Is it Possible to Obtain Immunofluorescence Data in Formalin-Fixed Paraffin-Embedded Skin Samples for the Diagnosis of Pemphigus Vulgaris and Bullous Pemphigoid.

IF 2.1 Q4 PATHOLOGY
Deniz Ates Ozdemir, Ozay Gokoz, Arzu Saglam
{"title":"Is it Possible to Obtain Immunofluorescence Data in Formalin-Fixed Paraffin-Embedded Skin Samples for the Diagnosis of Pemphigus Vulgaris and Bullous Pemphigoid.","authors":"Deniz Ates Ozdemir, Ozay Gokoz, Arzu Saglam","doi":"10.5146/tjpath.2023.01607","DOIUrl":null,"url":null,"abstract":"<p><strong>Objective: </strong>The gold-standard method for assessment of autoimmune bullous disease is direct/indirect immunofluorescence (IF) examination applied to fresh frozen tissue. Since the sensitivity of IF is greatly reduced in formalin-fixed paraffin-embedded (FFPE) tissues, IF cannot be relied upon in these samples. However, immunohistochemistry with the C4d antibody is a promising marker used as a surrogate for immune complex deposition, in nephropathology practice, and the paraffin IF method is also used as a `salvage` technique when fresh frozen tissue is not available or lacks glomeruli. We aimed to investigate whether it is possible to obtain immunofluorescence data from FFPE tissues diagnosed with bullous pemphigoid (BP) and pemphigus vulgaris (PV) and its relationship with inflammatory parameters in the skin.</p><p><strong>Material and methods: </strong>Eighty-nine in-house cases with both IgG and C3 positivity by routine immunofluorescence examination were included in the study. Inflammation parameters were evaluated in hematoxylin-eosin sections. Immunofluorescence study with IgG protease digestion and C4d immunohistochemistry were performed.</p><p><strong>Results: </strong>Results of 83 biopsies were obtained by paraffin immunofluorescence with IgG. There were positive reactions in 28 (34%) of these 83 biopsies. Five of the 28 positive results belonged to BP (18%), and 23 were PV (82%). Ten positive results were on lesional skin (36%), and 18 (64%) were on non-lesional skin. In the immunohistochemical study with C4d, 84 biopsy results were obtained. There were positive reactions in 34 (40.4%) of 84 biopsies. Of the 34 positive results, 12 belonged to BP (35.3%) and 22 to PV (64.7%). Again, 22 (64.7%) of 34 positive results belonged to lesional skin, and 12 (35.3%) belonged to non-lesional skin. When both techniques were used together, 44 (54%) of 81 biopsies yielded positive results for at least one of the two studies, while in 37 (46%), both tests showed negative results.</p><p><strong>Conclusion: </strong>The sensitivity of both IgG and C4d was less than in the literature, especially in BP-diagnosed biopsies. Positive samples were mostly PV. In conclusion, obtaining immunofluorescence data in FFPE samples is possible and is independent of the related skin being lesional or not, however, negative results should not be relied upon.</p>","PeriodicalId":45415,"journal":{"name":"Turkish Journal of Pathology","volume":" ","pages":"10-15"},"PeriodicalIF":2.1000,"publicationDate":"2024-01-01","publicationTypes":"Journal Article","fieldsOfStudy":null,"isOpenAccess":false,"openAccessPdf":"https://www.ncbi.nlm.nih.gov/pmc/articles/PMC10823781/pdf/","citationCount":"0","resultStr":null,"platform":"Semanticscholar","paperid":null,"PeriodicalName":"Turkish Journal of Pathology","FirstCategoryId":"1085","ListUrlMain":"https://doi.org/10.5146/tjpath.2023.01607","RegionNum":0,"RegionCategory":null,"ArticlePicture":[],"TitleCN":null,"AbstractTextCN":null,"PMCID":null,"EPubDate":"","PubModel":"","JCR":"Q4","JCRName":"PATHOLOGY","Score":null,"Total":0}
引用次数: 0

Abstract

Objective: The gold-standard method for assessment of autoimmune bullous disease is direct/indirect immunofluorescence (IF) examination applied to fresh frozen tissue. Since the sensitivity of IF is greatly reduced in formalin-fixed paraffin-embedded (FFPE) tissues, IF cannot be relied upon in these samples. However, immunohistochemistry with the C4d antibody is a promising marker used as a surrogate for immune complex deposition, in nephropathology practice, and the paraffin IF method is also used as a `salvage` technique when fresh frozen tissue is not available or lacks glomeruli. We aimed to investigate whether it is possible to obtain immunofluorescence data from FFPE tissues diagnosed with bullous pemphigoid (BP) and pemphigus vulgaris (PV) and its relationship with inflammatory parameters in the skin.

