胃动脉化疗栓塞联合替利单抗新辅助治疗局部晚期胃癌病理完全缓解1例

IF 2.9 4区 医学 Q3 IMMUNOLOGY
Journal of Immunotherapy Pub Date : 2024-04-01 Epub Date: 2023-11-23 DOI:10.1097/CJI.0000000000000488
Yufu Lin, Yabo Chen, Shenggan Lin, Jingmei Zheng, Xiuping Zhang, Lu Gan
{"title":"胃动脉化疗栓塞联合替利单抗新辅助治疗局部晚期胃癌病理完全缓解1例","authors":"Yufu Lin, Yabo Chen, Shenggan Lin, Jingmei Zheng, Xiuping Zhang, Lu Gan","doi":"10.1097/CJI.0000000000000488","DOIUrl":null,"url":null,"abstract":"<p><p>Gastric cancer is the most common type of gastrointestinal cancer in China which about 80% of patients are locally advanced or advanced when diagnosed. Surgery along brings high recurrence rate for locally advanced gastric cancer (LAGC), and neoadjuvant therapies are needed. The use of programmed cell death-1 (PD-1)/programmed death-ligand 1 inhibitor nowadays improved the disease-free survival for LAGC, however, only <35% of patients achieved pathologic complete response (pCR) after neoadjuvant therapy nowadays. Therefore, new regimens are needed to be investigated. Gastric artery chemoembolization is applied to metastasis gastric cancer and researches showed interventional therapy can enhance the antitumor effect of PD-1 inhibitor. Here, for the first time, we combined gastric artery chemoembolization with tislelizumab (a PD-1 inhibitor) for neoadjuvant therapy of a patient with LAGC. The patient achieved pCR after a D2 resection and tumor regression grade score was 1. After surgery, the patient received tislelizumab 200 mg per 3 weeks, and showed no sign of recurrence after 6 months of follow-up. The study indicated the use of tislelizumab and gastric artery chemoembolization for neoadjuvant therapy may bring a better pCR rate and prognosis of LAGC.</p>","PeriodicalId":15996,"journal":{"name":"Journal of Immunotherapy","volume":" ","pages":"101-105"},"PeriodicalIF":2.9000,"publicationDate":"2024-04-01","publicationTypes":"Journal Article","fieldsOfStudy":null,"isOpenAccess":false,"openAccessPdf":"https://www.ncbi.nlm.nih.gov/pmc/articles/PMC10913855/pdf/","citationCount":"0","resultStr":"{\"title\":\"Pathologic Complete Response After Gastric Artery Chemoembolization Combined With Tislelizumab for Neoadjuvant Therapy of Locally Advanced Gastric Cancer: A Case Report.\",\"authors\":\"Yufu Lin, Yabo Chen, Shenggan Lin, Jingmei Zheng, Xiuping Zhang, Lu Gan\",\"doi\":\"10.1097/CJI.0000000000000488\",\"DOIUrl\":null,\"url\":null,\"abstract\":\"<p><p>Gastric cancer is the most common type of gastrointestinal cancer in China which about 80% of patients are locally advanced or advanced when diagnosed. Surgery along brings high recurrence rate for locally advanced gastric cancer (LAGC), and neoadjuvant therapies are needed. The use of programmed cell death-1 (PD-1)/programmed death-ligand 1 inhibitor nowadays improved the disease-free survival for LAGC, however, only <35% of patients achieved pathologic complete response (pCR) after neoadjuvant therapy nowadays. Therefore, new regimens are needed to be investigated. Gastric artery chemoembolization is applied to metastasis gastric cancer and researches showed interventional therapy can enhance the antitumor effect of PD-1 inhibitor. Here, for the first time, we combined gastric artery chemoembolization with tislelizumab (a PD-1 inhibitor) for neoadjuvant therapy of a patient with LAGC. The patient achieved pCR after a D2 resection and tumor regression grade score was 1. After surgery, the patient received tislelizumab 200 mg per 3 weeks, and showed no sign of recurrence after 6 months of follow-up. The study indicated the use of tislelizumab and gastric artery chemoembolization for neoadjuvant therapy may bring a better pCR rate and prognosis of LAGC.</p>\",\"PeriodicalId\":15996,\"journal\":{\"name\":\"Journal of Immunotherapy\",\"volume\":\" \",\"pages\":\"101-105\"},\"PeriodicalIF\":2.9000,\"publicationDate\":\"2024-04-01\",\"publicationTypes\":\"Journal Article\",\"fieldsOfStudy\":null,\"isOpenAccess\":false,\"openAccessPdf\":\"https://www.ncbi.nlm.nih.gov/pmc/articles/PMC10913855/pdf/\",\"citationCount\":\"0\",\"resultStr\":null,\"platform\":\"Semanticscholar\",\"paperid\":null,\"PeriodicalName\":\"Journal of Immunotherapy\",\"FirstCategoryId\":\"3\",\"ListUrlMain\":\"https://doi.org/10.1097/CJI.0000000000000488\",\"RegionNum\":4,\"RegionCategory\":\"医学\",\"ArticlePicture\":[],\"TitleCN\":null,\"AbstractTextCN\":null,\"PMCID\":null,\"EPubDate\":\"2023/11/23 0:00:00\",\"PubModel\":\"Epub\",\"JCR\":\"Q3\",\"JCRName\":\"IMMUNOLOGY\",\"Score\":null,\"Total\":0}","platform":"Semanticscholar","paperid":null,"PeriodicalName":"Journal of Immunotherapy","FirstCategoryId":"3","ListUrlMain":"https://doi.org/10.1097/CJI.0000000000000488","RegionNum":4,"RegionCategory":"医学","ArticlePicture":[],"TitleCN":null,"AbstractTextCN":null,"PMCID":null,"EPubDate":"2023/11/23 0:00:00","PubModel":"Epub","JCR":"Q3","JCRName":"IMMUNOLOGY","Score":null,"Total":0}
引用次数: 0

