[丙型肝炎病毒感染继发膜增生性肾小球肾炎的治疗]。

IF 0.6
Ignacio Lasierra Lavilla, Amalia Perona Caro, Celia Del Agua Arias-Camisón, Julien Paola Caballero Castro
{"title":"[丙型肝炎病毒感染继发膜增生性肾小球肾炎的治疗]。","authors":"Ignacio Lasierra Lavilla, Amalia Perona Caro, Celia Del Agua Arias-Camisón, Julien Paola Caballero Castro","doi":"10.23938/ASSN.1055","DOIUrl":null,"url":null,"abstract":"<p><p>Membranoproliferative glomerulonephritis is an uncommon condition that affects the glomeruli of the kidneys; its prevalence has decreased in our environment. Membranoproliferative glomerulonephritis has a characteristic histology that can be associated to different diseases. The clinical presentation varies, and to achieve a definitive diagnosis a renal biopsy must be done. Treatment is based on the underlying disease; when a drop in glomerular filtration rate is detected, immunosuppressants are prescribed. We describe the management of a 47-year-old female with membranoproliferative glomerulonephritis secondary to hepatitis C virus infection, a condition with very low prevalence.</p>","PeriodicalId":500996,"journal":{"name":"Anales del sistema sanitario de Navarra","volume":"46 3","pages":""},"PeriodicalIF":0.6000,"publicationDate":"2023-11-15","publicationTypes":"Journal Article","fieldsOfStudy":null,"isOpenAccess":false,"openAccessPdf":"https://www.ncbi.nlm.nih.gov/pmc/articles/PMC10767695/pdf/","citationCount":"0","resultStr":"{\"title\":\"[Management of membranoproliferative glomerulonephritis secondary to infection by hepatitis C virus].\",\"authors\":\"Ignacio Lasierra Lavilla, Amalia Perona Caro, Celia Del Agua Arias-Camisón, Julien Paola Caballero Castro\",\"doi\":\"10.23938/ASSN.1055\",\"DOIUrl\":null,\"url\":null,\"abstract\":\"<p><p>Membranoproliferative glomerulonephritis is an uncommon condition that affects the glomeruli of the kidneys; its prevalence has decreased in our environment. Membranoproliferative glomerulonephritis has a characteristic histology that can be associated to different diseases. The clinical presentation varies, and to achieve a definitive diagnosis a renal biopsy must be done. Treatment is based on the underlying disease; when a drop in glomerular filtration rate is detected, immunosuppressants are prescribed. We describe the management of a 47-year-old female with membranoproliferative glomerulonephritis secondary to hepatitis C virus infection, a condition with very low prevalence.</p>\",\"PeriodicalId\":500996,\"journal\":{\"name\":\"Anales del sistema sanitario de Navarra\",\"volume\":\"46 3\",\"pages\":\"\"},\"PeriodicalIF\":0.6000,\"publicationDate\":\"2023-11-15\",\"publicationTypes\":\"Journal Article\",\"fieldsOfStudy\":null,\"isOpenAccess\":false,\"openAccessPdf\":\"https://www.ncbi.nlm.nih.gov/pmc/articles/PMC10767695/pdf/\",\"citationCount\":\"0\",\"resultStr\":null,\"platform\":\"Semanticscholar\",\"paperid\":null,\"PeriodicalName\":\"Anales del sistema sanitario de Navarra\",\"FirstCategoryId\":\"1085\",\"ListUrlMain\":\"https://doi.org/10.23938/ASSN.1055\",\"RegionNum\":0,\"RegionCategory\":null,\"ArticlePicture\":[],\"TitleCN\":null,\"AbstractTextCN\":null,\"PMCID\":null,\"EPubDate\":\"\",\"PubModel\":\"\",\"JCR\":\"\",\"JCRName\":\"\",\"Score\":null,\"Total\":0}","platform":"Semanticscholar","paperid":null,"PeriodicalName":"Anales del sistema sanitario de Navarra","FirstCategoryId":"1085","ListUrlMain":"https://doi.org/10.23938/ASSN.1055","RegionNum":0,"RegionCategory":null,"ArticlePicture":[],"TitleCN":null,"AbstractTextCN":null,"PMCID":null,"EPubDate":"","PubModel":"","JCR":"","JCRName":"","Score":null,"Total":0}
引用次数: 0

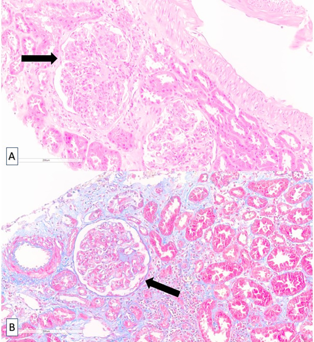
摘要

膜增生性肾小球肾炎是一种少见的影响肾小球的疾病;在我们的环境中,它的流行已经减少了。膜增生性肾小球肾炎具有独特的组织学特征,可与不同疾病相关。临床表现各不相同,为了获得明确的诊断,必须进行肾活检。治疗是基于潜在的疾病;当检测到肾小球滤过率下降时,开免疫抑制剂。我们描述了一个47岁的女性膜增殖性肾小球肾炎继发于丙型肝炎病毒感染的管理,这种情况的患病率非常低。
本文章由计算机程序翻译,如有差异,请以英文原文为准。

[Management of membranoproliferative glomerulonephritis secondary to infection by hepatitis C virus].

[Management of membranoproliferative glomerulonephritis secondary to infection by hepatitis C virus].

[Management of membranoproliferative glomerulonephritis secondary to infection by hepatitis C virus].

Membranoproliferative glomerulonephritis is an uncommon condition that affects the glomeruli of the kidneys; its prevalence has decreased in our environment. Membranoproliferative glomerulonephritis has a characteristic histology that can be associated to different diseases. The clinical presentation varies, and to achieve a definitive diagnosis a renal biopsy must be done. Treatment is based on the underlying disease; when a drop in glomerular filtration rate is detected, immunosuppressants are prescribed. We describe the management of a 47-year-old female with membranoproliferative glomerulonephritis secondary to hepatitis C virus infection, a condition with very low prevalence.

求助全文
通过发布文献求助,成功后即可免费获取论文全文。 去求助
来源期刊
自引率
0.00%
发文量
0
×
引用
GB/T 7714-2015
复制
MLA
复制
APA
复制
导出至
BibTeX EndNote RefMan NoteFirst NoteExpress
×
提示
您的信息不完整,为了账户安全,请先补充。
现在去补充
×
提示
您因"违规操作"
具体请查看互助需知
我知道了
×
提示
确定
请完成安全验证×
copy
已复制链接
快去分享给好友吧!
我知道了
右上角分享
点击右上角分享
0
联系我们:info@booksci.cn Book学术提供免费学术资源搜索服务,方便国内外学者检索中英文文献。致力于提供最便捷和优质的服务体验。 Copyright © 2023 布克学术 All rights reserved.
京ICP备2023020795号-1
ghs 京公网安备 11010802042870号
Book学术文献互助
Book学术文献互助群
群 号:604180095
Book学术官方微信