新近退役的男性职业足球运动员膝关节的骨关节炎变化:一项试点研究。

Q3 Health Professions
S Carmody, H Aoki, O Kilic, M Maas, A Massey, G M Kerkhoffs, V Gouttebarge
{"title":"新近退役的男性职业足球运动员膝关节的骨关节炎变化:一项试点研究。","authors":"S Carmody, H Aoki, O Kilic, M Maas, A Massey, G M Kerkhoffs, V Gouttebarge","doi":"10.17159/2078-516X/2022/v34i1a12816","DOIUrl":null,"url":null,"abstract":"<p><strong>Background: </strong>Knee osteoarthritis (OA) is common amongst retired male professional footballers. There is limited understanding with respect to the interplay between imaging findings, clinical presentation and patient-reported outcome measures (PROMs) in retired professional footballers with knee OA.</p><p><strong>Objectives: </strong>This pilot study aimed to evaluate the extent of radiological and clinical knee OA in a cohort of retired male professional footballers, and to explore the relationship between these findings and knee-related PROMs.</p><p><strong>Methods: </strong>Fifteen retired male professional footballers underwent knee radiographs and were surveyed on their history of clinical OA, severe knee injury and previous knee surgery. The Knee Injury and Osteoarthritis Outcome Score Physical Function Short Form (KOOS-PS) and the Patient-Reported Outcomes Measurement Information System Global Health (PROMIS-GH) were used to assess health outcomes, such as level of function and pain.</p><p><strong>Results: </strong>Radiological knee OA was diagnosed in six out of 15 participants. Seven of the participants had a clinical diagnosis of knee OA. Evidence of clinical and radiological OA was present amongst four participants. Radiological knee OA and clinical OA was significantly associated with a history of severe knee injury and previous knee surgery. Low correlations (ρ<-0.40) were found between knee OA severity and knee-related PROMs. Moderate correlation (ρ=-0.65) was found between clinical knee OA and KOOS-SP.</p><p><strong>Conclusion: </strong>Clinical knee OA correlates with PROMs amongst retired professional footballers but radiological OA does not. Further studies are required to understand the relationship between imaging findings, clinical presentation and PROMs amongst retired professional footballers with knee OA.</p>","PeriodicalId":31065,"journal":{"name":"South African Journal of Sports Medicine","volume":"34 1","pages":"v34i1a12816"},"PeriodicalIF":0.0000,"publicationDate":"2022-01-01","publicationTypes":"Journal Article","fieldsOfStudy":null,"isOpenAccess":false,"openAccessPdf":"https://www.ncbi.nlm.nih.gov/pmc/articles/PMC9924553/pdf/","citationCount":"0","resultStr":"{\"title\":\"Osteoarthritic changes in the knees of recently retired male professional footballers: a pilot study.\",\"authors\":\"S Carmody, H Aoki, O Kilic, M Maas, A Massey, G M Kerkhoffs, V Gouttebarge\",\"doi\":\"10.17159/2078-516X/2022/v34i1a12816\",\"DOIUrl\":null,\"url\":null,\"abstract\":\"<p><strong>Background: </strong>Knee osteoarthritis (OA) is common amongst retired male professional footballers. There is limited understanding with respect to the interplay between imaging findings, clinical presentation and patient-reported outcome measures (PROMs) in retired professional footballers with knee OA.</p><p><strong>Objectives: </strong>This pilot study aimed to evaluate the extent of radiological and clinical knee OA in a cohort of retired male professional footballers, and to explore the relationship between these findings and knee-related PROMs.</p><p><strong>Methods: </strong>Fifteen retired male professional footballers underwent knee radiographs and were surveyed on their history of clinical OA, severe knee injury and previous knee surgery. The Knee Injury and Osteoarthritis Outcome Score Physical Function Short Form (KOOS-PS) and the Patient-Reported Outcomes Measurement Information System Global Health (PROMIS-GH) were used to assess health outcomes, such as level of function and pain.</p><p><strong>Results: </strong>Radiological knee OA was diagnosed in six out of 15 participants. Seven of the participants had a clinical diagnosis of knee OA. Evidence of clinical and radiological OA was present amongst four participants. Radiological knee OA and clinical OA was significantly associated with a history of severe knee injury and previous knee surgery. Low correlations (ρ<-0.40) were found between knee OA severity and knee-related PROMs. Moderate correlation (ρ=-0.65) was found between clinical knee OA and KOOS-SP.</p><p><strong>Conclusion: </strong>Clinical knee OA correlates with PROMs amongst retired professional footballers but radiological OA does not. Further studies are required to understand the relationship between imaging findings, clinical presentation and PROMs amongst retired professional footballers with knee OA.</p>\",\"PeriodicalId\":31065,\"journal\":{\"name\":\"South African Journal of Sports Medicine\",\"volume\":\"34 1\",\"pages\":\"v34i1a12816\"},\"PeriodicalIF\":0.0000,\"publicationDate\":\"2022-01-01\",\"publicationTypes\":\"Journal Article\",\"fieldsOfStudy\":null,\"isOpenAccess\":false,\"openAccessPdf\":\"https://www.ncbi.nlm.nih.gov/pmc/articles/PMC9924553/pdf/\",\"citationCount\":\"0\",\"resultStr\":null,\"platform\":\"Semanticscholar\",\"paperid\":null,\"PeriodicalName\":\"South African Journal of Sports Medicine\",\"FirstCategoryId\":\"1085\",\"ListUrlMain\":\"https://doi.org/10.17159/2078-516X/2022/v34i1a12816\",\"RegionNum\":0,\"RegionCategory\":null,\"ArticlePicture\":[],\"TitleCN\":null,\"AbstractTextCN\":null,\"PMCID\":null,\"EPubDate\":\"\",\"PubModel\":\"\",\"JCR\":\"Q3\",\"JCRName\":\"Health Professions\",\"Score\":null,\"Total\":0}","platform":"Semanticscholar","paperid":null,"PeriodicalName":"South African Journal of Sports Medicine","FirstCategoryId":"1085","ListUrlMain":"https://doi.org/10.17159/2078-516X/2022/v34i1a12816","RegionNum":0,"RegionCategory":null,"ArticlePicture":[],"TitleCN":null,"AbstractTextCN":null,"PMCID":null,"EPubDate":"","PubModel":"","JCR":"Q3","JCRName":"Health Professions","Score":null,"Total":0}
引用次数: 0