摘要

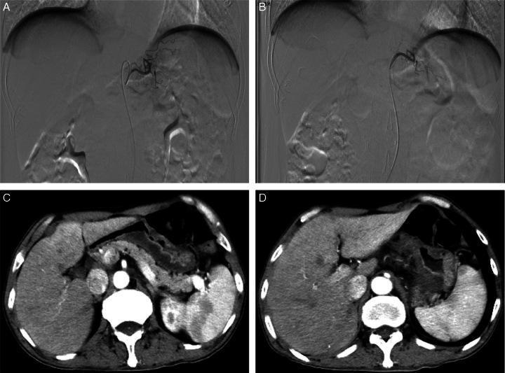
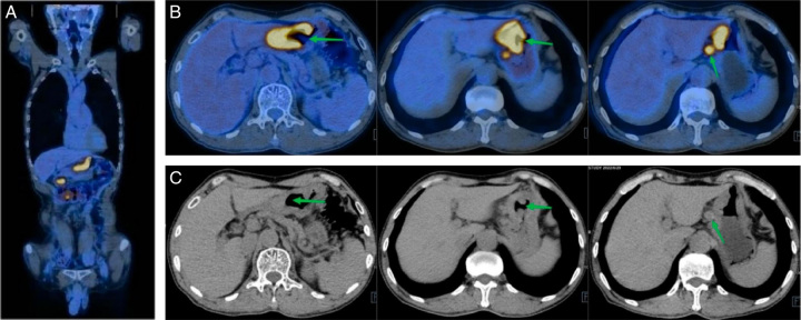
胃癌是中国最常见的胃肠道肿瘤类型,约80%的患者在确诊时为局部晚期或晚期。局部进展期胃癌(LAGC)术后复发率高,需要新辅助治疗。目前使用程序性细胞死亡-1 (PD-1)/程序性死亡配体-1抑制剂可改善LAGC的无病生存
本文章由计算机程序翻译,如有差异,请以英文原文为准。

Pathologic Complete Response After Gastric Artery Chemoembolization Combined With Tislelizumab for Neoadjuvant Therapy of Locally Advanced Gastric Cancer: A Case Report.

Pathologic Complete Response After Gastric Artery Chemoembolization Combined With Tislelizumab for Neoadjuvant Therapy of Locally Advanced Gastric Cancer: A Case Report.

Pathologic Complete Response After Gastric Artery Chemoembolization Combined With Tislelizumab for Neoadjuvant Therapy of Locally Advanced Gastric Cancer: A Case Report.

Pathologic Complete Response After Gastric Artery Chemoembolization Combined With Tislelizumab for Neoadjuvant Therapy of Locally Advanced Gastric Cancer: A Case Report.

Gastric cancer is the most common type of gastrointestinal cancer in China which about 80% of patients are locally advanced or advanced when diagnosed. Surgery along brings high recurrence rate for locally advanced gastric cancer (LAGC), and neoadjuvant therapies are needed. The use of programmed cell death-1 (PD-1)/programmed death-ligand 1 inhibitor nowadays improved the disease-free survival for LAGC, however, only <35% of patients achieved pathologic complete response (pCR) after neoadjuvant therapy nowadays. Therefore, new regimens are needed to be investigated. Gastric artery chemoembolization is applied to metastasis gastric cancer and researches showed interventional therapy can enhance the antitumor effect of PD-1 inhibitor. Here, for the first time, we combined gastric artery chemoembolization with tislelizumab (a PD-1 inhibitor) for neoadjuvant therapy of a patient with LAGC. The patient achieved pCR after a D2 resection and tumor regression grade score was 1. After surgery, the patient received tislelizumab 200 mg per 3 weeks, and showed no sign of recurrence after 6 months of follow-up. The study indicated the use of tislelizumab and gastric artery chemoembolization for neoadjuvant therapy may bring a better pCR rate and prognosis of LAGC.

求助全文
通过发布文献求助,成功后即可免费获取论文全文。 去求助
来源期刊
Journal of Immunotherapy
Journal of Immunotherapy 医学-免疫学
CiteScore
6.90
自引率
0.00%
发文量
79
审稿时长
6-12 weeks
期刊介绍: Journal of Immunotherapy features rapid publication of articles on immunomodulators, lymphokines, antibodies, cells, and cell products in cancer biology and therapy. Laboratory and preclinical studies, as well as investigative clinical reports, are presented. The journal emphasizes basic mechanisms and methods for the rapid transfer of technology from the laboratory to the clinic. JIT contains full-length articles, review articles, and short communications.
×
引用
GB/T 7714-2015
复制
MLA
复制
APA
复制
导出至
BibTeX EndNote RefMan NoteFirst NoteExpress
×
提示
您的信息不完整,为了账户安全,请先补充。
现在去补充
×
提示
您因"违规操作"
具体请查看互助需知
我知道了
×
提示
确定
请完成安全验证×
copy
已复制链接
快去分享给好友吧!
我知道了
右上角分享
点击右上角分享
0
联系我们:info@booksci.cn Book学术提供免费学术资源搜索服务,方便国内外学者检索中英文文献。致力于提供最便捷和优质的服务体验。 Copyright © 2023 布克学术 All rights reserved.
京ICP备2023020795号-1
ghs 京公网安备 11010802042870号
Book学术文献互助
Book学术文献互助群
群 号:604180095
Book学术官方微信