\":\"e2023454\"},\"PeriodicalIF\":0.0000,\"publicationDate\":\"2023-11-13\",\"publicationTypes\":\"Journal Article\",\"fieldsOfStudy\":null,\"isOpenAccess\":false,\"openAccessPdf\":\"https://www.ncbi.nlm.nih.gov/pmc/articles/PMC10688211/pdf/\",\"citationCount\":\"0\",\"resultStr\":null,\"platform\":\"Semanticscholar\",\"paperid\":null,\"PeriodicalName\":\"Autopsy and Case Reports\",\"FirstCategoryId\":\"1085\",\"ListUrlMain\":\"https://doi.org/10.4322/acr.2023.454\",\"RegionNum\":0,\"RegionCategory\":null,\"ArticlePicture\":[],\"TitleCN\":null,\"AbstractTextCN\":null,\"PMCID\":null,\"EPubDate\":\"2023/1/1 0:00:00\",\"PubModel\":\"eCollection\",\"JCR\":\"Q4\",\"JCRName\":\"Medicine\",\"Score\":null,\"Total\":0}","platform":"Semanticscholar","paperid":null,"PeriodicalName":"Autopsy and Case Reports","FirstCategoryId":"1085","ListUrlMain":"https://doi.org/10.4322/acr.2023.454","RegionNum":0,"RegionCategory":null,"ArticlePicture":[],"TitleCN":null,"AbstractTextCN":null,"PMCID":null,"EPubDate":"2023/1/1 0:00:00","PubModel":"eCollection","JCR":"Q4","JCRName":"Medicine","Score":null,"Total":0}
引用次数: 0

摘要

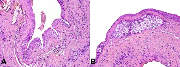
成人牙龈囊肿(GCA)是一种罕见的牙源性囊肿,占所有牙源性囊肿的0.3%。本病例报告基于CARE病例报告指南,旨在报告一例52岁女性患者,左侧前龈上部有一个症状性半透明结节,大小约6mm。行切除活检,组织学检查显示多个囊性腔,由不同厚度的鳞状上皮排列,病灶区域有结节增厚。在上皮增厚中观察到具有透明细胞质的细胞团。透明细胞PAS染色为阴性。建立了GCA的诊断。尽管罕见,但GCA在牙龈病变的鉴别诊断中应予以考虑。保守手术治疗有效,无复发迹象。
本文章由计算机程序翻译,如有差异,请以英文原文为准。

Gingival cyst of the adult.

Gingival cyst of the adult.

Gingival cyst of the adult.

The gingival cyst of the adult (GCA) is a rare odontogenic cyst, consisting of 0.3% of all odontogenic cysts. This case report, based on CARE guidelines for case reports, aims to present a case of a 52-year-old female patient with a symptomatic translucent nodule in the upper left anterior gingiva, measuring approximately 6mm. Excisional biopsy was performed, and the histological examination revealed multiple cystic cavities lined by the squamous epithelium of varying thickness with focal areas of nodular thickenings. The presence of clusters of cells with clear cytoplasm within epithelial thickenings was observed. PAS staining was negative in clear cells. The diagnosis of the GCA was established. Despite its rarity, GCA should be considered in the differential diagnosis of gingival lesions. Conservative surgical treatment proved to be effective, with no signs of recurrence.

求助全文
通过发布文献求助,成功后即可免费获取论文全文。 去求助
来源期刊
Autopsy and Case Reports
Autopsy and Case Reports Medicine-Internal Medicine
CiteScore
1.20
自引率
0.00%
发文量
60
审稿时长
9 weeks
×
引用
GB/T 7714-2015
复制
MLA
复制
APA
复制
导出至
BibTeX EndNote RefMan NoteFirst NoteExpress
×
提示
您的信息不完整,为了账户安全,请先补充。
现在去补充
×
提示
您因"违规操作"
具体请查看互助需知
我知道了
×
提示
确定
请完成安全验证×
copy
已复制链接
快去分享给好友吧!
我知道了
右上角分享
点击右上角分享
0
联系我们:info@booksci.cn Book学术提供免费学术资源搜索服务,方便国内外学者检索中英文文献。致力于提供最便捷和优质的服务体验。 Copyright © 2023 布克学术 All rights reserved.
京ICP备2023020795号-1
ghs 京公网安备 11010802042870号
Book学术文献互助
Book学术文献互助群
群 号:604180095
Book学术官方微信