皮质刷状征:急性脑梗塞和脑静脉血栓形成时薄层 3T 感度加权成像的新发现

IF 3.2 3区 医学 Q2 RADIOLOGY, NUCLEAR MEDICINE & MEDICAL IMAGING
Magnetic Resonance in Medical Sciences Pub Date : 2024-04-01 Epub Date: 2023-01-24 DOI:10.2463/mrms.bc.2022-0120
Seiya Kishi, Masayuki Maeda, Fumine Tanaka, Ryota Kogue, Maki Umino, Hajime Sakuma
{"title":"皮质刷状征:急性脑梗塞和脑静脉血栓形成时薄层 3T 感度加权成像的新发现","authors":"Seiya Kishi, Masayuki Maeda, Fumine Tanaka, Ryota Kogue, Maki Umino, Hajime Sakuma","doi":"10.2463/mrms.bc.2022-0120","DOIUrl":null,"url":null,"abstract":"<p><p>We observed a new SWI finding, \"cortical brush sign,\" that represents prominent venous structures in the cortex of patients with acute cerebral infarct with or without moyamoya disease and cerebral venous thrombosis. The cortical brush sign disappeared on follow-up SWI in all cases. Cortical brush sign may help to understand the pathophysiology of venous structures in the cortex at acute phase.</p>","PeriodicalId":18119,"journal":{"name":"Magnetic Resonance in Medical Sciences","volume":" ","pages":"238-241"},"PeriodicalIF":3.2000,"publicationDate":"2024-04-01","publicationTypes":"Journal Article","fieldsOfStudy":null,"isOpenAccess":false,"openAccessPdf":"https://www.ncbi.nlm.nih.gov/pmc/articles/PMC11024716/pdf/","citationCount":"0","resultStr":"{\"title\":\"Cortical Brush Sign: A Novel Finding on Thin-slice 3T Susceptibility-weighted Imaging in Acute Cerebral Infarct and Cerebral Venous Thrombosis.\",\"authors\":\"Seiya Kishi, Masayuki Maeda, Fumine Tanaka, Ryota Kogue, Maki Umino, Hajime Sakuma\",\"doi\":\"10.2463/mrms.bc.2022-0120\",\"DOIUrl\":null,\"url\":null,\"abstract\":\"<p><p>We observed a new SWI finding, \\\"cortical brush sign,\\\" that represents prominent venous structures in the cortex of patients with acute cerebral infarct with or without moyamoya disease and cerebral venous thrombosis. The cortical brush sign disappeared on follow-up SWI in all cases. Cortical brush sign may help to understand the pathophysiology of venous structures in the cortex at acute phase.</p>\",\"PeriodicalId\":18119,\"journal\":{\"name\":\"Magnetic Resonance in Medical Sciences\",\"volume\":\" \",\"pages\":\"238-241\"},\"PeriodicalIF\":3.2000,\"publicationDate\":\"2024-04-01\",\"publicationTypes\":\"Journal Article\",\"fieldsOfStudy\":null,\"isOpenAccess\":false,\"openAccessPdf\":\"https://www.ncbi.nlm.nih.gov/pmc/articles/PMC11024716/pdf/\",\"citationCount\":\"0\",\"resultStr\":null,\"platform\":\"Semanticscholar\",\"paperid\":null,\"PeriodicalName\":\"Magnetic Resonance in Medical Sciences\",\"FirstCategoryId\":\"3\",\"ListUrlMain\":\"https://doi.org/10.2463/mrms.bc.2022-0120\",\"RegionNum\":3,\"RegionCategory\":\"医学\",\"ArticlePicture\":[],\"TitleCN\":null,\"AbstractTextCN\":null,\"PMCID\":null,\"EPubDate\":\"2023/1/24 0:00:00\",\"PubModel\":\"Epub\",\"JCR\":\"Q2\",\"JCRName\":\"RADIOLOGY, NUCLEAR MEDICINE & MEDICAL IMAGING\",\"Score\":null,\"Total\":0}","platform":"Semanticscholar","paperid":null,"PeriodicalName":"Magnetic Resonance in Medical Sciences","FirstCategoryId":"3","ListUrlMain":"https://doi.org/10.2463/mrms.bc.2022-0120","RegionNum":3,"RegionCategory":"医学","ArticlePicture":[],"TitleCN":null,"AbstractTextCN":null,"PMCID":null,"EPubDate":"2023/1/24 0:00:00","PubModel":"Epub","JCR":"Q2","JCRName":"RADIOLOGY, NUCLEAR MEDICINE & MEDICAL IMAGING","Score":null,"Total":0}
引用次数: 0

