从围产期病理学角度看妊娠晚期和分娩时SARS-CoV-2感染

IF 2.5 Q3 DEVELOPMENTAL BIOLOGY
Larisa Debelenko
{"title":"从围产期病理学角度看妊娠晚期和分娩时SARS-CoV-2感染","authors":"Larisa Debelenko","doi":"10.3390/jdb11040042","DOIUrl":null,"url":null,"abstract":"<p><p>This review focuses on SARS-CoV-2 infection in placental and fetal tissues. Viremia is rare in infected pregnant women, and the virus is seldom amplified from placental tissues. Definite and probable placental infection requires the demonstration of viral RNA or proteins using in situ hybridization (ISH) and immunohistochemistry (IHC). Small subsets (1.0-7.9%, median 2.8%) of placentas of SARS-CoV-2-positive women showed definite infection accompanied by a characteristic histopathology named SARS-CoV-2 placentitis (SP). The conventionally accepted histopathological criteria for SP include the triad of intervillositis, perivillous fibrin deposition, and trophoblast necrosis. SP was shown to be independent of the clinical severity of the infection, but associated with stillbirth in cases where destructive lesions affecting more than 75% of the placental tissue resulted in placental insufficiency and severe fetal hypoxic-ischemic injury. An association between maternal thrombophilia and SP was shown in a subset of cases, suggesting a synergy of the infection and deficient coagulation cascade as one of the mechanisms of the pathologic accumulation of fibrin in affected placentas. The virus was amplified from fetal tissues in approximately 40% of SP cases, but definite fetal involvement demonstrated using ISH or IHC is exceptionally rare. The placental pathology in SARS-CoV-2-positive women also includes chronic lesions associated with placental malperfusion in the absence of definite or probable placental infection. The direct viral causation of the vascular malperfusion of the placenta in COVID-19 is debatable, and common predispositions (hypertension, diabetes, and obesity) may play a role.</p>","PeriodicalId":15563,"journal":{"name":"Journal of Developmental Biology","volume":"11 4","pages":""},"PeriodicalIF":2.5000,"publicationDate":"2023-11-16","publicationTypes":"Journal Article","fieldsOfStudy":null,"isOpenAccess":false,"openAccessPdf":"https://www.ncbi.nlm.nih.gov/pmc/articles/PMC10660738/pdf/","citationCount":"0","resultStr":"{\"title\":\"SARS-CoV-2 Infection in Late Pregnancy and Childbirth from the Perspective of Perinatal Pathology.\",\"authors\":\"Larisa Debelenko\",\"doi\":\"10.3390/jdb11040042\",\"DOIUrl\":null,\"url\":null,\"abstract\":\"<p><p>This review focuses on SARS-CoV-2 infection in placental and fetal tissues. Viremia is rare in infected pregnant women, and the virus is seldom amplified from placental tissues. Definite and probable placental infection requires the demonstration of viral RNA or proteins using in situ hybridization (ISH) and immunohistochemistry (IHC). Small subsets (1.0-7.9%, median 2.8%) of placentas of SARS-CoV-2-positive women showed definite infection accompanied by a characteristic histopathology named SARS-CoV-2 placentitis (SP). The conventionally accepted histopathological criteria for SP include the triad of intervillositis, perivillous fibrin deposition, and trophoblast necrosis. SP was shown to be independent of the clinical severity of the infection, but associated with stillbirth in cases where destructive lesions affecting more than 75% of the placental tissue resulted in placental insufficiency and severe fetal hypoxic-ischemic injury. An association between maternal thrombophilia and SP was shown in a subset of cases, suggesting a synergy of the infection and deficient coagulation cascade as one of the mechanisms of the pathologic accumulation of fibrin in affected placentas. The virus was amplified from fetal tissues in approximately 40% of SP cases, but definite fetal involvement demonstrated using ISH or IHC is exceptionally rare. The placental pathology in SARS-CoV-2-positive women also includes chronic lesions associated with placental malperfusion in the absence of definite or probable placental infection. The direct viral causation of the vascular malperfusion of the placenta in COVID-19 is debatable, and common predispositions (hypertension, diabetes, and obesity) may play a role.</p>\",\"PeriodicalId\":15563,\"journal\":{\"name\":\"Journal of Developmental Biology\",\"volume\":\"11 4\",\"pages\":\"\"},\"PeriodicalIF\":2.5000,\"publicationDate\":\"2023-11-16\",\"publicationTypes\":\"Journal Article\",\"fieldsOfStudy\":null,\"isOpenAccess\":false,\"openAccessPdf\":\"https://www.ncbi.nlm.nih.gov/pmc/articles/PMC10660738/pdf/\",\"citationCount\":\"0\",\"resultStr\":null,\"platform\":\"Semanticscholar\",\"paperid\":null,\"PeriodicalName\":\"Journal of Developmental Biology\",\"FirstCategoryId\":\"1085\",\"ListUrlMain\":\"https://doi.org/10.3390/jdb11040042\",\"RegionNum\":0,\"RegionCategory\":null,\"ArticlePicture\":[],\"TitleCN\":null,\"AbstractTextCN\":null,\"PMCID\":null,\"EPubDate\":\"\",\"PubModel\":\"\",\"JCR\":\"Q3\",\"JCRName\":\"DEVELOPMENTAL BIOLOGY\",\"Score\":null,\"Total\":0}","platform":"Semanticscholar","paperid":null,"PeriodicalName":"Journal of Developmental Biology","FirstCategoryId":"1085","ListUrlMain":"https://doi.org/10.3390/jdb11040042","RegionNum":0,"RegionCategory":null,"ArticlePicture":[],"TitleCN":null,"AbstractTextCN":null,"PMCID":null,"EPubDate":"","PubModel":"","JCR":"Q3","JCRName":"DEVELOPMENTAL BIOLOGY","Score":null,"Total":0}
引用次数: 0