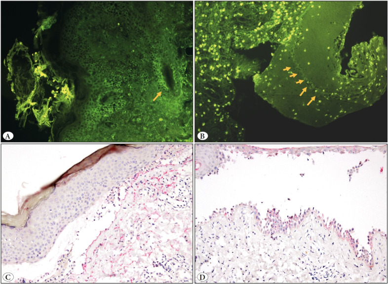
Material and methods: Eighty-nine in-house cases with both IgG and C3 positivity by routine immunofluorescence examination were included in the study. Inflammation parameters were evaluated in hematoxylin-eosin sections. Immunofluorescence study with IgG protease digestion and C4d immunohistochemistry were performed.

Results: Results of 83 biopsies were obtained by paraffin immunofluorescence with IgG. There were positive reactions in 28 (34%) of these 83 biopsies. Five of the 28 positive results belonged to BP (18%), and 23 were PV (82%). Ten positive results were on lesional skin (36%), and 18 (64%) were on non-lesional skin. In the immunohistochemical study with C4d, 84 biopsy results were obtained. There were positive reactions in 34 (40.4%) of 84 biopsies. Of the 34 positive results, 12 belonged to BP (35.3%) and 22 to PV (64.7%). Again, 22 (64.7%) of 34 positive results belonged to lesional skin, and 12 (35.3%) belonged to non-lesional skin. When both techniques were used together, 44 (54%) of 81 biopsies yielded positive results for at least one of the two studies, while in 37 (46%), both tests showed negative results.

Conclusion: The sensitivity of both IgG and C4d was less than in the literature, especially in BP-diagnosed biopsies. Positive samples were mostly PV. In conclusion, obtaining immunofluorescence data in FFPE samples is possible and is independent of the related skin being lesional or not, however, negative results should not be relied upon.

Abstract Image

能否从福尔马林固定的石蜡包埋皮肤样本中获得免疫荧光数据来诊断大疱性类天疱疮和大疱性类天疱疮?
目的:评估自身免疫性牛皮癣的金标准方法是对新鲜冷冻组织进行直接/间接免疫荧光(IF)检查。由于在福尔马林固定石蜡包埋(FFPE)组织中免疫荧光的灵敏度大大降低,因此在这些样本中不能依靠免疫荧光。然而,在肾脏病理实践中,C4d 抗体免疫组化是一种很有前途的标记物,可作为免疫复合物沉积的替代物,石蜡 IF 方法还可作为一种 "挽救 "技术,用于无法获得新鲜冷冻组织或缺乏肾小球的情况。我们的目的是研究是否有可能从诊断为大疱性类天疱疮(BP)和寻常型天疱疮(PV)的石蜡组织中获得免疫荧光数据及其与皮肤炎症指标的关系:研究纳入了89例经常规免疫荧光检查IgG和C3均阳性的内部病例。通过苏木精-伊红切片评估炎症参数。用 IgG 蛋白酶消化法和 C4d 免疫组化法进行免疫荧光研究:结果:对 83 例活检组织进行了 IgG 蛋白酶消化石蜡免疫荧光检查。这 83 例活检中有 28 例(34%)呈阳性反应。28 个阳性结果中有 5 个属于 BP(18%),23 个属于 PV(82%)。10 个阳性结果出现在病变皮肤上(36%),18 个(64%)出现在非病变皮肤上。在使用 C4d 进行的免疫组化研究中,共获得了 84 项活检结果。在 84 份活检结果中,有 34 份(40.4%)呈阳性反应。在 34 个阳性结果中,12 个属于 BP(35.3%),22 个属于 PV(64.7%)。同样,34 个阳性结果中有 22 个(64.7%)属于病变皮肤,12 个(35.3%)属于非病变皮肤。当两种技术同时使用时,81 份活检样本中有 44 份(54%)在两项研究中至少有一项得出了阳性结果,而 37 份(46%)的两项检测结果均为阴性:结论:IgG 和 C4d 的灵敏度均低于文献报道,尤其是在 BP 诊断的活组织检查中。阳性样本多为 PV。总之,在 FFPE 样本中获得免疫荧光数据是可能的,而且与相关皮肤是否病变无关,但不应依赖于阴性结果。
本文章由计算机程序翻译,如有差异,请以英文原文为准。
求助全文
约1分钟内获得全文 求助全文
来源期刊
CiteScore
1.90
自引率
10.00%
发文量
23
审稿时长
14 weeks
×
引用
GB/T 7714-2015
复制
MLA
复制
APA
复制
导出至
BibTeX EndNote RefMan NoteFirst NoteExpress
×
提示
您的信息不完整,为了账户安全,请先补充。
现在去补充
×
提示
您因"违规操作"
具体请查看互助需知
我知道了
×
提示
确定
请完成安全验证×
copy
已复制链接
快去分享给好友吧!
我知道了
右上角分享
点击右上角分享
0
联系我们:info@booksci.cn Book学术提供免费学术资源搜索服务,方便国内外学者检索中英文文献。致力于提供最便捷和优质的服务体验。 Copyright © 2023 布克学术 All rights reserved.
京ICP备2023020795号-1
ghs 京公网安备 11010802042870号
Book学术文献互助
Book学术文献互助群
群 号:604180095
Book学术官方微信