用锁定核酸修饰的反义寡核苷酸在杜氏肌营养不良小鼠模型中评估人DMD转录物外显子53跳变的挑战

IF 4.7 2区 医学 Q2 BIOCHEMISTRY & MOLECULAR BIOLOGY
Sarah Engelbeen, Daniel O'Reilly, Davy Van De Vijver, Ingrid Verhaart, Maaike van Putten, Vignesh Hariharan, Matthew Hassler, Anastasia Khvorova, Masad J Damha, Annemieke Aartsma-Rus
{"title":"用锁定核酸修饰的反义寡核苷酸在杜氏肌营养不良小鼠模型中评估人DMD转录物外显子53跳变的挑战","authors":"Sarah Engelbeen, Daniel O'Reilly, Davy Van De Vijver, Ingrid Verhaart, Maaike van Putten, Vignesh Hariharan, Matthew Hassler, Anastasia Khvorova, Masad J Damha, Annemieke Aartsma-Rus","doi":"10.1089/nat.2023.0038","DOIUrl":null,"url":null,"abstract":"<p><p>Antisense oligonucleotide (AON)-mediated exon skipping is a promising therapeutic approach for Duchenne muscular dystrophy (DMD) patients to restore dystrophin expression by reframing the disrupted open reading frame of the <i>DMD</i> transcript. However, the treatment efficacy of the already conditionally approved AONs remains low. Aiming to optimize AON efficiency, we assessed exon 53 skipping of the <i>DMD</i> transcript with different chemically modified AONs, all with a phosphorothioate backbone: 2'-O-methyl (2'OMe), locked nucleic acid (LNA)-2'OMe, 2'-fluoro (FRNA), LNA-FRNA, αLNA-FRNA, and FANA-LNA-FRNA. Efficient exon 53 skipping was observed with the FRNA, LNA-FRNA, and LNA-2'OMe AONs in human control myoblast cultures. Weekly subcutaneous injections (50 mg/kg AON) for a duration of 6 weeks were well tolerated by hDMDdel52/<i>mdx</i> males. Treatment with the LNA-FRNA and LNA-2'OMe AONs resulted in pronounced exon 53 skip levels in skeletal muscles and heart up to 90%, but no dystrophin restoration was observed. This discrepancy was mainly ascribed to the strong binding nature of LNA modifications to RNA, thereby interfering with the amplification of the unskipped product resulting in artificial overamplification of the exon 53 skip product. Our study highlights that treatment effect on RNA and protein level should both be considered when assessing AON efficiency.</p>","PeriodicalId":19412,"journal":{"name":"Nucleic acid therapeutics","volume":"33 6","pages":"348-360"},"PeriodicalIF":4.7000,"publicationDate":"2023-12-01","publicationTypes":"Journal Article","fieldsOfStudy":null,"isOpenAccess":false,"openAccessPdf":"https://www.ncbi.nlm.nih.gov/pmc/articles/PMC10698779/pdf/","citationCount":"0","resultStr":"{\"title\":\"Challenges of Assessing Exon 53 Skipping of the Human <i>DMD</i> Transcript with Locked Nucleic Acid-Modified Antisense Oligonucleotides in a Mouse Model for Duchenne Muscular Dystrophy.\",\"authors\":\"Sarah Engelbeen, Daniel O'Reilly, Davy Van De Vijver, Ingrid Verhaart, Maaike van Putten, Vignesh Hariharan, Matthew Hassler, Anastasia Khvorova, Masad J Damha, Annemieke Aartsma-Rus\",\"doi\":\"10.1089/nat.2023.0038\",\"DOIUrl\":null,\"url\":null,\"abstract\":\"<p><p>Antisense oligonucleotide (AON)-mediated exon skipping is a promising therapeutic approach for Duchenne muscular dystrophy (DMD) patients to restore dystrophin expression by reframing the disrupted open reading frame of the <i>DMD</i> transcript. However, the treatment efficacy of the already conditionally approved AONs remains low. Aiming to optimize AON efficiency, we assessed exon 53 skipping of the <i>DMD</i> transcript with different chemically modified AONs, all with a phosphorothioate backbone: 2'-O-methyl (2'OMe), locked nucleic acid (LNA)-2'OMe, 2'-fluoro (FRNA), LNA-FRNA, αLNA-FRNA, and FANA-LNA-FRNA. Efficient exon 53 skipping was observed with the FRNA, LNA-FRNA, and LNA-2'OMe AONs in human control myoblast cultures. Weekly subcutaneous injections (50 mg/kg AON) for a duration of 6 weeks were well tolerated by hDMDdel52/<i>mdx</i> males. Treatment with the LNA-FRNA and LNA-2'OMe AONs resulted in pronounced exon 53 skip levels in skeletal muscles and heart up to 90%, but no dystrophin restoration was observed. This discrepancy was mainly ascribed to the strong binding nature of LNA modifications to RNA, thereby interfering with the amplification of the unskipped product resulting in artificial overamplification of the exon 53 skip product. Our study highlights that treatment effect on RNA and protein level should both be considered when assessing AON efficiency.</p>\",\"PeriodicalId\":19412,\"journal\":{\"name\":\"Nucleic acid therapeutics\",\"volume\":\"33 6\",\"pages\":\"348-360\"},\"PeriodicalIF\":4.7000,\"publicationDate\":\"2023-12-01\",\"publicationTypes\":\"Journal Article\",\"fieldsOfStudy\":null,\"isOpenAccess\":false,\"openAccessPdf\":\"https://www.ncbi.nlm.nih.gov/pmc/articles/PMC10698779/pdf/\",\"citationCount\":\"0\",\"resultStr\":null,\"platform\":\"Semanticscholar\",\"paperid\":null,\"PeriodicalName\":\"Nucleic acid therapeutics\",\"FirstCategoryId\":\"3\",\"ListUrlMain\":\"https://doi.org/10.1089/nat.2023.0038\",\"RegionNum\":2,\"RegionCategory\":\"医学\",\"ArticlePicture\":[],\"TitleCN\":null,\"AbstractTextCN\":null,\"PMCID\":null,\"EPubDate\":\"\",\"PubModel\":\"\",\"JCR\":\"Q2\",\"JCRName\":\"BIOCHEMISTRY & MOLECULAR BIOLOGY\",\"Score\":null,\"Total\":0}","platform":"Semanticscholar","paperid":null,"PeriodicalName":"Nucleic acid therapeutics","FirstCategoryId":"3","ListUrlMain":"https://doi.org/10.1089/nat.2023.0038","RegionNum":2,"RegionCategory":"医学","ArticlePicture":[],"TitleCN":null,"AbstractTextCN":null,"PMCID":null,"EPubDate":"","PubModel":"","JCR":"Q2","JCRName":"BIOCHEMISTRY & MOLECULAR BIOLOGY","Score":null,"Total":0}
引用次数: 0

