儿童运动员骨化性肌炎的个案研究。

Q3 Health Professions
R Sapire, R Nenova, P Gounder, A Rampersad, V Maboho, N Nhlapo, K Tibatshi, S Rampurtab, A I Ranchod, R T Saggers, J Patricios
{"title":"儿童运动员骨化性肌炎的个案研究。","authors":"R Sapire,&nbsp;R Nenova,&nbsp;P Gounder,&nbsp;A Rampersad,&nbsp;V Maboho,&nbsp;N Nhlapo,&nbsp;K Tibatshi,&nbsp;S Rampurtab,&nbsp;A I Ranchod,&nbsp;R T Saggers,&nbsp;J Patricios","doi":"10.17159/2078-516X/2022/v34i1a14931","DOIUrl":null,"url":null,"abstract":"<p><strong>Background: </strong>A 13-year-old female athlete presented with a painful lesion in her right buttock for which she had been receiving physiotherapy. It was keeping her from participating in sports.</p><p><strong>Aim: </strong>To report on a case of traumatic myositis ossificans in a child athlete - including the presentation, investigations, management, and outcome.</p><p><strong>Findings: </strong>Palpation of the right buttock indicated a tender mass. Investigation by musculoskeletal ultrasound detected a large hypoechoic lesion. An MRI revealed patterns of calcification that were inconclusive in differentiating between a malignant or benign lesion. Macroscopic and microscopic histological examination, as well as immunohistochemistry, were consistent with myositis ossificans (MO), a non-malignant condition. The patient improved remarkably within three months of treatment with rest, non-steroidal anti-inflammatory drugs (NSAIDs) and extracorporeal shock wave therapy (ESWT).</p><p><strong>Implications: </strong>Accurate differentiation of myositis ossificans from other benign and malignant soft tissue lesions may require histological evaluation in addition to a comprehensive radiological workup. Successful treatment with the patient being able to return to a pain-free and active state is achievable. Extracorporeal shock-wave therapy can play an important role in the management of this condition and should be considered when presented with a case of MO.</p>","PeriodicalId":31065,"journal":{"name":"South African Journal of Sports Medicine","volume":"34 1","pages":"v34i1a14931"},"PeriodicalIF":0.0000,"publicationDate":"2022-01-01","publicationTypes":"Journal Article","fieldsOfStudy":null,"isOpenAccess":false,"openAccessPdf":"https://www.ncbi.nlm.nih.gov/pmc/articles/PMC9924576/pdf/","citationCount":"0","resultStr":"{\"title\":\"Myositis ossificans in a child athlete: a case study.\",\"authors\":\"R Sapire,&nbsp;R Nenova,&nbsp;P Gounder,&nbsp;A Rampersad,&nbsp;V Maboho,&nbsp;N Nhlapo,&nbsp;K Tibatshi,&nbsp;S Rampurtab,&nbsp;A I Ranchod,&nbsp;R T Saggers,&nbsp;J Patricios\",\"doi\":\"10.17159/2078-516X/2022/v34i1a14931\",\"DOIUrl\":null,\"url\":null,\"abstract\":\"<p><strong>Background: </strong>A 13-year-old female athlete presented with a painful lesion in her right buttock for which she had been receiving physiotherapy. It was keeping her from participating in sports.</p><p><strong>Aim: </strong>To report on a case of traumatic myositis ossificans in a child athlete - including the presentation, investigations, management, and outcome.</p><p><strong>Findings: </strong>Palpation of the right buttock indicated a tender mass. Investigation by musculoskeletal ultrasound detected a large hypoechoic lesion. An MRI revealed patterns of calcification that were inconclusive in differentiating between a malignant or benign lesion. Macroscopic and microscopic histological examination, as well as immunohistochemistry, were consistent with myositis ossificans (MO), a non-malignant condition. The patient improved remarkably within three months of treatment with rest, non-steroidal anti-inflammatory drugs (NSAIDs) and extracorporeal shock wave therapy (ESWT).</p><p><strong>Implications: </strong>Accurate differentiation of myositis ossificans from other benign and malignant soft tissue lesions may require histological evaluation in addition to a comprehensive radiological workup. Successful treatment with the patient being able to return to a pain-free and active state is achievable. Extracorporeal shock-wave therapy can play an important role in the management of this condition and should be considered when presented with a case of MO.</p>\",\"PeriodicalId\":31065,\"journal\":{\"name\":\"South African Journal of Sports Medicine\",\"volume\":\"34 1\",\"pages\":\"v34i1a14931\"},\"PeriodicalIF\":0.0000,\"publicationDate\":\"2022-01-01\",\"publicationTypes\":\"Journal Article\",\"fieldsOfStudy\":null,\"isOpenAccess\":false,\"openAccessPdf\":\"https://www.ncbi.nlm.nih.gov/pmc/articles/PMC9924576/pdf/\",\"citationCount\":\"0\",\"resultStr\":null,\"platform\":\"Semanticscholar\",\"paperid\":null,\"PeriodicalName\":\"South African Journal of Sports Medicine\",\"FirstCategoryId\":\"1085\",\"ListUrlMain\":\"https://doi.org/10.17159/2078-516X/2022/v34i1a14931\",\"RegionNum\":0,\"RegionCategory\":null,\"ArticlePicture\":[],\"TitleCN\":null,\"AbstractTextCN\":null,\"PMCID\":null,\"EPubDate\":\"\",\"PubModel\":\"\",\"JCR\":\"Q3\",\"JCRName\":\"Health Professions\",\"Score\":null,\"Total\":0}","platform":"Semanticscholar","paperid":null,"PeriodicalName":"South African Journal of Sports Medicine","FirstCategoryId":"1085","ListUrlMain":"https://doi.org/10.17159/2078-516X/2022/v34i1a14931","RegionNum":0,"RegionCategory":null,"ArticlePicture":[],"TitleCN":null,"AbstractTextCN":null,"PMCID":null,"EPubDate":"","PubModel":"","JCR":"Q3","JCRName":"Health Professions","Score":null,"Total":0}
引用次数: 0

