Progression in Myeloid Neoplasms: Beyond the Myeloblast.

IF 2 4区 医学 Q3 CELL BIOLOGY
Pathobiology Pub Date : 2024-01-01 Epub Date: 2023-05-11 DOI:10.1159/000530940
Carlos Faria, Alexandar Tzankov
{"title":"Progression in Myeloid Neoplasms: Beyond the Myeloblast.","authors":"Carlos Faria, Alexandar Tzankov","doi":"10.1159/000530940","DOIUrl":null,"url":null,"abstract":"<p><p>Disease progression in myelodysplastic syndromes (MDS), myelodysplastic-myeloproliferative neoplasms (MDS/MPN), and myeloproliferative neoplasms (MPN), altogether referred to as myeloid neoplasms (MN), is a major source of mortality. Apart from transformation to acute myeloid leukemia, the clinical progression of MN is mostly due to the overgrowth of pre-existing hematopoiesis by the MN without an additional transforming event. Still, MN may evolve along other recurrent yet less well-known scenarios: (1) acquisition of MPN features in MDS or (2) MDS features in MPN, (3) progressive myelofibrosis (MF), (4) acquisition of chronic myelomonocytic leukemia (CMML)-like characteristics in MPN or MDS, (5) development of myeloid sarcoma (MS), (6) lymphoblastic (LB) transformation, (7) histiocytic/dendritic outgrowths. These MN-transformation types exhibit a propensity for extramedullary sites (e.g., skin, lymph nodes, liver), highlighting the importance of lesional biopsies in diagnosis. Gain of distinct mutations/mutational patterns seems to be causative or at least accompanying several of the above-mentioned scenarios. MDS developing MPN features often acquire MPN driver mutations (usually JAK2), and MF. Conversely, MPN gaining MDS features develop, e.g., ASXL1, IDH1/2, SF3B1, and/or SRSF2 mutations. Mutations of RAS-genes are often detected in CMML-like MPN progression. MS ex MN is characterized by complex karyotypes, FLT3 and/or NPM1 mutations, and often monoblastic phenotype. MN with LB transformation is associated with secondary genetic events linked to lineage reprogramming leading to the deregulation of ETV6, IKZF1, PAX5, PU.1, and RUNX1. Finally, the acquisition of MAPK-pathway gene mutations may shape MN toward histiocytic differentiation. Awareness of all these less well-known MN-progression types is important to guide optimal individual patient management.</p>","PeriodicalId":19805,"journal":{"name":"Pathobiology","volume":" ","pages":"55-75"},"PeriodicalIF":2.0000,"publicationDate":"2024-01-01","publicationTypes":"Journal Article","fieldsOfStudy":null,"isOpenAccess":false,"openAccessPdf":"https://www.ncbi.nlm.nih.gov/pmc/articles/PMC10857805/pdf/","citationCount":"0","resultStr":null,"platform":"Semanticscholar","paperid":null,"PeriodicalName":"Pathobiology","FirstCategoryId":"3","ListUrlMain":"https://doi.org/10.1159/000530940","RegionNum":4,"RegionCategory":"医学","ArticlePicture":[],"TitleCN":null,"AbstractTextCN":null,"PMCID":null,"EPubDate":"2023/5/11 0:00:00","PubModel":"Epub","JCR":"Q3","JCRName":"CELL BIOLOGY","Score":null,"Total":0}
引用次数: 0

