Effects of long-term administration of various dietary prebiotic supplements on the growth, immune cell activity and digestive tract histology of juvenile vimba (Vimba vimba).

IF 1 4区 经济学 Q3 BUSINESS, FINANCE
Journal of Industrial Economics Pub Date : 2023-06-16 eCollection Date: 2023-06-01 DOI:10.2478/jvetres-2023-0033
Barbara Kazuń, Krzysztof Kazuń, Joanna Małaczewska, Rafał Kamiński, Dobrochna Adamek-Urbańska, Justyna Sikorska, Jacek Wolnicki, Hubert Szudrowicz
{"title":"Effects of long-term administration of various dietary prebiotic supplements on the growth, immune cell activity and digestive tract histology of juvenile vimba <i>(Vimba vimba)</i>.","authors":"Barbara Kazuń, Krzysztof Kazuń, Joanna Małaczewska, Rafał Kamiński, Dobrochna Adamek-Urbańska, Justyna Sikorska, Jacek Wolnicki, Hubert Szudrowicz","doi":"10.2478/jvetres-2023-0033","DOIUrl":null,"url":null,"abstract":"<p><strong>Introduction: </strong>The experiment was set to determine the effects of long-term (55-day) use of three commercial prebiotics including <i>Saccharomyces cerevisiae</i>-derived β-glucans and one including inulin on juvenile vimba <i>(Vimba vimba)</i> reared intensively under controlled conditions.</p><p><strong>Material and methods: </strong>Six-month-old fish were fed commercial feed (Control group, n = 90), or the same feed supplemented with 0.02% Leiber Beta-S (BS group, n = 90), 0.20% Biolex MB40 (MB group, n = 90), 0.30% CeFi (CE group, n = 90) or 1.00% inulin Orafti GR (IN group, n = 90) for 55 days.</p><p><strong>Results: </strong>In the BS group, the final growth parameters were significantly lower than in the Control group, while the feed conversion ratio was significantly higher. No significant differences were found between any other group and the Control group in the respective parameters. The respiratory burst activity of the head-kidney phagocytes was significantly lower in all fish groups fed the prebiotic-supplemented diets compared to the Control group. The proliferative response of the head-kidney lymphocytes stimulated by concanavalin A was lower in the BS group than in the Control group, while in other groups this response was not affected. No significant differences were found in histopathological analyses of the digestive tract, liver or pancreas.</p><p><strong>Conclusion: </strong>The long-term supplementation of fish diets with prebiotics can negatively influence the growth, feed conversion, nonspecific cellular resistance and proliferative activity of the T lymphocytes of vimba juveniles.</p>","PeriodicalId":47963,"journal":{"name":"Journal of Industrial Economics","volume":"13 1","pages":"233-241"},"PeriodicalIF":1.0000,"publicationDate":"2023-06-16","publicationTypes":"Journal Article","fieldsOfStudy":null,"isOpenAccess":false,"openAccessPdf":"https://www.ncbi.nlm.nih.gov/pmc/articles/PMC10740321/pdf/","citationCount":"0","resultStr":null,"platform":"Semanticscholar","paperid":null,"PeriodicalName":"Journal of Industrial Economics","FirstCategoryId":"97","ListUrlMain":"https://doi.org/10.2478/jvetres-2023-0033","RegionNum":4,"RegionCategory":"经济学","ArticlePicture":[],"TitleCN":null,"AbstractTextCN":null,"PMCID":null,"EPubDate":"2023/6/1 0:00:00","PubModel":"eCollection","JCR":"Q3","JCRName":"BUSINESS, FINANCE","Score":null,"Total":0}
引用次数: 0

Abstract

Introduction: The experiment was set to determine the effects of long-term (55-day) use of three commercial prebiotics including Saccharomyces cerevisiae-derived β-glucans and one including inulin on juvenile vimba (Vimba vimba) reared intensively under controlled conditions.

Material and methods: Six-month-old fish were fed commercial feed (Control group, n = 90), or the same feed supplemented with 0.02% Leiber Beta-S (BS group, n = 90), 0.20% Biolex MB40 (MB group, n = 90), 0.30% CeFi (CE group, n = 90) or 1.00% inulin Orafti GR (IN group, n = 90) for 55 days.