摘要

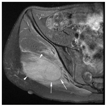
背景:一名13岁的女运动员因右臀部疼痛病变而接受物理治疗。这让她无法参加体育活动。目的:报告一例儿童运动员外伤性骨化性肌炎的表现、调查、治疗和结果。结果:右臀部触诊发现一压痛肿块。肌肉骨骼超声检查发现一个大的低回声病变。MRI显示钙化的模式,不能确定是恶性病变还是良性病变。宏观和微观组织学检查,以及免疫组织化学,符合骨化性肌炎(MO),一种非恶性疾病。患者在休息、非甾体抗炎药(NSAIDs)和体外冲击波治疗(ESWT)三个月内明显改善。意义:准确区分骨化性肌炎与其他良性和恶性软组织病变可能需要组织学评估和全面的放射检查。成功的治疗使患者能够回到无痛和活跃的状态是可以实现的。体外冲击波治疗在这种情况下可以发挥重要作用,当出现MO病例时应考虑体外冲击波治疗。
本文章由计算机程序翻译,如有差异,请以英文原文为准。

Myositis ossificans in a child athlete: a case study.

Myositis ossificans in a child athlete: a case study.

Myositis ossificans in a child athlete: a case study.

Myositis ossificans in a child athlete: a case study.

Background: A 13-year-old female athlete presented with a painful lesion in her right buttock for which she had been receiving physiotherapy. It was keeping her from participating in sports.

Aim: To report on a case of traumatic myositis ossificans in a child athlete - including the presentation, investigations, management, and outcome.

Findings: Palpation of the right buttock indicated a tender mass. Investigation by musculoskeletal ultrasound detected a large hypoechoic lesion. An MRI revealed patterns of calcification that were inconclusive in differentiating between a malignant or benign lesion. Macroscopic and microscopic histological examination, as well as immunohistochemistry, were consistent with myositis ossificans (MO), a non-malignant condition. The patient improved remarkably within three months of treatment with rest, non-steroidal anti-inflammatory drugs (NSAIDs) and extracorporeal shock wave therapy (ESWT).

Implications: Accurate differentiation of myositis ossificans from other benign and malignant soft tissue lesions may require histological evaluation in addition to a comprehensive radiological workup. Successful treatment with the patient being able to return to a pain-free and active state is achievable. Extracorporeal shock-wave therapy can play an important role in the management of this condition and should be considered when presented with a case of MO.

求助全文
通过发布文献求助,成功后即可免费获取论文全文。 去求助
来源期刊
CiteScore
1.30
自引率
0.00%
发文量
30
审稿时长
12 weeks
×
引用
GB/T 7714-2015
复制
MLA
复制
APA
复制
导出至
BibTeX EndNote RefMan NoteFirst NoteExpress
×
提示
您的信息不完整,为了账户安全,请先补充。
现在去补充
×
提示
您因"违规操作"
具体请查看互助需知
我知道了
×
提示
确定
请完成安全验证×
copy
已复制链接
快去分享给好友吧!
我知道了
右上角分享
点击右上角分享
0
联系我们:info@booksci.cn Book学术提供免费学术资源搜索服务,方便国内外学者检索中英文文献。致力于提供最便捷和优质的服务体验。 Copyright © 2023 布克学术 All rights reserved.
京ICP备2023020795号-1
ghs 京公网安备 11010802042870号
Book学术文献互助
Book学术文献互助群
群 号:604180095
Book学术官方微信