Predictor Mandibular Dentoalveolar Features on the Occurrence of 1-Rooted/C-Shaped Mandibular Second Molar Teeth.

IF 2 Q3 DENTISTRY, ORAL SURGERY & MEDICINE
European Endodontic Journal Pub Date : 2024-01-01 Epub Date: 2023-11-07 DOI:10.14744/eej.2023.91886
Hakan Aydın
{"title":"Predictor Mandibular Dentoalveolar Features on the Occurrence of 1-Rooted/C-Shaped Mandibular Second Molar Teeth.","authors":"Hakan Aydın","doi":"10.14744/eej.2023.91886","DOIUrl":null,"url":null,"abstract":"<p><strong>Objective: </strong>This study aimed to examine the mandible form features of the mandible, such as inter-second molar width, anteroposterior length, arch perimeter length, arch breadth, corpus height/width in the mandibular second molars (MnSM) region, and arch form, and the relation for the occasion of the 1-rooted/C-shaped.</p><p><strong>Methods: </strong>The study analyzed cone-beam computed tomography images of 215 male and 215 female Turkish patients to determine the prevalence of 1-rooted and C-shaped MnSM. Mandibular dentoalveolar characteristics of individuals with bilateral (1R-1R group) and unilateral (1R-2R group) 1-rooted MnSM were examined and compared with those with bilateral 2-roots (2R-2R group) MnSM. Statistical tests were performed using Chi-square, one-way ANOVA, Tukey, and binary logistic regression analysis at the 5% significance level.</p><p><strong>Results: </strong>The prevalence of 1-rooted and 1-rooted/C-shaped MnSM was 12.79% and 9.65%, respectively. Root fusion was more commonly present in females (p<0.05). In the 1R-1R group, the anteroposterior length was shorter than in the 2R-2R group (p<0.05). There was no difference between the groups for other features (p>0.05).</p><p><strong>Conclusion: </strong>Although the study found a shorter anteroposterior length in the 1R-1R group, no feature was a predictive variable for 1-rooted/C-shaped MnSM.</p>","PeriodicalId":11860,"journal":{"name":"European Endodontic Journal","volume":" ","pages":"65-72"},"PeriodicalIF":2.0000,"publicationDate":"2024-01-01","publicationTypes":"Journal Article","fieldsOfStudy":null,"isOpenAccess":false,"openAccessPdf":"https://www.ncbi.nlm.nih.gov/pmc/articles/PMC10777082/pdf/","citationCount":"0","resultStr":null,"platform":"Semanticscholar","paperid":null,"PeriodicalName":"European Endodontic Journal","FirstCategoryId":"1085","ListUrlMain":"https://doi.org/10.14744/eej.2023.91886","RegionNum":0,"RegionCategory":null,"ArticlePicture":[],"TitleCN":null,"AbstractTextCN":null,"PMCID":null,"EPubDate":"2023/11/7 0:00:00","PubModel":"Epub","JCR":"Q3","JCRName":"DENTISTRY, ORAL SURGERY & MEDICINE","Score":null,"Total":0}
引用次数: 0

Abstract

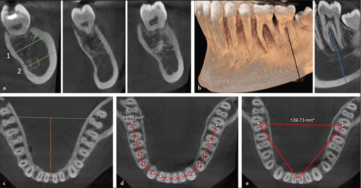
Objective: This study aimed to examine the mandible form features of the mandible, such as inter-second molar width, anteroposterior length, arch perimeter length, arch breadth, corpus height/width in the mandibular second molars (MnSM) region, and arch form, and the relation for the occasion of the 1-rooted/C-shaped.

Methods: The study analyzed cone-beam computed tomography images of 215 male and 215 female Turkish patients to determine the prevalence of 1-rooted and C-shaped MnSM. Mandibular dentoalveolar characteristics of individuals with bilateral (1R-1R group) and unilateral (1R-2R group) 1-rooted MnSM were examined and compared with those with bilateral 2-roots (2R-2R group) MnSM. Statistical tests were performed using Chi-square, one-way ANOVA, Tukey, and binary logistic regression analysis at the 5% significance level.

Results: The prevalence of 1-rooted and 1-rooted/C-shaped MnSM was 12.79% and 9.65%, respectively. Root fusion was more commonly present in females (p<0.05). In the 1R-1R group, the anteroposterior length was shorter than in the 2R-2R group (p<0.05). There was no difference between the groups for other features (p>0.05).

Conclusion: Although the study found a shorter anteroposterior length in the 1R-1R group, no feature was a predictive variable for 1-rooted/C-shaped MnSM.

Abstract Image

Abstract Image

Abstract Image

1根/ c型下颌第二磨牙发生的牙槽特征预测器。
目的:研究下颌第二磨牙(MnSM)区第二磨牙间宽度、前后长度、弓周长、弓宽度、体高/体宽与下颌弓形态的关系,以及与1根/ c形牙的关系。方法:本研究分析了215例土耳其男性和215例女性患者的锥束计算机断层图像,以确定1根和c形MnSM的患病率。检查双侧(1R-1R组)和单侧(1R-2R组)单根MnSM患者的下颌牙槽特征,并与双侧2根(2R-2R组)MnSM患者进行比较。统计学检验采用卡方、单因素方差分析、Tukey和二元logistic回归分析,显著性水平为5%。结果:1根型和1根/ c型MnSM患病率分别为12.79%和9.65%。根融合在女性中更为常见(p0.05)。结论:虽然研究发现1R-1R组的前后位长度较短,但没有任何特征是1根/ c型MnSM的预测变量。
本文章由计算机程序翻译,如有差异,请以英文原文为准。
求助全文
约1分钟内获得全文 求助全文
来源期刊
European Endodontic Journal
European Endodontic Journal DENTISTRY, ORAL SURGERY & MEDICINE-
CiteScore
3.40
自引率
5.60%
发文量
25
×
引用
GB/T 7714-2015
复制
MLA
复制
APA
复制
导出至
BibTeX EndNote RefMan NoteFirst NoteExpress
×
提示
您的信息不完整,为了账户安全,请先补充。
现在去补充
×
提示
您因"违规操作"
具体请查看互助需知
我知道了
×
提示
确定
请完成安全验证×
copy
已复制链接
快去分享给好友吧!
我知道了
右上角分享
点击右上角分享
0
联系我们:info@booksci.cn Book学术提供免费学术资源搜索服务,方便国内外学者检索中英文文献。致力于提供最便捷和优质的服务体验。 Copyright © 2023 布克学术 All rights reserved.
京ICP备2023020795号-1
ghs 京公网安备 11010802042870号
Book学术文献互助
Book学术文献互助群
群 号:604180095
Book学术官方微信