妊娠COVID-19患者肝活检显示明显转氨炎1例

IF 0.6 Q4 PEDIATRICS
AJP Reports Pub Date : 2023-11-28 eCollection Date: 2023-07-01 DOI:10.1055/s-0043-1777099
Dana Senderoff Berger, Anna Galyean, Kelvin Nguyen, Najeeb Alshak, Elizabeth Blumenthal
{"title":"妊娠COVID-19患者肝活检显示明显转氨炎1例","authors":"Dana Senderoff Berger, Anna Galyean, Kelvin Nguyen, Najeeb Alshak, Elizabeth Blumenthal","doi":"10.1055/s-0043-1777099","DOIUrl":null,"url":null,"abstract":"<p><p>Coronavirus disease 2019 (COVID-19), caused by severe acute respiratory syndrome coronavirus 2, has led to a global health crisis. The virus can cause varying severity of liver injury, but the mechanism has not yet been elucidated, especially in pregnancy. We present a morbidly obese 30-year-old woman with COVID-19 at 28 weeks' gestation complicated by significant transaminitis with peak liver enzymes levels of 501/1,313 (aspartate aminotransferase/alanine aminotransferase). Liver biopsy showed reactive changes consistent with medication effect and mild steatosis. Significant transaminitis has been found in both pregnant and nonpregnant patients with COVID-19. Our case demonstrates the multifactorial nature of liver injury in COVID-19 patients including mild underlying liver steatosis combined with possible viral potentiation of medication effect.</p>","PeriodicalId":7645,"journal":{"name":"AJP Reports","volume":"13 4","pages":"e78-e81"},"PeriodicalIF":0.6000,"publicationDate":"2023-11-28","publicationTypes":"Journal Article","fieldsOfStudy":null,"isOpenAccess":false,"openAccessPdf":"https://www.ncbi.nlm.nih.gov/pmc/articles/PMC10684339/pdf/","citationCount":"0","resultStr":"{\"title\":\"A Case of Significant Transaminitis with Liver Biopsy in a Pregnant Patient with COVID-19.\",\"authors\":\"Dana Senderoff Berger, Anna Galyean, Kelvin Nguyen, Najeeb Alshak, Elizabeth Blumenthal\",\"doi\":\"10.1055/s-0043-1777099\",\"DOIUrl\":null,\"url\":null,\"abstract\":\"<p><p>Coronavirus disease 2019 (COVID-19), caused by severe acute respiratory syndrome coronavirus 2, has led to a global health crisis. The virus can cause varying severity of liver injury, but the mechanism has not yet been elucidated, especially in pregnancy. We present a morbidly obese 30-year-old woman with COVID-19 at 28 weeks' gestation complicated by significant transaminitis with peak liver enzymes levels of 501/1,313 (aspartate aminotransferase/alanine aminotransferase). Liver biopsy showed reactive changes consistent with medication effect and mild steatosis. Significant transaminitis has been found in both pregnant and nonpregnant patients with COVID-19. Our case demonstrates the multifactorial nature of liver injury in COVID-19 patients including mild underlying liver steatosis combined with possible viral potentiation of medication effect.</p>\",\"PeriodicalId\":7645,\"journal\":{\"name\":\"AJP Reports\",\"volume\":\"13 4\",\"pages\":\"e78-e81\"},\"PeriodicalIF\":0.6000,\"publicationDate\":\"2023-11-28\",\"publicationTypes\":\"Journal Article\",\"fieldsOfStudy\":null,\"isOpenAccess\":false,\"openAccessPdf\":\"https://www.ncbi.nlm.nih.gov/pmc/articles/PMC10684339/pdf/\",\"citationCount\":\"0\",\"resultStr\":null,\"platform\":\"Semanticscholar\",\"paperid\":null,\"PeriodicalName\":\"AJP Reports\",\"FirstCategoryId\":\"1085\",\"ListUrlMain\":\"https://doi.org/10.1055/s-0043-1777099\",\"RegionNum\":0,\"RegionCategory\":null,\"ArticlePicture\":[],\"TitleCN\":null,\"AbstractTextCN\":null,\"PMCID\":null,\"EPubDate\":\"2023/7/1 0:00:00\",\"PubModel\":\"eCollection\",\"JCR\":\"Q4\",\"JCRName\":\"PEDIATRICS\",\"Score\":null,\"Total\":0}","platform":"Semanticscholar","paperid":null,"PeriodicalName":"AJP Reports","FirstCategoryId":"1085","ListUrlMain":"https://doi.org/10.1055/s-0043-1777099","RegionNum":0,"RegionCategory":null,"ArticlePicture":[],"TitleCN":null,"AbstractTextCN":null,"PMCID":null,"EPubDate":"2023/7/1 0:00:00","PubModel":"eCollection","JCR":"Q4","JCRName":"PEDIATRICS","Score":null,"Total":0}
引用次数: 0