摘要

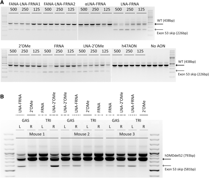
反义寡核苷酸(AON)介导的外显子跳变是杜氏肌营养不良(DMD)患者恢复肌营养不良蛋白表达的一种很有前景的治疗方法。然而,已经有条件批准的AONs的治疗效果仍然很低。为了优化AON的效率,我们用不同化学修饰的AON评估了DMD转录本外显子53的跳变,这些AON都具有磷酸化骨架:2'- o -甲基(2' ome)、锁定核酸(LNA)-2'OMe、2'-氟(FRNA)、LNA-FRNA、αLNA-FRNA和fna -LNA-FRNA。在人对照成肌细胞培养中,FRNA、na -FRNA和na -2' ome AONs有效地跳过外显子53。每周皮下注射(50mg /kg AON),持续6周,hDMDdel52/mdx男性耐受良好。用LNA-FRNA和LNA-2'OMe AONs治疗导致骨骼肌和心脏外显子53跳跃水平高达90%,但未观察到肌营养不良蛋白恢复。这种差异主要归因于LNA修饰与RNA的强结合特性,从而干扰了未跳过产物的扩增,导致外显子53跳过产物的人工过扩增。我们的研究强调,在评估AON效率时,应同时考虑治疗对RNA和蛋白质水平的影响。
本文章由计算机程序翻译,如有差异,请以英文原文为准。

Challenges of Assessing Exon 53 Skipping of the Human <i>DMD</i> Transcript with Locked Nucleic Acid-Modified Antisense Oligonucleotides in a Mouse Model for Duchenne Muscular Dystrophy.

