Clinical, Histopathological and Immunohistochemical Aspects of Digital Papillary Adenocarcinoma: A Case Report and Literature Review.

IF 2.1 Q4 PATHOLOGY
Sergen Yagci, Aysen Terzi, Abbas Albayati, Ahmet Cagri Uysal
{"title":"Clinical, Histopathological and Immunohistochemical Aspects of Digital Papillary Adenocarcinoma: A Case Report and Literature Review.","authors":"Sergen Yagci, Aysen Terzi, Abbas Albayati, Ahmet Cagri Uysal","doi":"10.5146/tjpath.2023.01606","DOIUrl":null,"url":null,"abstract":"<p><p>Digital papillary adenocarcinoma (DPA) is a rare malignant eccrine tumor. A 62-year-old female presented with a subcutaneous nodular 1.5cm-mass in the thumb. Macroscopically, a poorly circumscribed mass containing cystic and solid components was observed. Microscopically, epithelial neoplasm consisting of tubular-cystic structures with back-to-back arrangements was observed. The lining epithelium was composed of cuboidal/columnar cells with mild atypia, with micropapillary extensions. Immunohistochemistry revealed double-layered neoplastic epithelium containing two different types of cells: basaloid/myoepithelial and luminal. We recommend two out of vimentin, HMWCK, and D2-40 for myoepithelial/basaloid cells, also CK7 and EMA for luminal/columnar cells. As the tumor had infiltrated the surgical margins, the patient underwent axillary sentinel lymph node (SLN) dissection and re-excision with Mohs micrographic surgery (MMS). Two additional MMS stages were required due to suspicious surgical margin positivity in the frozen sections. The operation was continued despite the risk of loss of function. Upon examination of the permanent sections, we observed no tumors in the suspected positive foci. Additionally, no tumor was found in the surgical margins. No metastasis was detected in the sentinel lymph node. We have reached 300 reported cases of DPA in the literature. We discussed the histopathological and intraoperative diagnostic pitfalls of DPA with a literature review and our experience.</p>","PeriodicalId":45415,"journal":{"name":"Turkish Journal of Pathology","volume":" ","pages":"69-73"},"PeriodicalIF":2.1000,"publicationDate":"2024-01-01","publicationTypes":"Journal Article","fieldsOfStudy":null,"isOpenAccess":false,"openAccessPdf":"https://www.ncbi.nlm.nih.gov/pmc/articles/PMC10823785/pdf/","citationCount":"0","resultStr":null,"platform":"Semanticscholar","paperid":null,"PeriodicalName":"Turkish Journal of Pathology","FirstCategoryId":"1085","ListUrlMain":"https://doi.org/10.5146/tjpath.2023.01606","RegionNum":0,"RegionCategory":null,"ArticlePicture":[],"TitleCN":null,"AbstractTextCN":null,"PMCID":null,"EPubDate":"","PubModel":"","JCR":"Q4","JCRName":"PATHOLOGY","Score":null,"Total":0}
引用次数: 0

Abstract

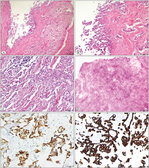
Digital papillary adenocarcinoma (DPA) is a rare malignant eccrine tumor. A 62-year-old female presented with a subcutaneous nodular 1.5cm-mass in the thumb. Macroscopically, a poorly circumscribed mass containing cystic and solid components was observed. Microscopically, epithelial neoplasm consisting of tubular-cystic structures with back-to-back arrangements was observed. The lining epithelium was composed of cuboidal/columnar cells with mild atypia, with micropapillary extensions. Immunohistochemistry revealed double-layered neoplastic epithelium containing two different types of cells: basaloid/myoepithelial and luminal. We recommend two out of vimentin, HMWCK, and D2-40 for myoepithelial/basaloid cells, also CK7 and EMA for luminal/columnar cells. As the tumor had infiltrated the surgical margins, the patient underwent axillary sentinel lymph node (SLN) dissection and re-excision with Mohs micrographic surgery (MMS). Two additional MMS stages were required due to suspicious surgical margin positivity in the frozen sections. The operation was continued despite the risk of loss of function. Upon examination of the permanent sections, we observed no tumors in the suspected positive foci. Additionally, no tumor was found in the surgical margins. No metastasis was detected in the sentinel lymph node. We have reached 300 reported cases of DPA in the literature. We discussed the histopathological and intraoperative diagnostic pitfalls of DPA with a literature review and our experience.

Abstract Image

Abstract Image

数字乳头状腺癌的临床、组织病理学和免疫组化方面:病例报告和文献综述。
数字乳头状腺癌(DPA)是一种罕见的恶性生殖器肿瘤。一名 62 岁的女性因拇指皮下结节状 1.5 厘米肿块就诊。宏观观察发现,肿块周缘不清,含有囊性和实性成分。显微镜下观察到上皮肿瘤由管状囊状结构组成,呈背靠背排列。衬里上皮由立方体/柱状细胞组成,有轻度不典型性,并伴有微乳头状扩展。免疫组化结果显示,双层肿瘤上皮包含两种不同类型的细胞:基底层/肌上皮细胞和管腔细胞。我们建议肌上皮/基底层细胞使用两种波形蛋白、HMWCK 和 D2-40,管腔/柱状细胞使用 CK7 和 EMA。由于肿瘤已浸润到手术边缘,患者接受了腋窝前哨淋巴结(SLN)清扫术,并通过莫氏显微手术(MMS)再次切除肿瘤。由于冰冻切片中出现可疑的手术切缘阳性,需要再进行两次莫氏显微手术。尽管存在功能丧失的风险,手术还是继续进行。对永久切片进行检查后,我们发现疑似阳性病灶中没有肿瘤。此外,手术切缘也没有发现肿瘤。前哨淋巴结也未发现转移。文献中报告的 DPA 病例已达 300 例。我们通过文献综述和自身经验讨论了 DPA 的组织病理学和术中诊断误区。
本文章由计算机程序翻译,如有差异,请以英文原文为准。
求助全文
约1分钟内获得全文 求助全文
来源期刊
CiteScore
1.90
自引率
10.00%
发文量
23
审稿时长
14 weeks
×
引用
GB/T 7714-2015
复制
MLA
复制
APA
复制
导出至
BibTeX EndNote RefMan NoteFirst NoteExpress
×
提示
您的信息不完整,为了账户安全,请先补充。
现在去补充
×
提示
您因"违规操作"
具体请查看互助需知
我知道了
×
提示
确定
请完成安全验证×
copy
已复制链接
快去分享给好友吧!
我知道了
右上角分享
点击右上角分享
0
联系我们:info@booksci.cn Book学术提供免费学术资源搜索服务,方便国内外学者检索中英文文献。致力于提供最便捷和优质的服务体验。 Copyright © 2023 布克学术 All rights reserved.
京ICP备2023020795号-1
ghs 京公网安备 11010802042870号
Book学术文献互助
Book学术文献互助群
群 号:604180095
Book学术官方微信