胎儿回声肠:什么是真正的回声?一种基于灰度直方图分析的定量方法。

IF 1.6 3区 医学 Q3 OBSTETRICS & GYNECOLOGY
Fetal Diagnosis and Therapy Pub Date : 2024-01-01 Epub Date: 2023-11-23 DOI:10.1159/000535431
Silvia Spinnato, Alessia De Biase, Caterina Maddalena Bilardo, Ayten Elvan-Taşpınar
{"title":"胎儿回声肠:什么是真正的回声?一种基于灰度直方图分析的定量方法。","authors":"Silvia Spinnato, Alessia De Biase, Caterina Maddalena Bilardo, Ayten Elvan-Taşpınar","doi":"10.1159/000535431","DOIUrl":null,"url":null,"abstract":"<p><strong>Introduction: </strong>The aim of this study was to use computerized analysis of the grayscale spectrum (histogram) to provide an objective assessment of the echogenicity of the fetal bowel. Moreover, we investigated the role of histogram analysis in the prenatal prediction of postnatal outcomes in fetuses with echogenic bowel (fetal echogenic bowel [FEB]).</p><p><strong>Methods: </strong>This is a single-center retrospective study including all fetuses with a diagnosis of echogenic bowel (FEB) in the mid-second trimester between 2015 and 2021. Ultrasound images were analyzed using ImageJ software. The mean of the grayscale histograms of the bowel, liver, and iliac/femur bone was obtained for each patient, and the ratio between these structures was used to overcome gain variations. We compared these values with those of a matched control group of singleton uncomplicated pregnancies and with a group of patients referred for FEB, where the FEB was not confirmed by the expert operator (FEB false-positive).</p><p><strong>Results: </strong>There was a statistically significant difference between bowel/liver and bowel/bone histogram ratios between the FEB group and the control groups (p &lt; 0.05). Mean ratio cutoffs were provided for the diagnosis of FEB. Among the patients with confirmed FEB, both ratios were not able to discriminate the cases with adverse outcomes. In contrast, the presence of dilated bowel or other markers was associated with an adverse outcome.</p><p><strong>Conclusions: </strong>Histogram analysis may refine the diagnosis of FEB and reduce the number of false-positive diagnoses. For the prediction of the fetal outcome, the presence of additional features is clinically more significant than the degree of bowel echogenicity.</p>","PeriodicalId":12189,"journal":{"name":"Fetal Diagnosis and Therapy","volume":" ","pages":"145-153"},"PeriodicalIF":1.6000,"publicationDate":"2024-01-01","publicationTypes":"Journal Article","fieldsOfStudy":null,"isOpenAccess":false,"openAccessPdf":"https://www.ncbi.nlm.nih.gov/pmc/articles/PMC10994595/pdf/","citationCount":"0","resultStr":"{\"title\":\"Fetal Echogenic Bowel: What Is Real Echogenicity? A Quantitative Method Based on Histogram Analysis of the Grayscale.\",\"authors\":\"Silvia Spinnato, Alessia De Biase, Caterina Maddalena Bilardo, Ayten Elvan-Taşpınar\",\"doi\":\"10.1159/000535431\",\"DOIUrl\":null,\"url\":null,\"abstract\":\"<p><strong>Introduction: </strong>The aim of this study was to use computerized analysis of the grayscale spectrum (histogram) to provide an objective assessment of the echogenicity of the fetal bowel. Moreover, we investigated the role of histogram analysis in the prenatal prediction of postnatal outcomes in fetuses with echogenic bowel (fetal echogenic bowel [FEB]).</p><p><strong>Methods: </strong>This is a single-center retrospective study including all fetuses with a diagnosis of echogenic bowel (FEB) in the mid-second trimester between 2015 and 2021. Ultrasound images were analyzed using ImageJ software. The mean of the grayscale histograms of the bowel, liver, and iliac/femur bone was obtained for each patient, and the ratio between these structures was used to overcome gain variations. We compared these values with those of a matched control group of singleton uncomplicated pregnancies and with a group of patients referred for FEB, where the FEB was not confirmed by the expert operator (FEB false-positive).</p><p><strong>Results: </strong>There was a statistically significant difference between bowel/liver and bowel/bone histogram ratios between the FEB group and the control groups (p &lt; 0.05). Mean ratio cutoffs were provided for the diagnosis of FEB. Among the patients with confirmed FEB, both ratios were not able to discriminate the cases with adverse outcomes. In contrast, the presence of dilated bowel or other markers was associated with an adverse outcome.</p><p><strong>Conclusions: </strong>Histogram analysis may refine the diagnosis of FEB and reduce the number of false-positive diagnoses. For the prediction of the fetal outcome, the presence of additional features is clinically more significant than the degree of bowel echogenicity.</p>\",\"PeriodicalId\":12189,\"journal\":{\"name\":\"Fetal Diagnosis and Therapy\",\"volume\":\" \",\"pages\":\"145-153\"},\"PeriodicalIF\":1.6000,\"publicationDate\":\"2024-01-01\",\"publicationTypes\":\"Journal Article\",\"fieldsOfStudy\":null,\"isOpenAccess\":false,\"openAccessPdf\":\"https://www.ncbi.nlm.nih.gov/pmc/articles/PMC10994595/pdf/\",\"citationCount\":\"0\",\"resultStr\":null,\"platform\":\"Semanticscholar\",\"paperid\":null,\"PeriodicalName\":\"Fetal Diagnosis and Therapy\",\"FirstCategoryId\":\"3\",\"ListUrlMain\":\"https://doi.org/10.1159/000535431\",\"RegionNum\":3,\"RegionCategory\":\"医学\",\"ArticlePicture\":[],\"TitleCN\":null,\"AbstractTextCN\":null,\"PMCID\":null,\"EPubDate\":\"2023/11/23 0:00:00\",\"PubModel\":\"Epub\",\"JCR\":\"Q3\",\"JCRName\":\"OBSTETRICS & GYNECOLOGY\",\"Score\":null,\"Total\":0}","platform":"Semanticscholar","paperid":null,"PeriodicalName":"Fetal Diagnosis and Therapy","FirstCategoryId":"3","ListUrlMain":"https://doi.org/10.1159/000535431","RegionNum":3,"RegionCategory":"医学","ArticlePicture":[],"TitleCN":null,"AbstractTextCN":null,"PMCID":null,"EPubDate":"2023/11/23 0:00:00","PubModel":"Epub","JCR":"Q3","JCRName":"OBSTETRICS & GYNECOLOGY","Score":null,"Total":0}
引用次数: 0

