酒精性泡沫变性:酒精性肝病尸检诊断的一种不寻常的表现。

Q4 Medicine
Autopsy and Case Reports Pub Date : 2023-10-11 eCollection Date: 2023-01-01 DOI:10.4322/acr.2023.446
Rashmi Joshi, Mayur Parkhi, Anjali Gupta, Terence Susngi, Ashwani Kumar, Deba Prasad Dhibar, Suvradeep Mitra
{"title":"酒精性泡沫变性:酒精性肝病尸检诊断的一种不寻常的表现。","authors":"Rashmi Joshi, Mayur Parkhi, Anjali Gupta, Terence Susngi, Ashwani Kumar, Deba Prasad Dhibar, Suvradeep Mitra","doi":"10.4322/acr.2023.446","DOIUrl":null,"url":null,"abstract":"<p><p>Alcoholic foamy degeneration (AFD) is an uncommon presentation of alcoholic liver disease (ALD) with characteristic histologic findings of foamy-looking hepatocytes due to the presence of abundant microvesicles of fat within the cytoplasm predominantly in perivenular and midzonal regions without inflammation and fibrosis. It is underdiagnosed as the patients quickly recover after alcoholic abstinence and are rarely caught on biopsies. AFD has better prognosis than alcoholic hepatitis, and the injury mechanism is different, warranting a different diagnosis. We present an uncommon case of AFD incidentally diagnosed during autopsy in a chronic alcoholic and diabetic man.</p>","PeriodicalId":53117,"journal":{"name":"Autopsy and Case Reports","volume":"13 ","pages":"e2023446"},"PeriodicalIF":0.0000,"publicationDate":"2023-10-11","publicationTypes":"Journal Article","fieldsOfStudy":null,"isOpenAccess":false,"openAccessPdf":"https://www.ncbi.nlm.nih.gov/pmc/articles/PMC10688259/pdf/","citationCount":"0","resultStr":"{\"title\":\"Alcoholic foamy degeneration: an unusual presentation of the alcoholic liver disease diagnosed on autopsy.\",\"authors\":\"Rashmi Joshi, Mayur Parkhi, Anjali Gupta, Terence Susngi, Ashwani Kumar, Deba Prasad Dhibar, Suvradeep Mitra\",\"doi\":\"10.4322/acr.2023.446\",\"DOIUrl\":null,\"url\":null,\"abstract\":\"<p><p>Alcoholic foamy degeneration (AFD) is an uncommon presentation of alcoholic liver disease (ALD) with characteristic histologic findings of foamy-looking hepatocytes due to the presence of abundant microvesicles of fat within the cytoplasm predominantly in perivenular and midzonal regions without inflammation and fibrosis. It is underdiagnosed as the patients quickly recover after alcoholic abstinence and are rarely caught on biopsies. AFD has better prognosis than alcoholic hepatitis, and the injury mechanism is different, warranting a different diagnosis. We present an uncommon case of AFD incidentally diagnosed during autopsy in a chronic alcoholic and diabetic man.</p>\",\"PeriodicalId\":53117,\"journal\":{\"name\":\"Autopsy and Case Reports\",\"volume\":\"13 \",\"pages\":\"e2023446\"},\"PeriodicalIF\":0.0000,\"publicationDate\":\"2023-10-11\",\"publicationTypes\":\"Journal Article\",\"fieldsOfStudy\":null,\"isOpenAccess\":false,\"openAccessPdf\":\"https://www.ncbi.nlm.nih.gov/pmc/articles/PMC10688259/pdf/\",\"citationCount\":\"0\",\"resultStr\":null,\"platform\":\"Semanticscholar\",\"paperid\":null,\"PeriodicalName\":\"Autopsy and Case Reports\",\"FirstCategoryId\":\"1085\",\"ListUrlMain\":\"https://doi.org/10.4322/acr.2023.446\",\"RegionNum\":0,\"RegionCategory\":null,\"ArticlePicture\":[],\"TitleCN\":null,\"AbstractTextCN\":null,\"PMCID\":null,\"EPubDate\":\"2023/1/1 0:00:00\",\"PubModel\":\"eCollection\",\"JCR\":\"Q4\",\"JCRName\":\"Medicine\",\"Score\":null,\"Total\":0}","platform":"Semanticscholar","paperid":null,"PeriodicalName":"Autopsy and Case Reports","FirstCategoryId":"1085","ListUrlMain":"https://doi.org/10.4322/acr.2023.446","RegionNum":0,"RegionCategory":null,"ArticlePicture":[],"TitleCN":null,"AbstractTextCN":null,"PMCID":null,"EPubDate":"2023/1/1 0:00:00","PubModel":"eCollection","JCR":"Q4","JCRName":"Medicine","Score":null,"Total":0}
引用次数: 0