Abstract

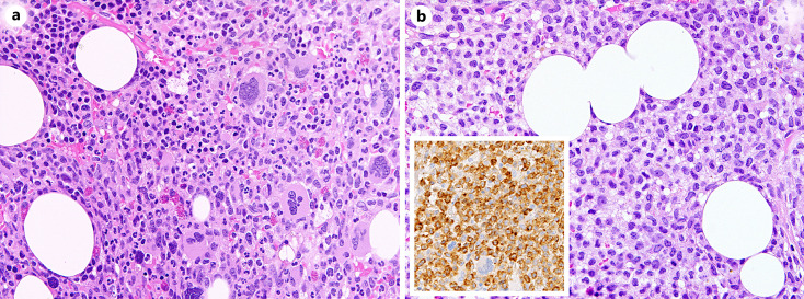
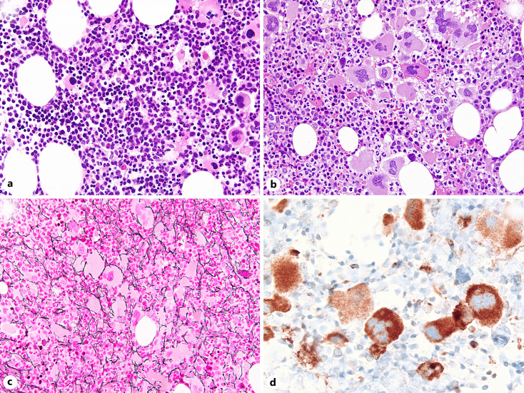
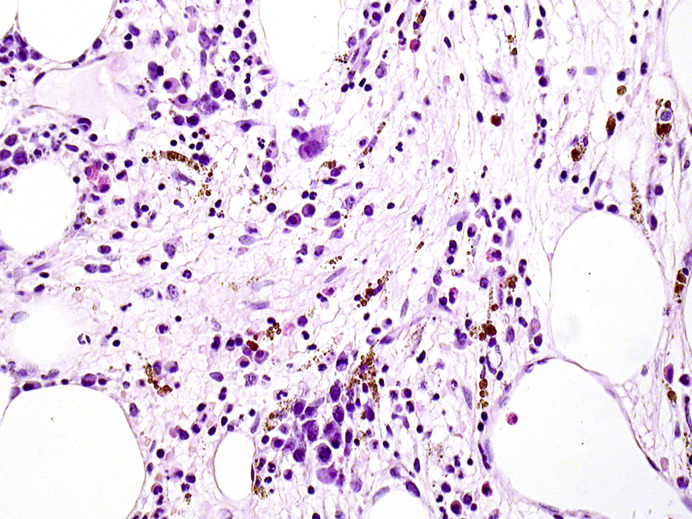
Disease progression in myelodysplastic syndromes (MDS), myelodysplastic-myeloproliferative neoplasms (MDS/MPN), and myeloproliferative neoplasms (MPN), altogether referred to as myeloid neoplasms (MN), is a major source of mortality. Apart from transformation to acute myeloid leukemia, the clinical progression of MN is mostly due to the overgrowth of pre-existing hematopoiesis by the MN without an additional transforming event. Still, MN may evolve along other recurrent yet less well-known scenarios: (1) acquisition of MPN features in MDS or (2) MDS features in MPN, (3) progressive myelofibrosis (MF), (4) acquisition of chronic myelomonocytic leukemia (CMML)-like characteristics in MPN or MDS, (5) development of myeloid sarcoma (MS), (6) lymphoblastic (LB) transformation, (7) histiocytic/dendritic outgrowths. These MN-transformation types exhibit a propensity for extramedullary sites (e.g., skin, lymph nodes, liver), highlighting the importance of lesional biopsies in diagnosis. Gain of distinct mutations/mutational patterns seems to be causative or at least accompanying several of the above-mentioned scenarios. MDS developing MPN features often acquire MPN driver mutations (usually JAK2), and MF. Conversely, MPN gaining MDS features develop, e.g., ASXL1, IDH1/2, SF3B1, and/or SRSF2 mutations. Mutations of RAS-genes are often detected in CMML-like MPN progression. MS ex MN is characterized by complex karyotypes, FLT3 and/or NPM1 mutations, and often monoblastic phenotype. MN with LB transformation is associated with secondary genetic events linked to lineage reprogramming leading to the deregulation of ETV6, IKZF1, PAX5, PU.1, and RUNX1. Finally, the acquisition of MAPK-pathway gene mutations may shape MN toward histiocytic differentiation. Awareness of all these less well-known MN-progression types is important to guide optimal individual patient management.