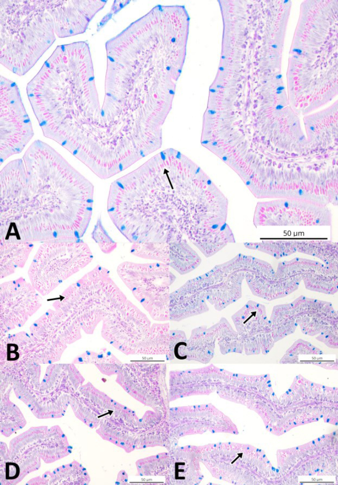
Results: In the BS group, the final growth parameters were significantly lower than in the Control group, while the feed conversion ratio was significantly higher. No significant differences were found between any other group and the Control group in the respective parameters. The respiratory burst activity of the head-kidney phagocytes was significantly lower in all fish groups fed the prebiotic-supplemented diets compared to the Control group. The proliferative response of the head-kidney lymphocytes stimulated by concanavalin A was lower in the BS group than in the Control group, while in other groups this response was not affected. No significant differences were found in histopathological analyses of the digestive tract, liver or pancreas.

Conclusion: The long-term supplementation of fish diets with prebiotics can negatively influence the growth, feed conversion, nonspecific cellular resistance and proliferative activity of the T lymphocytes of vimba juveniles.

Abstract Image

Abstract Image

长期服用各种益生元膳食补充剂对幼年金边蟾(Vimba vimba)的生长、免疫细胞活性和消化道组织学的影响。
实验简介本实验旨在确定长期(55 天)使用三种商业益生元(包括酵母衍生的 β-葡聚糖和菊粉)对在受控条件下集中饲养的金边鲈幼鱼的影响:给六个月大的鱼喂食商品饲料(对照组,n = 90)或添加 0.02% Leiber Beta-S(BS 组,n = 90)、0.20% Biolex MB40(MB 组,n = 90)、0.30% CeFi(CE 组,n = 90)或 1.00% 菊粉 Orafti GR(IN 组,n = 90)的相同饲料 55 天:结果:BS 组的最终生长参数明显低于对照组,而饲料转化率则明显高于对照组。其他各组与对照组的相关参数均无明显差异。与对照组相比,所有喂食添加益生素日粮组的鱼类头肾吞噬细胞的呼吸爆发活性都明显降低。BS 组头肾淋巴细胞在金刚烷胺 A 刺激下的增殖反应低于对照组,而其他组则不受影响。消化道、肝脏或胰腺的组织病理学分析未发现明显差异:结论:在鱼类日粮中长期添加益生素会对文昌鱼幼鱼的生长、饲料转化率、非特异性细胞抵抗力和 T 淋巴细胞的增殖活性产生负面影响。
本文章由计算机程序翻译,如有差异,请以英文原文为准。
求助全文
约1分钟内获得全文 求助全文
来源期刊
CiteScore
1.60
自引率
0.00%
发文量
27
期刊介绍: First published in 1952, the Journal of Industrial Economics has a wide international circulation and is recognised as a leading journal in the field. It was founded to promote the analysis of modern industry, particularly the behaviour of firms and the functioning of markets. Contributions are welcomed in all areas of industrial economics including: - organization of industry - applied oligopoly theory - product differentiation and technical change - theory of the firm and internal organization - regulation - monopoly - merger and technology policy Necessarily, these subjects will often draw on adjacent areas such as international economics, labour economics and law.
×
引用
GB/T 7714-2015
复制
MLA
复制
APA
复制
导出至
BibTeX EndNote RefMan NoteFirst NoteExpress
×
提示
您的信息不完整,为了账户安全,请先补充。
现在去补充
×
提示
您因"违规操作"
具体请查看互助需知
我知道了
×
提示
确定
请完成安全验证×
copy
已复制链接
快去分享给好友吧!
我知道了
右上角分享
点击右上角分享
0
联系我们:info@booksci.cn Book学术提供免费学术资源搜索服务,方便国内外学者检索中英文文献。致力于提供最便捷和优质的服务体验。 Copyright © 2023 布克学术 All rights reserved.
京ICP备2023020795号-1
ghs 京公网安备 11010802042870号
Book学术文献互助
Book学术文献互助群
群 号:604180095
Book学术官方微信