摘要

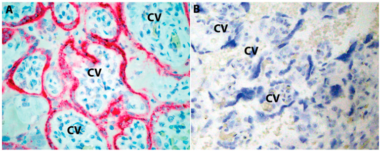
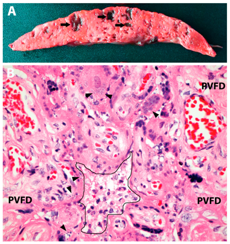
本文综述了SARS-CoV-2在胎盘和胎儿组织中的感染。病毒血症在感染的孕妇中很少见,而且病毒很少从胎盘组织中扩增出来。确定和可能的胎盘感染需要使用原位杂交(ISH)和免疫组织化学(IHC)证明病毒RNA或蛋白质。一小部分(1.0-7.9%,中位数2.8%)SARS-CoV-2阳性妇女的胎盘显示明确的感染,并伴有称为SARS-CoV-2胎盘炎(SP)的特征性组织病理学。通常接受的SP的组织病理学标准包括绒毛间炎、绒毛周围纤维蛋白沉积和滋养细胞坏死。研究表明,SP与感染的临床严重程度无关,但在破坏性病变影响超过75%的胎盘组织导致胎盘功能不全和胎儿严重缺氧缺血性损伤的情况下,SP与死产有关。在一部分病例中,母体血栓病和SP之间存在关联,这表明感染和凝血缺陷级联的协同作用是受影响胎盘中纤维蛋白病理性积累的机制之一。在大约40%的SP病例中,病毒从胎儿组织中扩增,但使用ISH或IHC证实明确的胎儿受累极为罕见。在没有明确或可能的胎盘感染的情况下,sars - cov -2阳性妇女的胎盘病理还包括与胎盘灌注不良相关的慢性病变。COVID-19患者胎盘血管灌注不良的直接病毒病因尚存在争议,常见的易感性(高血压、糖尿病和肥胖)可能起作用。
本文章由计算机程序翻译,如有差异,请以英文原文为准。

SARS-CoV-2 Infection in Late Pregnancy and Childbirth from the Perspective of Perinatal Pathology.