摘要

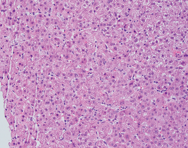
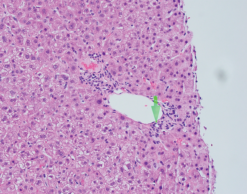
由严重急性呼吸系统综合征冠状病毒2引起的2019冠状病毒病(COVID-19)已引发全球健康危机。该病毒可引起不同程度的肝损伤,但其机制尚未阐明,特别是在妊娠期。我们报告了一名患有COVID-19的30岁病态肥胖女性,妊娠28周合并明显的转氨炎,肝酶水平峰值为501/ 1313(天冬氨酸转氨酶/丙氨酸转氨酶)。肝活检显示反应性改变,符合药物作用和轻度脂肪变性。在怀孕和非怀孕的COVID-19患者中都发现了明显的转氨炎。我们的病例显示了COVID-19患者肝损伤的多因素性质,包括轻度潜在肝脂肪变性,并可能伴有病毒增强药物作用。
本文章由计算机程序翻译,如有差异,请以英文原文为准。

A Case of Significant Transaminitis with Liver Biopsy in a Pregnant Patient with COVID-19.

A Case of Significant Transaminitis with Liver Biopsy in a Pregnant Patient with COVID-19.

A Case of Significant Transaminitis with Liver Biopsy in a Pregnant Patient with COVID-19.

Coronavirus disease 2019 (COVID-19), caused by severe acute respiratory syndrome coronavirus 2, has led to a global health crisis. The virus can cause varying severity of liver injury, but the mechanism has not yet been elucidated, especially in pregnancy. We present a morbidly obese 30-year-old woman with COVID-19 at 28 weeks' gestation complicated by significant transaminitis with peak liver enzymes levels of 501/1,313 (aspartate aminotransferase/alanine aminotransferase). Liver biopsy showed reactive changes consistent with medication effect and mild steatosis. Significant transaminitis has been found in both pregnant and nonpregnant patients with COVID-19. Our case demonstrates the multifactorial nature of liver injury in COVID-19 patients including mild underlying liver steatosis combined with possible viral potentiation of medication effect.

求助全文
通过发布文献求助,成功后即可免费获取论文全文。 去求助
来源期刊
AJP Reports
AJP Reports PEDIATRICS-
CiteScore
2.20
自引率
0.00%
发文量
30
审稿时长
12 weeks
×
引用
GB/T 7714-2015
复制
MLA
复制
APA
复制
导出至
BibTeX EndNote RefMan NoteFirst NoteExpress
×
提示
您的信息不完整,为了账户安全,请先补充。
现在去补充
×
提示
您因"违规操作"
具体请查看互助需知
我知道了
×
提示
确定
请完成安全验证×
copy
已复制链接
快去分享给好友吧!
我知道了
右上角分享
点击右上角分享
0
联系我们:info@booksci.cn Book学术提供免费学术资源搜索服务,方便国内外学者检索中英文文献。致力于提供最便捷和优质的服务体验。 Copyright © 2023 布克学术 All rights reserved.
京ICP备2023020795号-1
ghs 京公网安备 11010802042870号
Book学术文献互助
Book学术文献互助群
群 号:604180095
Book学术官方微信