摘要

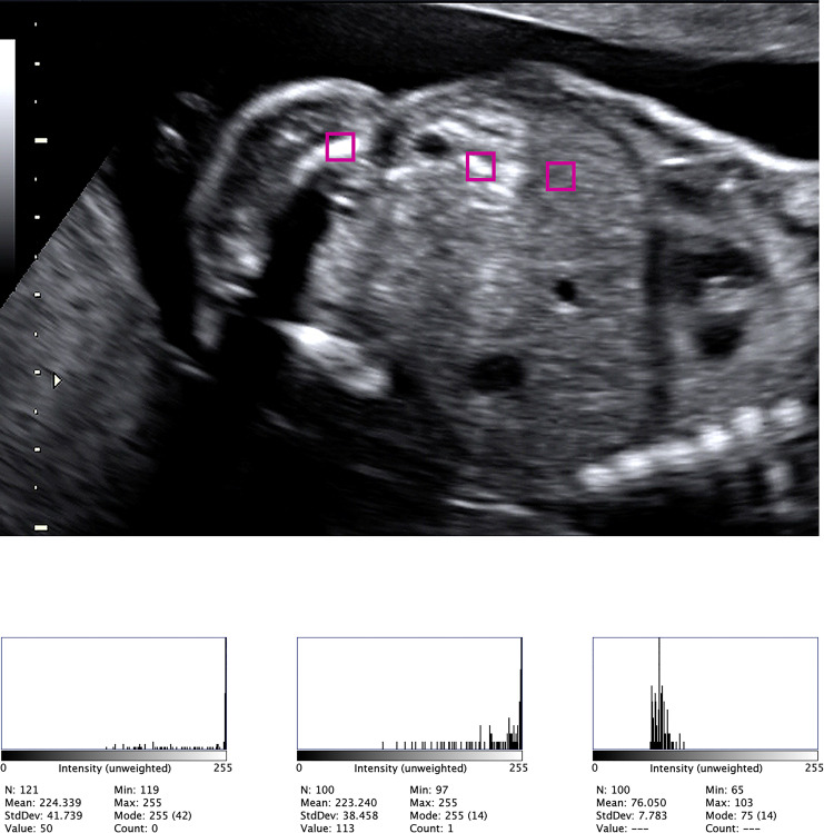
简介:本研究的目的是使用计算机分析的灰度谱(直方图),以提供胎儿肠回声的客观评估。此外,我们还研究了直方图分析在产前预测回声肠胎儿(FEB)出生后结局中的作用。方法:这是一项单中心回顾性研究,包括2015年至2021年期间所有妊娠中期诊断为回声肠(FEB)的胎儿。采用ImageJ软件对超声图像进行分析。获得每个患者的肠、肝和髂/股骨的灰度直方图的平均值,并使用这些结构之间的比率来克服增益变化。我们将这些值与匹配的单胎无并发症妊娠对照组和一组未经专家操作人员确认的FEB患者(FEB假阳性,FEBfp)进行比较。结果:FEB组与对照组的肠/肝直方图和肠/骨直方图比值差异有统计学意义(p)结论:直方图分析可以细化FEB的诊断,减少假阳性诊断。对于胎儿结局的预测,其他特征的存在在临床上比肠道回声的程度更重要。
本文章由计算机程序翻译,如有差异,请以英文原文为准。

