Celiac artery thrombosis presenting as acute abdomen.

IF 1.2 4区 医学 Q3 MEDICINE, GENERAL & INTERNAL
M Sharma, K Natarajan, A Mahesh Kumar, P Paramasivan
{"title":"Celiac artery thrombosis presenting as acute abdomen.","authors":"M Sharma, K Natarajan, A Mahesh Kumar, P Paramasivan","doi":"10.4103/jpgm.jpgm_331_23","DOIUrl":null,"url":null,"abstract":"<p><p>Mesenteric vascular thrombosis, typically of the superior mesenteric artery, is a frequent occurrence in patients with hypercoagulable conditions. Isolated involvement of the celiac artery is rare. Patients with celiac artery thrombosis can present with an acute abdomen or occasionally with acid peptic symptoms. A delay in diagnosis is associated with high rates of morbidity and mortality. We present a rare case of splenic infarction with celiac trunk thrombosis in a 54-year-old patient with underlying antiphospholipid (APLA) syndrome who presented with epigastric pain that was mistaken for symptoms of acid reflux.</p>","PeriodicalId":16860,"journal":{"name":"Journal of Postgraduate Medicine","volume":" ","pages":"234-236"},"PeriodicalIF":1.2000,"publicationDate":"2023-10-01","publicationTypes":"Journal Article","fieldsOfStudy":null,"isOpenAccess":false,"openAccessPdf":"https://www.ncbi.nlm.nih.gov/pmc/articles/PMC10846811/pdf/","citationCount":"0","resultStr":null,"platform":"Semanticscholar","paperid":null,"PeriodicalName":"Journal of Postgraduate Medicine","FirstCategoryId":"3","ListUrlMain":"https://doi.org/10.4103/jpgm.jpgm_331_23","RegionNum":4,"RegionCategory":"医学","ArticlePicture":[],"TitleCN":null,"AbstractTextCN":null,"PMCID":null,"EPubDate":"","PubModel":"","JCR":"Q3","JCRName":"MEDICINE, GENERAL & INTERNAL","Score":null,"Total":0}
引用次数: 0

Abstract

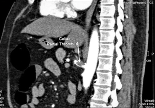
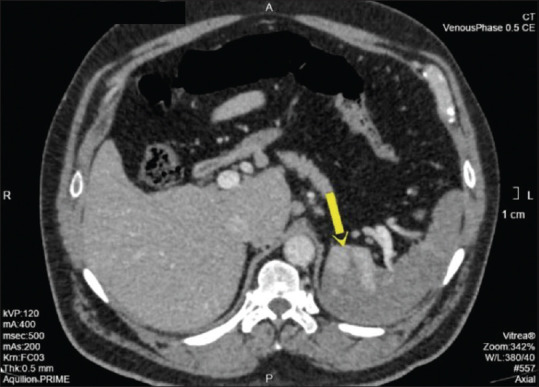
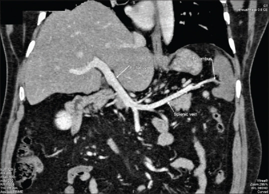
Mesenteric vascular thrombosis, typically of the superior mesenteric artery, is a frequent occurrence in patients with hypercoagulable conditions. Isolated involvement of the celiac artery is rare. Patients with celiac artery thrombosis can present with an acute abdomen or occasionally with acid peptic symptoms. A delay in diagnosis is associated with high rates of morbidity and mortality. We present a rare case of splenic infarction with celiac trunk thrombosis in a 54-year-old patient with underlying antiphospholipid (APLA) syndrome who presented with epigastric pain that was mistaken for symptoms of acid reflux.

Abstract Image

Abstract Image

Abstract Image

腹腔动脉血栓形成表现为急腹症。
肠系膜血管血栓形成,典型的是肠系膜上动脉,在高凝状态的患者中经常发生。腹腔动脉的孤立性受累是罕见的。腹腔动脉血栓形成患者可表现为急腹症或偶尔出现酸性消化性症状。诊断延迟与高发病率和死亡率有关。我们报告了一例罕见的脾梗死伴腹腔干血栓形成的54岁潜在抗磷脂(APLA)综合征患者,该患者表现为上腹痛,被误认为是胃酸倒流的症状。
本文章由计算机程序翻译,如有差异,请以英文原文为准。
求助全文
约1分钟内获得全文 求助全文
来源期刊
Journal of Postgraduate Medicine
Journal of Postgraduate Medicine 医学-医学:内科
CiteScore
2.00
自引率
0.00%
发文量
76
审稿时长
40 weeks
期刊介绍: The journal will cover technical, clinical and bioengineering studies related to human well being including ethical and social issues. The journal gives preference to clinically oriented studies over experimental and animal studies. The Journal would publish peer-reviewed original research papers, case reports, systematic reviews, meta-analysis, and debates.
×
引用
GB/T 7714-2015
复制
MLA
复制
APA
复制
导出至
BibTeX EndNote RefMan NoteFirst NoteExpress
×
提示
您的信息不完整,为了账户安全,请先补充。
现在去补充
×
提示
您因"违规操作"
具体请查看互助需知
我知道了
×
提示
确定
请完成安全验证×
copy
已复制链接
快去分享给好友吧!
我知道了
右上角分享
点击右上角分享
0
联系我们:info@booksci.cn Book学术提供免费学术资源搜索服务,方便国内外学者检索中英文文献。致力于提供最便捷和优质的服务体验。 Copyright © 2023 布克学术 All rights reserved.
京ICP备2023020795号-1
ghs 京公网安备 11010802042870号
Book学术文献互助
Book学术文献互助群
群 号:604180095
Book学术官方微信