Imaging of knee osteoarthritis: a review of multimodal diagnostic approach.

Q3 Dentistry
Iranian Endodontic Journal Pub Date : 2023-11-01 Epub Date: 2023-04-07 DOI:10.21037/qims-22-1392
Claudia Lucia Piccolo, Carlo Augusto Mallio, Federica Vaccarino, Rosario Francesco Grasso, Bruno Beomonte Zobel
{"title":"Imaging of knee osteoarthritis: a review of multimodal diagnostic approach.","authors":"Claudia Lucia Piccolo, Carlo Augusto Mallio, Federica Vaccarino, Rosario Francesco Grasso, Bruno Beomonte Zobel","doi":"10.21037/qims-22-1392","DOIUrl":null,"url":null,"abstract":"<p><p>Knee osteoarthritis (KOA) is a common chronic condition among the elderly population that significantly affects the quality of life. Imaging is crucial in the diagnosis, evaluation, and management of KOA. This manuscript reviews the various imaging modalities available until now, with a little focus on the recent developments with Artificial Intelligence. Currently, radiography is the first-line imaging modality recommended for the diagnosis of KOA, owing to its wide availability, affordability, and ability to provide a clear view of bony components of the knee. Although radiography is useful in assessing joint space narrowing (JSN), osteophytes and subchondral sclerosis, it has limited effectiveness in detecting early cartilage damage, soft tissue abnormalities and synovial inflammation. Ultrasound is a safe and affordable imaging technique that can provide information on cartilage thickness, synovial fluid, JSN and osteophytes, though its ability to evaluate deep structures such as subchondral bone is limited. Magnetic resonance imaging (MRI) represents the optimal imaging modality to assess soft tissue structures. New MRI techniques are able to detect early cartilage damage measuring the T1ρ and T2 relaxation time of knee cartilage. Delayed gadolinium-enhanced MRI of cartilage, by injecting a contrast agent to enhance the visibility of the cartilage on MRI scans, can provide information about its integrity. Despite these techniques can provide valuable information about the biochemical composition of knee cartilage and can help detect early signs of osteoarthritis (OA), they may not be widely available. Computed tomography (CT) has restricted utility in evaluating OA; nonetheless, weight-bearing CT imaging, using the joint space mapping technique, exhibits potential in quantifying knee joint space width and detecting structural joint ailments. PET-MRI is a hybrid imaging technique able to combine morphological information on bone and soft tissue alterations with the biochemical changes, but more research is needed to justify its high cost and time involved. The new tools of artificial intelligence, including machine learning models, can assist in detecting patterns and correlations in KOA that may be useful in the diagnosis, grading, predicting the need for arthroplasty, and improving surgical accuracy.</p>","PeriodicalId":14534,"journal":{"name":"Iranian Endodontic Journal","volume":"10 1","pages":"7582-7595"},"PeriodicalIF":0.0000,"publicationDate":"2023-11-01","publicationTypes":"Journal Article","fieldsOfStudy":null,"isOpenAccess":false,"openAccessPdf":"https://www.ncbi.nlm.nih.gov/pmc/articles/PMC10644136/pdf/","citationCount":"0","resultStr":null,"platform":"Semanticscholar","paperid":null,"PeriodicalName":"Iranian Endodontic Journal","FirstCategoryId":"3","ListUrlMain":"https://doi.org/10.21037/qims-22-1392","RegionNum":0,"RegionCategory":null,"ArticlePicture":[],"TitleCN":null,"AbstractTextCN":null,"PMCID":null,"EPubDate":"2023/4/7 0:00:00","PubModel":"Epub","JCR":"Q3","JCRName":"Dentistry","Score":null,"Total":0}
引用次数: 0

Abstract

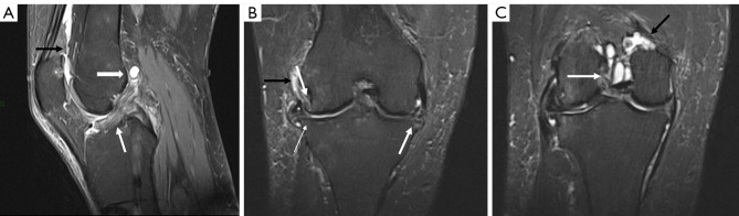
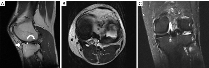
Knee osteoarthritis (KOA) is a common chronic condition among the elderly population that significantly affects the quality of life. Imaging is crucial in the diagnosis, evaluation, and management of KOA. This manuscript reviews the various imaging modalities available until now, with a little focus on the recent developments with Artificial Intelligence. Currently, radiography is the first-line imaging modality recommended for the diagnosis of KOA, owing to its wide availability, affordability, and ability to provide a clear view of bony components of the knee. Although radiography is useful in assessing joint space narrowing (JSN), osteophytes and subchondral sclerosis, it has limited effectiveness in detecting early cartilage damage, soft tissue abnormalities and synovial inflammation. Ultrasound is a safe and affordable imaging technique that can provide information on cartilage thickness, synovial fluid, JSN and osteophytes, though its ability to evaluate deep structures such as subchondral bone is limited. Magnetic resonance imaging (MRI) represents the optimal imaging modality to assess soft tissue structures. New MRI techniques are able to detect early cartilage damage measuring the T1ρ and T2 relaxation time of knee cartilage. Delayed gadolinium-enhanced MRI of cartilage, by injecting a contrast agent to enhance the visibility of the cartilage on MRI scans, can provide information about its integrity. Despite these techniques can provide valuable information about the biochemical composition of knee cartilage and can help detect early signs of osteoarthritis (OA), they may not be widely available. Computed tomography (CT) has restricted utility in evaluating OA; nonetheless, weight-bearing CT imaging, using the joint space mapping technique, exhibits potential in quantifying knee joint space width and detecting structural joint ailments. PET-MRI is a hybrid imaging technique able to combine morphological information on bone and soft tissue alterations with the biochemical changes, but more research is needed to justify its high cost and time involved. The new tools of artificial intelligence, including machine learning models, can assist in detecting patterns and correlations in KOA that may be useful in the diagnosis, grading, predicting the need for arthroplasty, and improving surgical accuracy.