Fetal Echogenic Bowel: What Is Real Echogenicity? A Quantitative Method Based on Histogram Analysis of the Grayscale.

Fetal Echogenic Bowel: What Is Real Echogenicity? A Quantitative Method Based on Histogram Analysis of the Grayscale.

Fetal Echogenic Bowel: What Is Real Echogenicity? A Quantitative Method Based on Histogram Analysis of the Grayscale.

Fetal Echogenic Bowel: What Is Real Echogenicity? A Quantitative Method Based on Histogram Analysis of the Grayscale.

Introduction: The aim of this study was to use computerized analysis of the grayscale spectrum (histogram) to provide an objective assessment of the echogenicity of the fetal bowel. Moreover, we investigated the role of histogram analysis in the prenatal prediction of postnatal outcomes in fetuses with echogenic bowel (fetal echogenic bowel [FEB]).

Methods: This is a single-center retrospective study including all fetuses with a diagnosis of echogenic bowel (FEB) in the mid-second trimester between 2015 and 2021. Ultrasound images were analyzed using ImageJ software. The mean of the grayscale histograms of the bowel, liver, and iliac/femur bone was obtained for each patient, and the ratio between these structures was used to overcome gain variations. We compared these values with those of a matched control group of singleton uncomplicated pregnancies and with a group of patients referred for FEB, where the FEB was not confirmed by the expert operator (FEB false-positive).

Results: There was a statistically significant difference between bowel/liver and bowel/bone histogram ratios between the FEB group and the control groups (p < 0.05). Mean ratio cutoffs were provided for the diagnosis of FEB. Among the patients with confirmed FEB, both ratios were not able to discriminate the cases with adverse outcomes. In contrast, the presence of dilated bowel or other markers was associated with an adverse outcome.

Conclusions: Histogram analysis may refine the diagnosis of FEB and reduce the number of false-positive diagnoses. For the prediction of the fetal outcome, the presence of additional features is clinically more significant than the degree of bowel echogenicity.

求助全文
通过发布文献求助,成功后即可免费获取论文全文。 去求助
来源期刊
Fetal Diagnosis and Therapy
Fetal Diagnosis and Therapy 医学-妇产科学
CiteScore
4.70
自引率
9.10%
发文量
48
审稿时长
6-12 weeks
期刊介绍: The first journal to focus on the fetus as a patient, ''Fetal Diagnosis and Therapy'' provides a wide range of biomedical specialists with a single source of reports encompassing the common discipline of fetal medicine.
×
引用
GB/T 7714-2015
复制
MLA
复制
APA
复制
导出至
BibTeX EndNote RefMan NoteFirst NoteExpress
×
提示
您的信息不完整,为了账户安全,请先补充。
现在去补充
×
提示
您因"违规操作"
具体请查看互助需知
我知道了
×
提示
确定
请完成安全验证×
copy
已复制链接
快去分享给好友吧!
我知道了
右上角分享
点击右上角分享
0
联系我们:info@booksci.cn Book学术提供免费学术资源搜索服务,方便国内外学者检索中英文文献。致力于提供最便捷和优质的服务体验。 Copyright © 2023 布克学术 All rights reserved.
京ICP备2023020795号-1
ghs 京公网安备 11010802042870号
Book学术文献互助
Book学术文献互助群
群 号:604180095
Book学术官方微信