摘要

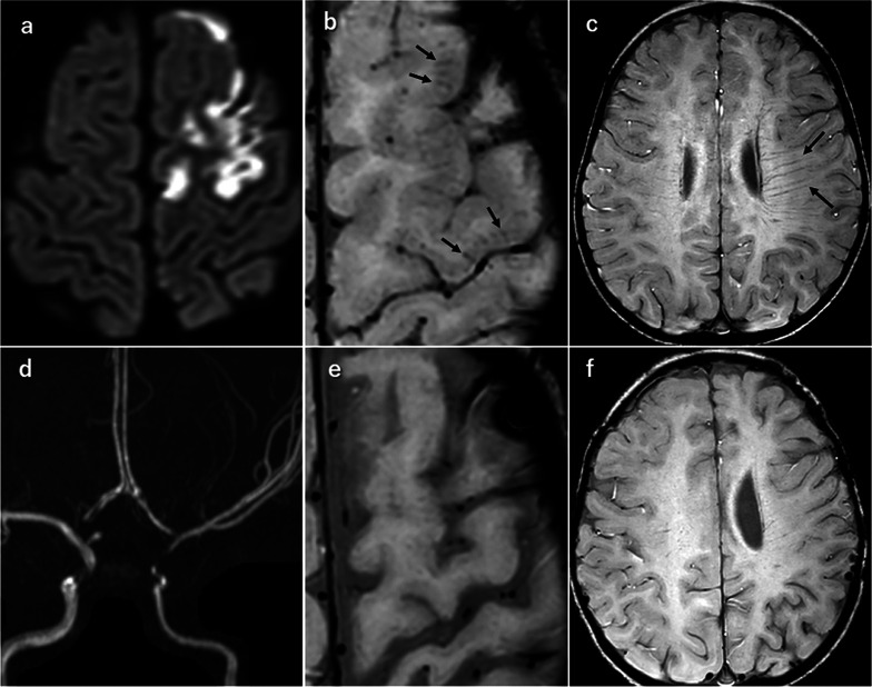
我们观察到一种新的 SWI 发现--"皮质刷状征",它代表了急性脑梗塞患者皮质中突出的静脉结构,无论患者是否患有莫亚莫亚病和脑静脉血栓形成。所有病例的皮质刷状征均在后续的 SWI 检查中消失。皮质刷状征有助于了解急性期皮质静脉结构的病理生理学。
本文章由计算机程序翻译,如有差异,请以英文原文为准。

Cortical Brush Sign: A Novel Finding on Thin-slice 3T Susceptibility-weighted Imaging in Acute Cerebral Infarct and Cerebral Venous Thrombosis.

Cortical Brush Sign: A Novel Finding on Thin-slice 3T Susceptibility-weighted Imaging in Acute Cerebral Infarct and Cerebral Venous Thrombosis.

Cortical Brush Sign: A Novel Finding on Thin-slice 3T Susceptibility-weighted Imaging in Acute Cerebral Infarct and Cerebral Venous Thrombosis.

We observed a new SWI finding, "cortical brush sign," that represents prominent venous structures in the cortex of patients with acute cerebral infarct with or without moyamoya disease and cerebral venous thrombosis. The cortical brush sign disappeared on follow-up SWI in all cases. Cortical brush sign may help to understand the pathophysiology of venous structures in the cortex at acute phase.

求助全文
通过发布文献求助,成功后即可免费获取论文全文。 去求助
来源期刊
Magnetic Resonance in Medical Sciences
Magnetic Resonance in Medical Sciences RADIOLOGY, NUCLEAR MEDICINE & MEDICAL IMAGING-
CiteScore
5.80
自引率
20.00%
发文量
71
审稿时长
>12 weeks
期刊介绍: Magnetic Resonance in Medical Sciences (MRMS or Magn Reson Med Sci) is an international journal pursuing the publication of original articles contributing to the progress of magnetic resonance in the field of biomedical sciences including technical developments and clinical applications. MRMS is an official journal of the Japanese Society for Magnetic Resonance in Medicine (JSMRM).
×
引用
GB/T 7714-2015
复制
MLA
复制
APA
复制
导出至
BibTeX EndNote RefMan NoteFirst NoteExpress
×
提示
您的信息不完整,为了账户安全,请先补充。
现在去补充
×
提示
您因"违规操作"
具体请查看互助需知
我知道了
×
提示
确定
请完成安全验证×
copy
已复制链接
快去分享给好友吧!
我知道了
右上角分享
点击右上角分享
0
联系我们:info@booksci.cn Book学术提供免费学术资源搜索服务,方便国内外学者检索中英文文献。致力于提供最便捷和优质的服务体验。 Copyright © 2023 布克学术 All rights reserved.
京ICP备2023020795号-1
ghs 京公网安备 11010802042870号
Book学术文献互助
Book学术文献互助群
群 号:604180095
Book学术官方微信