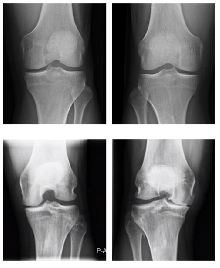
摘要

背景:膝关节骨关节炎(OA)在退役的男性职业足球运动员中很常见。人们对患有膝关节 OA 的退役职业足球运动员的影像学检查结果、临床表现和患者报告结果指标(PROMs)之间的相互作用了解有限:这项试验性研究旨在评估一批退役男性职业足球运动员膝关节OA的影像学和临床程度,并探讨这些结果与膝关节相关PROMs之间的关系:15名退役的男性职业足球运动员接受了膝关节X光检查,并对他们的临床OA病史、严重膝关节损伤和既往膝关节手术史进行了调查。膝关节损伤和骨关节炎结果评分生理功能简表(KOOS-PS)和患者报告结果测量信息系统全球健康(PROMIS-GH)用于评估健康结果,如功能和疼痛水平:结果:15 名参与者中有 6 人被诊断出患有膝关节放射学 OA。其中 7 名参与者被临床诊断为膝关节 OA。四名参与者有临床和放射学 OA 的证据。膝关节放射学 OA 和临床 OA 与严重膝关节损伤史和既往膝关节手术史明显相关。低相关性(ρ结论:在退役的职业足球运动员中,临床膝关节 OA 与 PROMs 有相关性,但放射学 OA 却没有。要了解患有膝关节 OA 的退役职业足球运动员的成像结果、临床表现和 PROMs 之间的关系,还需要进一步的研究。
本文章由计算机程序翻译,如有差异,请以英文原文为准。

Osteoarthritic changes in the knees of recently retired male professional footballers: a pilot study.

Osteoarthritic changes in the knees of recently retired male professional footballers: a pilot study.

Background: Knee osteoarthritis (OA) is common amongst retired male professional footballers. There is limited understanding with respect to the interplay between imaging findings, clinical presentation and patient-reported outcome measures (PROMs) in retired professional footballers with knee OA.

Objectives: This pilot study aimed to evaluate the extent of radiological and clinical knee OA in a cohort of retired male professional footballers, and to explore the relationship between these findings and knee-related PROMs.

Methods: Fifteen retired male professional footballers underwent knee radiographs and were surveyed on their history of clinical OA, severe knee injury and previous knee surgery. The Knee Injury and Osteoarthritis Outcome Score Physical Function Short Form (KOOS-PS) and the Patient-Reported Outcomes Measurement Information System Global Health (PROMIS-GH) were used to assess health outcomes, such as level of function and pain.

Results: Radiological knee OA was diagnosed in six out of 15 participants. Seven of the participants had a clinical diagnosis of knee OA. Evidence of clinical and radiological OA was present amongst four participants. Radiological knee OA and clinical OA was significantly associated with a history of severe knee injury and previous knee surgery. Low correlations (ρ<-0.40) were found between knee OA severity and knee-related PROMs. Moderate correlation (ρ=-0.65) was found between clinical knee OA and KOOS-SP.

Conclusion: Clinical knee OA correlates with PROMs amongst retired professional footballers but radiological OA does not. Further studies are required to understand the relationship between imaging findings, clinical presentation and PROMs amongst retired professional footballers with knee OA.

求助全文
通过发布文献求助,成功后即可免费获取论文全文。 去求助
来源期刊
CiteScore
1.30
自引率
0.00%
发文量
30
审稿时长
12 weeks
×
引用
GB/T 7714-2015
复制
MLA
复制
APA
复制
导出至
BibTeX EndNote RefMan NoteFirst NoteExpress
×
提示
您的信息不完整,为了账户安全,请先补充。
现在去补充
×
提示
您因"违规操作"
具体请查看互助需知
我知道了
×
提示
确定
请完成安全验证×
copy
已复制链接
快去分享给好友吧!
我知道了
右上角分享
点击右上角分享
0
联系我们:info@booksci.cn Book学术提供免费学术资源搜索服务,方便国内外学者检索中英文文献。致力于提供最便捷和优质的服务体验。 Copyright © 2023 布克学术 All rights reserved.
京ICP备2023020795号-1
ghs 京公网安备 11010802042870号
Book学术文献互助
Book学术文献互助群
群 号:604180095
Book学术官方微信