腹腔镜左结肠切除术后乳糜漏的成功保守治疗。

IF 0.6
Laura Rubio López, Silvia Benito Barbero, Javier Páramo Zunzunegui, Teresa Antón Bravo, Maria Moral Gonzalez
{"title":"腹腔镜左结肠切除术后乳糜漏的成功保守治疗。","authors":"Laura Rubio López, Silvia Benito Barbero, Javier Páramo Zunzunegui, Teresa Antón Bravo, Maria Moral Gonzalez","doi":"10.23938/ASSN.1051","DOIUrl":null,"url":null,"abstract":"<p><p>Chyle leak is a pathological extravasation of chyle into the peritoneal cavity after a surgical injury. It is an uncommon complication in colorectal surgery. In most cases, conservative treatment is effective, although it often entails prolonged hospital stays. We present the case of a 60-year-old female with chyle leak after laparoscopic left hemicolectomy with complete mesocolic excision who underwent successful outpatient conservative management. We found no other cases of successful conservative outpatient treatment in the consulted literature. Adequate outpatient management may provide significant benefits by reducing hospital costs and improving patient´s quality of life, while maintaining the possibility of starting adjuvant treatment if indicated.</p>","PeriodicalId":500996,"journal":{"name":"Anales del sistema sanitario de Navarra","volume":"46 3","pages":""},"PeriodicalIF":0.6000,"publicationDate":"2023-11-22","publicationTypes":"Journal Article","fieldsOfStudy":null,"isOpenAccess":false,"openAccessPdf":"https://www.ncbi.nlm.nih.gov/pmc/articles/PMC10767679/pdf/","citationCount":"0","resultStr":"{\"title\":\"Successful outpatient conservative management of chyle leak after laparoscopic left hemicolectomy.\",\"authors\":\"Laura Rubio López, Silvia Benito Barbero, Javier Páramo Zunzunegui, Teresa Antón Bravo, Maria Moral Gonzalez\",\"doi\":\"10.23938/ASSN.1051\",\"DOIUrl\":null,\"url\":null,\"abstract\":\"<p><p>Chyle leak is a pathological extravasation of chyle into the peritoneal cavity after a surgical injury. It is an uncommon complication in colorectal surgery. In most cases, conservative treatment is effective, although it often entails prolonged hospital stays. We present the case of a 60-year-old female with chyle leak after laparoscopic left hemicolectomy with complete mesocolic excision who underwent successful outpatient conservative management. We found no other cases of successful conservative outpatient treatment in the consulted literature. Adequate outpatient management may provide significant benefits by reducing hospital costs and improving patient´s quality of life, while maintaining the possibility of starting adjuvant treatment if indicated.</p>\",\"PeriodicalId\":500996,\"journal\":{\"name\":\"Anales del sistema sanitario de Navarra\",\"volume\":\"46 3\",\"pages\":\"\"},\"PeriodicalIF\":0.6000,\"publicationDate\":\"2023-11-22\",\"publicationTypes\":\"Journal Article\",\"fieldsOfStudy\":null,\"isOpenAccess\":false,\"openAccessPdf\":\"https://www.ncbi.nlm.nih.gov/pmc/articles/PMC10767679/pdf/\",\"citationCount\":\"0\",\"resultStr\":null,\"platform\":\"Semanticscholar\",\"paperid\":null,\"PeriodicalName\":\"Anales del sistema sanitario de Navarra\",\"FirstCategoryId\":\"1085\",\"ListUrlMain\":\"https://doi.org/10.23938/ASSN.1051\",\"RegionNum\":0,\"RegionCategory\":null,\"ArticlePicture\":[],\"TitleCN\":null,\"AbstractTextCN\":null,\"PMCID\":null,\"EPubDate\":\"\",\"PubModel\":\"\",\"JCR\":\"\",\"JCRName\":\"\",\"Score\":null,\"Total\":0}","platform":"Semanticscholar","paperid":null,"PeriodicalName":"Anales del sistema sanitario de Navarra","FirstCategoryId":"1085","ListUrlMain":"https://doi.org/10.23938/ASSN.1051","RegionNum":0,"RegionCategory":null,"ArticlePicture":[],"TitleCN":null,"AbstractTextCN":null,"PMCID":null,"EPubDate":"","PubModel":"","JCR":"","JCRName":"","Score":null,"Total":0}
引用次数: 0

