Skull-base temporal encephalocele: Hidden cause of temporal lobe epilepsy.

IF 1.2 4区 医学 Q3 MEDICINE, GENERAL & INTERNAL
Journal of Postgraduate Medicine Pub Date : 2024-04-01 Epub Date: 2023-08-04 DOI:10.4103/jpgm.jpgm_354_22
R Pillai, A Chheda, S Agrawal, S Ravat, S Sankhe, D Muzumdar
{"title":"Skull-base temporal encephalocele: Hidden cause of temporal lobe epilepsy.","authors":"R Pillai, A Chheda, S Agrawal, S Ravat, S Sankhe, D Muzumdar","doi":"10.4103/jpgm.jpgm_354_22","DOIUrl":null,"url":null,"abstract":"<p><strong>Abstract: </strong>In the present study patients with previously diagnosed MRI-negative temporal lobe epilepsy (TLE) on long-term video electroencephalography (VEEG) monitoring were re-evaluated with high resolution 3T MRI brain to look out for a skull base temporal lobe encephalocoele (TE). A total of 234 VEEGs were analyzed. TLE had been diagnosed in 104 patients based on semiology, ictal, interictal EEG data, and brain positron emission tomography (PET) studies. Of these, 99 patients had temporal lobe abnormality (78 had mesial temporal sclerosis, 8 had tumor, 3 had focal cortical dysplasia, and 10 had mixed pathology). Out of the five 1.5T MRI-negative TLE patients, two patients were diagnosed with TE on subsequent 3T MRI brain scans and one patient underwent electrocorticography-guided tailored resection for complete removal of epileptogenic tissue; with Engels class I seizure freedom at one year follow-up. We propose that TE should be carefully searched for, as a cause of refractory TLE, using high-resolution MRI sequences.</p>","PeriodicalId":16860,"journal":{"name":"Journal of Postgraduate Medicine","volume":" ","pages":"97-100"},"PeriodicalIF":1.2000,"publicationDate":"2024-04-01","publicationTypes":"Journal Article","fieldsOfStudy":null,"isOpenAccess":false,"openAccessPdf":"https://www.ncbi.nlm.nih.gov/pmc/articles/PMC11160986/pdf/","citationCount":"0","resultStr":null,"platform":"Semanticscholar","paperid":null,"PeriodicalName":"Journal of Postgraduate Medicine","FirstCategoryId":"3","ListUrlMain":"https://doi.org/10.4103/jpgm.jpgm_354_22","RegionNum":4,"RegionCategory":"医学","ArticlePicture":[],"TitleCN":null,"AbstractTextCN":null,"PMCID":null,"EPubDate":"2023/8/4 0:00:00","PubModel":"Epub","JCR":"Q3","JCRName":"MEDICINE, GENERAL & INTERNAL","Score":null,"Total":0}
引用次数: 0

Abstract

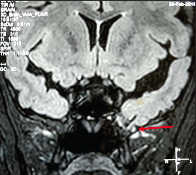
Abstract: In the present study patients with previously diagnosed MRI-negative temporal lobe epilepsy (TLE) on long-term video electroencephalography (VEEG) monitoring were re-evaluated with high resolution 3T MRI brain to look out for a skull base temporal lobe encephalocoele (TE). A total of 234 VEEGs were analyzed. TLE had been diagnosed in 104 patients based on semiology, ictal, interictal EEG data, and brain positron emission tomography (PET) studies. Of these, 99 patients had temporal lobe abnormality (78 had mesial temporal sclerosis, 8 had tumor, 3 had focal cortical dysplasia, and 10 had mixed pathology). Out of the five 1.5T MRI-negative TLE patients, two patients were diagnosed with TE on subsequent 3T MRI brain scans and one patient underwent electrocorticography-guided tailored resection for complete removal of epileptogenic tissue; with Engels class I seizure freedom at one year follow-up. We propose that TE should be carefully searched for, as a cause of refractory TLE, using high-resolution MRI sequences.

Abstract Image

Abstract Image

Abstract Image

颅底颞叶脑瘤:颞叶癫痫的隐藏病因。
摘要:在本研究中,通过高分辨率 3T 磁共振成像脑部重新评估了之前经长期视频脑电图(VEEG)监测确诊为 MRI 阴性的颞叶癫痫(TLE)患者,以寻找颅底颞叶脑痫(TE)。共分析了 234 个 VEEG。根据符号学、发作期、发作间期脑电图数据和脑正电子发射断层扫描(PET)研究,104 名患者被诊断为 TLE。其中,99 名患者的颞叶出现异常(78 人颞中叶硬化,8 人肿瘤,3 人局灶性皮质发育不良,10 人混合病理)。在5例1.5T磁共振成像阴性的TLE患者中,有2例患者在随后的3T磁共振成像脑扫描中被诊断为TE,1例患者接受了皮质电图引导下的定制切除术,彻底清除了致痫组织;随访一年后,患者获得了恩格尔斯Ⅰ级癫痫发作自由。我们建议使用高分辨率磁共振成像序列仔细寻找 TE,将其作为难治性 TLE 的病因。
本文章由计算机程序翻译,如有差异,请以英文原文为准。
求助全文
约1分钟内获得全文 求助全文
来源期刊
Journal of Postgraduate Medicine
Journal of Postgraduate Medicine 医学-医学:内科
CiteScore
2.00
自引率
0.00%
发文量
76
审稿时长
40 weeks
期刊介绍: The journal will cover technical, clinical and bioengineering studies related to human well being including ethical and social issues. The journal gives preference to clinically oriented studies over experimental and animal studies. The Journal would publish peer-reviewed original research papers, case reports, systematic reviews, meta-analysis, and debates.
×
引用
GB/T 7714-2015
复制
MLA
复制
APA
复制
导出至
BibTeX EndNote RefMan NoteFirst NoteExpress
×
提示
您的信息不完整,为了账户安全,请先补充。
现在去补充
×
提示
您因"违规操作"
具体请查看互助需知
我知道了
×
提示
确定
请完成安全验证×
copy
已复制链接
快去分享给好友吧!
我知道了
右上角分享
点击右上角分享
0
联系我们:info@booksci.cn Book学术提供免费学术资源搜索服务,方便国内外学者检索中英文文献。致力于提供最便捷和优质的服务体验。 Copyright © 2023 布克学术 All rights reserved.
京ICP备2023020795号-1
ghs 京公网安备 11010802042870号
Book学术文献互助
Book学术文献互助群
群 号:604180095
Book学术官方微信