Alterations of Spatial Memory and Gut Microbiota Composition in Alzheimer's Disease Triple-Transgenic Mice at 3, 6, and 9 Months of Age.

IF 2.7 4区 医学 Q2 CLINICAL NEUROLOGY
Zhang Wei, Daidi Li, Jingshan Shi
{"title":"Alterations of Spatial Memory and Gut Microbiota Composition in Alzheimer's Disease Triple-Transgenic Mice at 3, 6, and 9 Months of Age.","authors":"Zhang Wei, Daidi Li, Jingshan Shi","doi":"10.1177/15333175231174193","DOIUrl":null,"url":null,"abstract":"<p><p>Alzheimer's disease (AD) is a progressive neurological disease. Gut microbial dysbiosis is associated with AD. This study involves the comparative assessment of spatial learning, β-amyloid peptide accumulation, and fecal microbiota alterations in 3×Tg-AD mice from 3 age groups: AD asymptomatic stage (3 m), presymptomatic stage (6 m), and the symptomatic stage of AD (9 m). We demonstrate that spatial memory deficits, brain Aβ accumulation, and weight gain in 3×Tg-AD mice gradually appear after 6 months of age. However, the total gut bacterial counts underwent changes from 3 to 6 months of age and were further altered at 9 months of age. Importantly, changes in gut bacteria abundance of <i>Desulfobacterota</i> and <i>Actinobacteriota</i> phyla in 6-month-old mice preceded apparent spatial memory deficits. In summary, Changes in the gut microbial community are one of the mechanisms of early AD pathology.</p>","PeriodicalId":50816,"journal":{"name":"American Journal of Alzheimers Disease and Other Dementias","volume":"38 ","pages":"15333175231174193"},"PeriodicalIF":2.7000,"publicationDate":"2023-01-01","publicationTypes":"Journal Article","fieldsOfStudy":null,"isOpenAccess":false,"openAccessPdf":"https://www.ncbi.nlm.nih.gov/pmc/articles/PMC10624076/pdf/","citationCount":"0","resultStr":null,"platform":"Semanticscholar","paperid":null,"PeriodicalName":"American Journal of Alzheimers Disease and Other Dementias","FirstCategoryId":"3","ListUrlMain":"https://doi.org/10.1177/15333175231174193","RegionNum":4,"RegionCategory":"医学","ArticlePicture":[],"TitleCN":null,"AbstractTextCN":null,"PMCID":null,"EPubDate":"","PubModel":"","JCR":"Q2","JCRName":"CLINICAL NEUROLOGY","Score":null,"Total":0}
引用次数: 0

Abstract

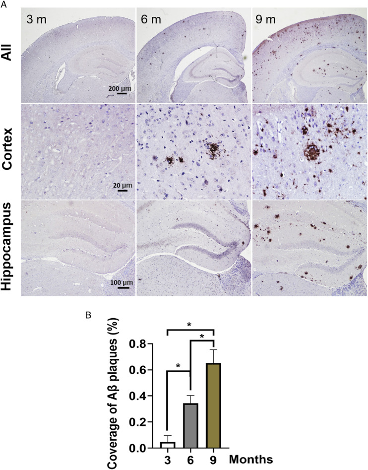
Alzheimer's disease (AD) is a progressive neurological disease. Gut microbial dysbiosis is associated with AD. This study involves the comparative assessment of spatial learning, β-amyloid peptide accumulation, and fecal microbiota alterations in 3×Tg-AD mice from 3 age groups: AD asymptomatic stage (3 m), presymptomatic stage (6 m), and the symptomatic stage of AD (9 m). We demonstrate that spatial memory deficits, brain Aβ accumulation, and weight gain in 3×Tg-AD mice gradually appear after 6 months of age. However, the total gut bacterial counts underwent changes from 3 to 6 months of age and were further altered at 9 months of age. Importantly, changes in gut bacteria abundance of Desulfobacterota and Actinobacteriota phyla in 6-month-old mice preceded apparent spatial memory deficits. In summary, Changes in the gut microbial community are one of the mechanisms of early AD pathology.

Abstract Image

Abstract Image

Abstract Image

阿尔茨海默病三转基因小鼠 3、6 和 9 个月大时空间记忆和肠道微生物群组成的改变
阿尔茨海默病(AD)是一种进行性神经系统疾病。肠道微生物菌群失调与阿尔茨海默病有关。本研究涉及对3×Tg-AD小鼠3个年龄组的空间学习、β-淀粉样肽积累和粪便微生物群变化的比较评估:3×Tg-AD小鼠的空间学习能力、β-淀粉样蛋白肽积累和粪便微生物群的变化。我们的研究表明,3×Tg-AD 小鼠的空间记忆缺陷、脑 Aβ 积累和体重增加在 6 月龄后逐渐出现。然而,肠道细菌总数在 3 至 6 个月大时发生了变化,并在 9 个月大时进一步改变。重要的是,6 个月大小鼠肠道细菌中脱硫菌群和放线菌群丰度的变化先于明显的空间记忆缺陷。总之,肠道微生物群落的变化是早期注意力缺失症的病理机制之一。
本文章由计算机程序翻译,如有差异,请以英文原文为准。
求助全文
约1分钟内获得全文 求助全文
来源期刊
American Journal of Alzheimers Disease and Other Dementias
American Journal of Alzheimers Disease and Other Dementias GERIATRICS & GERONTOLOGY-CLINICAL NEUROLOGY
CiteScore
5.40
自引率
0.00%
发文量
30
审稿时长
6-12 weeks
期刊介绍: American Journal of Alzheimer''s Disease and other Dementias® (AJADD) is for professionals on the frontlines of Alzheimer''s care, dementia, and clinical depression--especially physicians, nurses, psychiatrists, administrators, and other healthcare specialists who manage patients with dementias and their families. This journal is a member of the Committee on Publication Ethics (COPE).
×
引用
GB/T 7714-2015
复制
MLA
复制
APA
复制
导出至
BibTeX EndNote RefMan NoteFirst NoteExpress
×
提示
您的信息不完整,为了账户安全,请先补充。
现在去补充
×
提示
您因"违规操作"
具体请查看互助需知
我知道了
×
提示
确定
请完成安全验证×
copy
已复制链接
快去分享给好友吧!
我知道了
右上角分享
点击右上角分享
0
联系我们:info@booksci.cn Book学术提供免费学术资源搜索服务,方便国内外学者检索中英文文献。致力于提供最便捷和优质的服务体验。 Copyright © 2023 布克学术 All rights reserved.
京ICP备2023020795号-1
ghs 京公网安备 11010802042870号
Book学术文献互助
Book学术文献互助群
群 号:604180095
Book学术官方微信