摘要

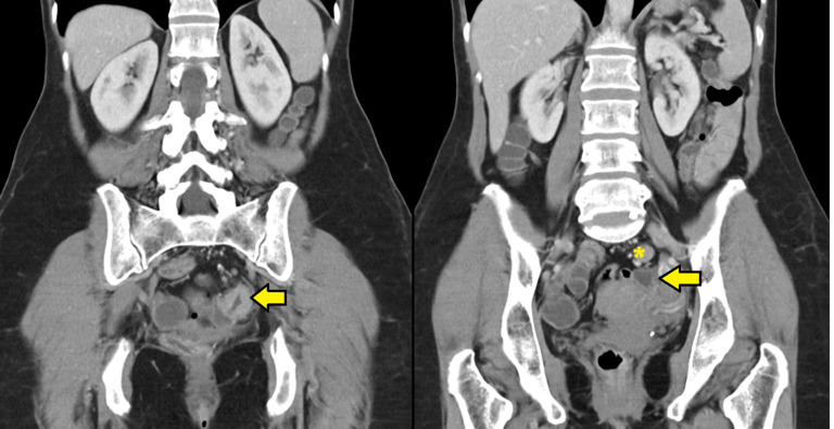
乳糜漏是手术损伤后病理性乳糜外渗进入腹腔。这是结直肠手术中一种罕见的并发症。在大多数情况下,保守治疗是有效的,尽管它往往需要延长住院时间。我们提出的情况下,60岁的女性乳糜漏后腹腔镜左结肠切除术和完整的肠系膜切除谁接受成功的门诊保守管理。我们在查阅的文献中没有发现其他保守门诊治疗成功的病例。充分的门诊管理可以通过降低医院费用和提高患者的生活质量提供显著的益处,同时在有指征时保持开始辅助治疗的可能性。
本文章由计算机程序翻译,如有差异,请以英文原文为准。

Successful outpatient conservative management of chyle leak after laparoscopic left hemicolectomy.

Successful outpatient conservative management of chyle leak after laparoscopic left hemicolectomy.

Successful outpatient conservative management of chyle leak after laparoscopic left hemicolectomy.

Chyle leak is a pathological extravasation of chyle into the peritoneal cavity after a surgical injury. It is an uncommon complication in colorectal surgery. In most cases, conservative treatment is effective, although it often entails prolonged hospital stays. We present the case of a 60-year-old female with chyle leak after laparoscopic left hemicolectomy with complete mesocolic excision who underwent successful outpatient conservative management. We found no other cases of successful conservative outpatient treatment in the consulted literature. Adequate outpatient management may provide significant benefits by reducing hospital costs and improving patient´s quality of life, while maintaining the possibility of starting adjuvant treatment if indicated.

求助全文
通过发布文献求助,成功后即可免费获取论文全文。 去求助
来源期刊
自引率
0.00%
发文量
0
×
引用
GB/T 7714-2015
复制
MLA
复制
APA
复制
导出至
BibTeX EndNote RefMan NoteFirst NoteExpress
×
提示
您的信息不完整,为了账户安全,请先补充。
现在去补充
×
提示
您因"违规操作"
具体请查看互助需知
我知道了
×
提示
确定
请完成安全验证×
copy
已复制链接
快去分享给好友吧!
我知道了
右上角分享
点击右上角分享
0
联系我们:info@booksci.cn Book学术提供免费学术资源搜索服务,方便国内外学者检索中英文文献。致力于提供最便捷和优质的服务体验。 Copyright © 2023 布克学术 All rights reserved.
京ICP备2023020795号-1
ghs 京公网安备 11010802042870号
Book学术文献互助
Book学术文献互助群
群 号:604180095
Book学术官方微信