艰难梭菌感染导致暴发性结肠炎伴中毒性巨结肠。

Q4 Medicine
Autopsy and Case Reports Pub Date : 2023-11-16 eCollection Date: 2023-01-01 DOI:10.4322/acr.2023.457
Fareed Rajack, Shawn Medford, Tammey Naab
{"title":"艰难梭菌感染导致暴发性结肠炎伴中毒性巨结肠。","authors":"Fareed Rajack, Shawn Medford, Tammey Naab","doi":"10.4322/acr.2023.457","DOIUrl":null,"url":null,"abstract":"<p><p><i>Clostridioidesdifficile</i> infection (CDI) is the culprit of millions of nosocomial infections in the United States. Programs that successfully decrease its incidence, therefore, render cost savings for the healthcare system. Toxic megacolon and perforation are two of the most significant complications with increased mortality rates. We report a 23-year-old nursing home resident hospitalized for fever, cough, and green sputum. After 3 days of antibiotic therapy, he developed abdominal distension, diarrhea, and vomiting and underwent a total colectomy. The colon was dilated to a maximum of 11 cm with markedly edematous mucosa and yellow pseudomembranes. Qualitative PCR of the stool detected <i>Clostridioides difficile</i> toxin B gene. While there is no consensus for the required interval between antibiotic treatment and CDI, this presentation 3 days after starting the antibiotic therapy is earlier than most proposed ranges.</p>","PeriodicalId":53117,"journal":{"name":"Autopsy and Case Reports","volume":"13 ","pages":"e2023457"},"PeriodicalIF":0.0000,"publicationDate":"2023-11-16","publicationTypes":"Journal Article","fieldsOfStudy":null,"isOpenAccess":false,"openAccessPdf":"https://www.ncbi.nlm.nih.gov/pmc/articles/PMC10687841/pdf/","citationCount":"0","resultStr":"{\"title\":\"<i>Clostridioides difficile</i> infection leading to fulminant colitis with toxic megacolon.\",\"authors\":\"Fareed Rajack, Shawn Medford, Tammey Naab\",\"doi\":\"10.4322/acr.2023.457\",\"DOIUrl\":null,\"url\":null,\"abstract\":\"<p><p><i>Clostridioidesdifficile</i> infection (CDI) is the culprit of millions of nosocomial infections in the United States. Programs that successfully decrease its incidence, therefore, render cost savings for the healthcare system. Toxic megacolon and perforation are two of the most significant complications with increased mortality rates. We report a 23-year-old nursing home resident hospitalized for fever, cough, and green sputum. After 3 days of antibiotic therapy, he developed abdominal distension, diarrhea, and vomiting and underwent a total colectomy. The colon was dilated to a maximum of 11 cm with markedly edematous mucosa and yellow pseudomembranes. Qualitative PCR of the stool detected <i>Clostridioides difficile</i> toxin B gene. While there is no consensus for the required interval between antibiotic treatment and CDI, this presentation 3 days after starting the antibiotic therapy is earlier than most proposed ranges.</p>\",\"PeriodicalId\":53117,\"journal\":{\"name\":\"Autopsy and Case Reports\",\"volume\":\"13 \",\"pages\":\"e2023457\"},\"PeriodicalIF\":0.0000,\"publicationDate\":\"2023-11-16\",\"publicationTypes\":\"Journal Article\",\"fieldsOfStudy\":null,\"isOpenAccess\":false,\"openAccessPdf\":\"https://www.ncbi.nlm.nih.gov/pmc/articles/PMC10687841/pdf/\",\"citationCount\":\"0\",\"resultStr\":null,\"platform\":\"Semanticscholar\",\"paperid\":null,\"PeriodicalName\":\"Autopsy and Case Reports\",\"FirstCategoryId\":\"1085\",\"ListUrlMain\":\"https://doi.org/10.4322/acr.2023.457\",\"RegionNum\":0,\"RegionCategory\":null,\"ArticlePicture\":[],\"TitleCN\":null,\"AbstractTextCN\":null,\"PMCID\":null,\"EPubDate\":\"2023/1/1 0:00:00\",\"PubModel\":\"eCollection\",\"JCR\":\"Q4\",\"JCRName\":\"Medicine\",\"Score\":null,\"Total\":0}","platform":"Semanticscholar","paperid":null,"PeriodicalName":"Autopsy and Case Reports","FirstCategoryId":"1085","ListUrlMain":"https://doi.org/10.4322/acr.2023.457","RegionNum":0,"RegionCategory":null,"ArticlePicture":[],"TitleCN":null,"AbstractTextCN":null,"PMCID":null,"EPubDate":"2023/1/1 0:00:00","PubModel":"eCollection","JCR":"Q4","JCRName":"Medicine","Score":null,"Total":0}
引用次数: 0