摘要

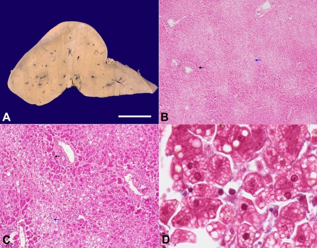
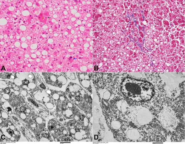
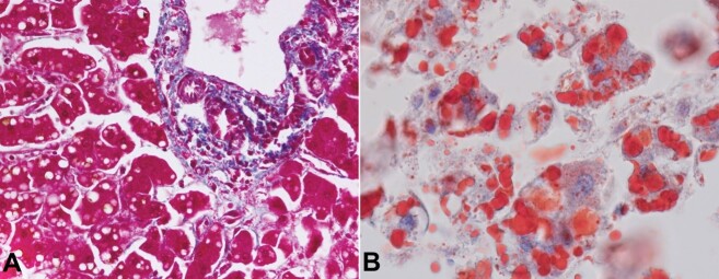
酒精性泡沫变性(AFD)是酒精性肝病(ALD)的一种罕见表现,其特征性组织学表现为泡沫状肝细胞,这是由于细胞质内存在大量脂肪微泡,主要分布在静脉周围和中区,无炎症和纤维化。由于患者戒酒后很快就会康复,因此很少在活检中被发现,因此诊断不足。AFD预后好于酒精性肝炎,但其损伤机制不同,需要不同的诊断。我们提出一个罕见的病例AFD偶然诊断在尸检慢性酒精和糖尿病的人。
本文章由计算机程序翻译,如有差异,请以英文原文为准。

Alcoholic foamy degeneration: an unusual presentation of the alcoholic liver disease diagnosed on autopsy.

Alcoholic foamy degeneration: an unusual presentation of the alcoholic liver disease diagnosed on autopsy.

Alcoholic foamy degeneration: an unusual presentation of the alcoholic liver disease diagnosed on autopsy.

Alcoholic foamy degeneration: an unusual presentation of the alcoholic liver disease diagnosed on autopsy.

Alcoholic foamy degeneration (AFD) is an uncommon presentation of alcoholic liver disease (ALD) with characteristic histologic findings of foamy-looking hepatocytes due to the presence of abundant microvesicles of fat within the cytoplasm predominantly in perivenular and midzonal regions without inflammation and fibrosis. It is underdiagnosed as the patients quickly recover after alcoholic abstinence and are rarely caught on biopsies. AFD has better prognosis than alcoholic hepatitis, and the injury mechanism is different, warranting a different diagnosis. We present an uncommon case of AFD incidentally diagnosed during autopsy in a chronic alcoholic and diabetic man.

求助全文
通过发布文献求助,成功后即可免费获取论文全文。 去求助
来源期刊
Autopsy and Case Reports
Autopsy and Case Reports Medicine-Internal Medicine
CiteScore
1.20
自引率
0.00%
发文量
60
审稿时长
9 weeks
×
引用
GB/T 7714-2015
复制
MLA
复制
APA
复制
导出至
BibTeX EndNote RefMan NoteFirst NoteExpress
×
提示
您的信息不完整,为了账户安全,请先补充。
现在去补充
×
提示
您因"违规操作"
具体请查看互助需知
我知道了
×
提示
确定
请完成安全验证×
copy
已复制链接
快去分享给好友吧!
我知道了
右上角分享
点击右上角分享
0
联系我们:info@booksci.cn Book学术提供免费学术资源搜索服务,方便国内外学者检索中英文文献。致力于提供最便捷和优质的服务体验。 Copyright © 2023 布克学术 All rights reserved.
京ICP备2023020795号-1
ghs 京公网安备 11010802042870号
Book学术文献互助
Book学术文献互助群
群 号:604180095
Book学术官方微信