Abstract Image

Abstract Image

Abstract Image

膝关节骨关节炎的影像学:多模式诊断方法综述。
膝骨关节炎(KOA)是老年人常见的慢性疾病,严重影响生活质量。影像学对KOA的诊断、评估和治疗至关重要。这篇手稿回顾了各种成像模式,直到现在,有一点关注人工智能的最新发展。目前,x线摄影是推荐用于KOA诊断的一线成像方式,因为它广泛可用,价格合理,并且能够提供膝关节骨骼组成的清晰视图。尽管x线摄影在评估关节间隙狭窄(JSN)、骨赘和软骨下硬化方面很有用,但在检测早期软骨损伤、软组织异常和滑膜炎症方面效果有限。超声是一种安全且负担得起的成像技术,可以提供软骨厚度、滑液、JSN和骨赘的信息,尽管其评估软骨下骨等深层结构的能力有限。磁共振成像(MRI)是评估软组织结构的最佳成像方式。新的MRI技术可以通过测量膝关节软骨的T1ρ和T2松弛时间来检测早期软骨损伤。软骨的延迟钆增强MRI,通过注射造影剂来增强软骨在MRI扫描上的可见性,可以提供软骨完整性的信息。尽管这些技术可以提供有关膝关节软骨生化组成的有价值的信息,并有助于发现骨关节炎(OA)的早期迹象,但它们可能并不广泛可用。计算机断层扫描(CT)在评估OA方面的应用有限;尽管如此,使用关节空间测绘技术的负重CT成像在量化膝关节间隙宽度和检测结构性关节疾病方面显示出潜力。PET-MRI是一种混合成像技术,能够将骨和软组织变化的形态学信息与生物化学变化结合起来,但需要更多的研究来证明其高成本和时间。人工智能的新工具,包括机器学习模型,可以帮助检测KOA的模式和相关性,这些模式和相关性可能在诊断、分级、预测关节置换术需求和提高手术准确性方面有用。
本文章由计算机程序翻译,如有差异,请以英文原文为准。
求助全文
约1分钟内获得全文 求助全文
来源期刊
Iranian Endodontic Journal
Iranian Endodontic Journal Dentistry-Dentistry (all)
CiteScore
1.30
自引率
0.00%
发文量
0
审稿时长
12 weeks
期刊介绍: The Iranian Endodontic Journal (IEJ) is an international peer-reviewed biomedical publication, the aim of which is to provide a scientific medium of communication for researchers throughout the globe. IEJ aims to publish the highest quality articles, both clinical and scientific, on all aspects of Endodontics. The journal is an official Journal of the Iranian Center for Endodontic Research (ICER) and the Iranian Association of Endodontists (IAE). The Journal welcomes articles related to the scientific or applied aspects of endodontics e.g. original researches, systematic reviews, meta-analyses, review articles, clinical trials, case series/reports, hypotheses, letters to the editor, etc. From the beginning (i.e. since 2006), the IEJ was the first open access endodontic journal in the world, which gave readers free and instant access to published articles and enabling them faster discovery of the latest endodontic research.
×
引用
GB/T 7714-2015
复制
MLA
复制
APA
复制
导出至
BibTeX EndNote RefMan NoteFirst NoteExpress
×
提示
您的信息不完整,为了账户安全,请先补充。
现在去补充
×
提示
您因"违规操作"
具体请查看互助需知
我知道了
×
提示
确定
请完成安全验证×
copy
已复制链接
快去分享给好友吧!
我知道了
右上角分享
点击右上角分享
0
联系我们:info@booksci.cn Book学术提供免费学术资源搜索服务,方便国内外学者检索中英文文献。致力于提供最便捷和优质的服务体验。 Copyright © 2023 布克学术 All rights reserved.
京ICP备2023020795号-1
ghs 京公网安备 11010802042870号
Book学术文献互助
Book学术文献互助群
群 号:604180095
Book学术官方微信