SARS-CoV-2 Infection in Late Pregnancy and Childbirth from the Perspective of Perinatal Pathology.

SARS-CoV-2 Infection in Late Pregnancy and Childbirth from the Perspective of Perinatal Pathology.

This review focuses on SARS-CoV-2 infection in placental and fetal tissues. Viremia is rare in infected pregnant women, and the virus is seldom amplified from placental tissues. Definite and probable placental infection requires the demonstration of viral RNA or proteins using in situ hybridization (ISH) and immunohistochemistry (IHC). Small subsets (1.0-7.9%, median 2.8%) of placentas of SARS-CoV-2-positive women showed definite infection accompanied by a characteristic histopathology named SARS-CoV-2 placentitis (SP). The conventionally accepted histopathological criteria for SP include the triad of intervillositis, perivillous fibrin deposition, and trophoblast necrosis. SP was shown to be independent of the clinical severity of the infection, but associated with stillbirth in cases where destructive lesions affecting more than 75% of the placental tissue resulted in placental insufficiency and severe fetal hypoxic-ischemic injury. An association between maternal thrombophilia and SP was shown in a subset of cases, suggesting a synergy of the infection and deficient coagulation cascade as one of the mechanisms of the pathologic accumulation of fibrin in affected placentas. The virus was amplified from fetal tissues in approximately 40% of SP cases, but definite fetal involvement demonstrated using ISH or IHC is exceptionally rare. The placental pathology in SARS-CoV-2-positive women also includes chronic lesions associated with placental malperfusion in the absence of definite or probable placental infection. The direct viral causation of the vascular malperfusion of the placenta in COVID-19 is debatable, and common predispositions (hypertension, diabetes, and obesity) may play a role.

求助全文
通过发布文献求助,成功后即可免费获取论文全文。 去求助
来源期刊
Journal of Developmental Biology
Journal of Developmental Biology Biochemistry, Genetics and Molecular Biology-Developmental Biology
CiteScore
4.10
自引率
18.50%
发文量
44
审稿时长
11 weeks
期刊介绍: The Journal of Developmental Biology (ISSN 2221-3759) is an international, peer-reviewed, quick-refereeing, open access journal, which publishes reviews, research papers and communications on the development of multicellular organisms at the molecule, cell, tissue, organ and whole organism levels. Our aim is to encourage researchers to effortlessly publish their new findings or concepts rapidly in an open access medium, overseen by their peers. There is no restriction on the length of the papers; the full experimental details must be provided so that the results can be reproduced. Electronic files regarding the full details of the experimental procedure, if unable to be published in a normal way, can be deposited as supplementary material. Journal of Developmental Biology focuses on: -Development mechanisms and genetics -Cell differentiation -Embryonal development -Tissue/organism growth -Metamorphosis and regeneration of the organisms. It involves many biological fields, such as Molecular biology, Genetics, Physiology, Cell biology, Anatomy, Embryology, Cancer research, Neurobiology, Immunology, Ecology, Evolutionary biology.
×
引用
GB/T 7714-2015
复制
MLA
复制
APA
复制
导出至
BibTeX EndNote RefMan NoteFirst NoteExpress
×
提示
您的信息不完整,为了账户安全,请先补充。
现在去补充
×
提示
您因"违规操作"
具体请查看互助需知
我知道了
×
提示
确定
请完成安全验证×
copy
已复制链接
快去分享给好友吧!
我知道了
右上角分享
点击右上角分享
0
联系我们:info@booksci.cn Book学术提供免费学术资源搜索服务,方便国内外学者检索中英文文献。致力于提供最便捷和优质的服务体验。 Copyright © 2023 布克学术 All rights reserved.
京ICP备2023020795号-1
ghs 京公网安备 11010802042870号
Book学术文献互助
Book学术文献互助群
群 号:604180095
Book学术官方微信