Challenges of Assessing Exon 53 Skipping of the Human <i>DMD</i> Transcript with Locked Nucleic Acid-Modified Antisense Oligonucleotides in a Mouse Model for Duchenne Muscular Dystrophy.

Challenges of Assessing Exon 53 Skipping of the Human <i>DMD</i> Transcript with Locked Nucleic Acid-Modified Antisense Oligonucleotides in a Mouse Model for Duchenne Muscular Dystrophy.

Challenges of Assessing Exon 53 Skipping of the Human DMD Transcript with Locked Nucleic Acid-Modified Antisense Oligonucleotides in a Mouse Model for Duchenne Muscular Dystrophy.

Antisense oligonucleotide (AON)-mediated exon skipping is a promising therapeutic approach for Duchenne muscular dystrophy (DMD) patients to restore dystrophin expression by reframing the disrupted open reading frame of the DMD transcript. However, the treatment efficacy of the already conditionally approved AONs remains low. Aiming to optimize AON efficiency, we assessed exon 53 skipping of the DMD transcript with different chemically modified AONs, all with a phosphorothioate backbone: 2'-O-methyl (2'OMe), locked nucleic acid (LNA)-2'OMe, 2'-fluoro (FRNA), LNA-FRNA, αLNA-FRNA, and FANA-LNA-FRNA. Efficient exon 53 skipping was observed with the FRNA, LNA-FRNA, and LNA-2'OMe AONs in human control myoblast cultures. Weekly subcutaneous injections (50 mg/kg AON) for a duration of 6 weeks were well tolerated by hDMDdel52/mdx males. Treatment with the LNA-FRNA and LNA-2'OMe AONs resulted in pronounced exon 53 skip levels in skeletal muscles and heart up to 90%, but no dystrophin restoration was observed. This discrepancy was mainly ascribed to the strong binding nature of LNA modifications to RNA, thereby interfering with the amplification of the unskipped product resulting in artificial overamplification of the exon 53 skip product. Our study highlights that treatment effect on RNA and protein level should both be considered when assessing AON efficiency.

求助全文
通过发布文献求助,成功后即可免费获取论文全文。 去求助
来源期刊
Nucleic acid therapeutics
Nucleic acid therapeutics BIOCHEMISTRY & MOLECULAR BIOLOGY-CHEMISTRY, MEDICINAL
CiteScore
7.60
自引率
7.50%
发文量
47
审稿时长
>12 weeks
期刊介绍: Nucleic Acid Therapeutics is the leading journal in its field focusing on cutting-edge basic research, therapeutic applications, and drug development using nucleic acids or related compounds to alter gene expression. The Journal examines many new approaches for using nucleic acids as therapeutic agents or in modifying nucleic acids for therapeutic purposes including: oligonucleotides, gene modification, aptamers, RNA nanoparticles, and ribozymes.
×
引用
GB/T 7714-2015
复制
MLA
复制
APA
复制
导出至
BibTeX EndNote RefMan NoteFirst NoteExpress
×
提示
您的信息不完整,为了账户安全,请先补充。
现在去补充
×
提示
您因"违规操作"
具体请查看互助需知
我知道了
×
提示
确定
请完成安全验证×
copy
已复制链接
快去分享给好友吧!
我知道了
右上角分享
点击右上角分享
0
联系我们:info@booksci.cn Book学术提供免费学术资源搜索服务,方便国内外学者检索中英文文献。致力于提供最便捷和优质的服务体验。 Copyright © 2023 布克学术 All rights reserved.
京ICP备2023020795号-1
ghs 京公网安备 11010802042870号
Book学术文献互助
Book学术文献互助群
群 号:604180095
Book学术官方微信