摘要

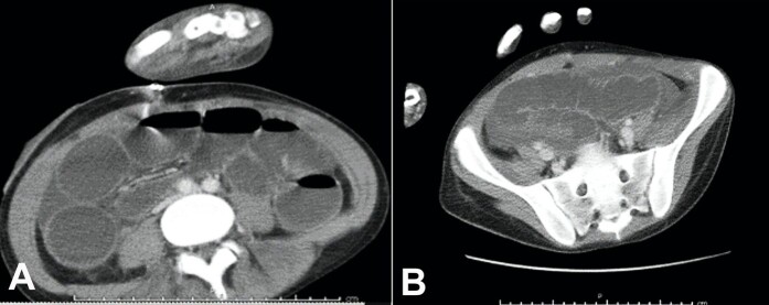
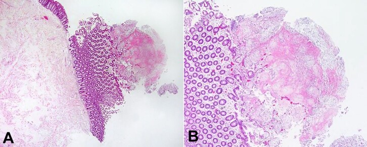
艰难梭菌感染(CDI)是美国数百万医院感染的罪魁祸首。因此,成功降低其发病率的项目为医疗保健系统节省了成本。毒性巨结肠和穿孔是死亡率增加的两个最重要的并发症。我们报告一名23岁的养老院居民因发烧,咳嗽和绿色痰而住院。抗生素治疗3天后,患者出现腹胀、腹泻和呕吐,并行全结肠切除术。结肠扩张至最大11cm,黏膜明显水肿,假膜呈黄色。粪便定量PCR检测艰难梭菌毒素B基因。虽然对于抗生素治疗和CDI之间的所需间隔时间没有共识,但在开始抗生素治疗后3天出现的时间比大多数建议的范围要早。
本文章由计算机程序翻译,如有差异,请以英文原文为准。

<i>Clostridioides difficile</i> infection leading to fulminant colitis with toxic megacolon.

<i>Clostridioides difficile</i> infection leading to fulminant colitis with toxic megacolon.

<i>Clostridioides difficile</i> infection leading to fulminant colitis with toxic megacolon.

Clostridioides difficile infection leading to fulminant colitis with toxic megacolon.

Clostridioidesdifficile infection (CDI) is the culprit of millions of nosocomial infections in the United States. Programs that successfully decrease its incidence, therefore, render cost savings for the healthcare system. Toxic megacolon and perforation are two of the most significant complications with increased mortality rates. We report a 23-year-old nursing home resident hospitalized for fever, cough, and green sputum. After 3 days of antibiotic therapy, he developed abdominal distension, diarrhea, and vomiting and underwent a total colectomy. The colon was dilated to a maximum of 11 cm with markedly edematous mucosa and yellow pseudomembranes. Qualitative PCR of the stool detected Clostridioides difficile toxin B gene. While there is no consensus for the required interval between antibiotic treatment and CDI, this presentation 3 days after starting the antibiotic therapy is earlier than most proposed ranges.

求助全文
通过发布文献求助,成功后即可免费获取论文全文。 去求助
来源期刊
Autopsy and Case Reports
Autopsy and Case Reports Medicine-Internal Medicine
CiteScore
1.20
自引率
0.00%
发文量
60
审稿时长
9 weeks
×
引用
GB/T 7714-2015
复制
MLA
复制
APA
复制
导出至
BibTeX EndNote RefMan NoteFirst NoteExpress
×
提示
您的信息不完整,为了账户安全,请先补充。
现在去补充
×
提示
您因"违规操作"
具体请查看互助需知
我知道了
×
提示
确定
请完成安全验证×
copy
已复制链接
快去分享给好友吧!
我知道了
右上角分享
点击右上角分享
0
联系我们:info@booksci.cn Book学术提供免费学术资源搜索服务,方便国内外学者检索中英文文献。致力于提供最便捷和优质的服务体验。 Copyright © 2023 布克学术 All rights reserved.
京ICP备2023020795号-1
ghs 京公网安备 11010802042870号
Book学术文献互助
Book学术文献互助群
群 号:604180095
Book学术官方微信