Abstract Image

Abstract Image

Abstract Image

髓样肿瘤的进展:超越髓母细胞
骨髓增生异常综合征(MDS)、骨髓增生异常-骨髓增生性肿瘤(MDS/MPN)和骨髓增生性肿瘤(MPN)统称为髓样肿瘤(MN),其疾病进展是导致死亡的主要原因。除了转化为急性髓系白血病外,MN 的临床进展主要是由于 MN 过度生长了原有的造血组织,而没有发生额外的转化事件。不过,MN 也可能沿着其他反复出现但不太为人所知的情况演变:(1)在 MDS 中获得 MPN 特征,或(2)在 MPN 中获得 MDS 特征,(3)进行性骨髓纤维化(MF),(4)在 MPN 或 MDS 中获得慢性粒单核细胞白血病(CMML)样特征,(5)发展为髓样肉瘤(MS),(6)淋巴细胞(LB)转化,(7)组织细胞/树突状突变。这些 MN 转化类型表现出髓鞘外部位(如皮肤、淋巴结、肝脏)的倾向,突出了病变活检在诊断中的重要性。不同突变/突变模式的获得似乎是上述几种情况的诱因或至少是伴随因素。出现 MPN 特征的 MDS 通常会获得 MPN 驱动基因突变(通常是 JAK2)和 MF。相反,获得 MDS 特征的 MPN 则会出现 ASXL1、IDH1/2、SF3B1 和/或 SRSF2 突变。在类似 CMML 的 MPN 进展中,经常会检测到 RAS 基因突变。MS ex MN的特点是核型复杂、FLT3和/或NPM1突变,通常为单核细胞表型。伴有 LB 转化的 MN 与继发性遗传事件有关,这些事件与导致 ETV6、IKZF1、PAX5、PU.1 和 RUNX1 脱调的系谱重编程有关。最后,MAPK 通路基因突变可能会使 MN 向组织细胞分化。了解所有这些不太为人所知的 MN 进展类型对于指导患者的最佳治疗非常重要。
本文章由计算机程序翻译,如有差异,请以英文原文为准。
求助全文
约1分钟内获得全文 求助全文
来源期刊
Pathobiology
Pathobiology 医学-病理学
CiteScore
8.50
自引率
0.00%
发文量
47
审稿时长
>12 weeks
期刊介绍: ''Pathobiology'' offers a valuable platform for the publication of high-quality original research into the mechanisms underlying human disease. Aiming to serve as a bridge between basic biomedical research and clinical medicine, the journal welcomes articles from scientific areas such as pathology, oncology, anatomy, virology, internal medicine, surgery, cell and molecular biology, and immunology. Published bimonthly, ''Pathobiology'' features original research papers and reviews on translational research. The journal offers the possibility to publish proceedings of meetings dedicated to one particular topic.
×
引用
GB/T 7714-2015
复制
MLA
复制
APA
复制
导出至
BibTeX EndNote RefMan NoteFirst NoteExpress
×
提示
您的信息不完整,为了账户安全,请先补充。
现在去补充
×
提示
您因"违规操作"
具体请查看互助需知
我知道了
×
提示
确定
请完成安全验证×
copy
已复制链接
快去分享给好友吧!
我知道了
右上角分享
点击右上角分享
0
联系我们:info@booksci.cn Book学术提供免费学术资源搜索服务,方便国内外学者检索中英文文献。致力于提供最便捷和优质的服务体验。 Copyright © 2023 布克学术 All rights reserved.
京ICP备2023020795号-1
ghs 京公网安备 11010802042870号
Book学术文献互助
Book学术文献互助群
群 号:604180095
Book学术官方微信