Recurrence of Rathke's Cleft Cyst Following Surgery and Histopathological Considerations for Recurrence: A Case Presentation.

Dongwook Lee, Jang Hun Kim, Dong-Hyuk Park, Shin-Hyuk Kang, Kyung-Jae Park
{"title":"Recurrence of Rathke's Cleft Cyst Following Surgery and Histopathological Considerations for Recurrence: A Case Presentation.","authors":"Dongwook Lee, Jang Hun Kim, Dong-Hyuk Park, Shin-Hyuk Kang, Kyung-Jae Park","doi":"10.14791/btrt.2023.0025","DOIUrl":null,"url":null,"abstract":"<p><p>Recurrence of Rathke's cleft cysts (RCC) following surgery is not uncommon. We present a 33-year-old male patient with chronic headache and visual disturbances whose MRI showed mostly cystic, suprasellar mass with peripheral enhancement. Endoscopic extended transsphenoidal approach and tumor resection was performed and RCC was pathologically confirmed postoperatively. Early recurrence was first suspected at 3 months following surgery, and his serial MRIs showed a recurred mass without associated clinical symptoms. Upon further histopathological study, extensive squamous metaplasia and high Ki-67 were seen. Also, in this study, we discuss important factors associated with cyst recurrence following surgery.</p>","PeriodicalId":72453,"journal":{"name":"Brain tumor research and treatment","volume":"11 4","pages":"266-270"},"PeriodicalIF":0.0000,"publicationDate":"2023-10-01","publicationTypes":"Journal Article","fieldsOfStudy":null,"isOpenAccess":false,"openAccessPdf":"https://www.ncbi.nlm.nih.gov/pmc/articles/PMC10641313/pdf/","citationCount":"0","resultStr":null,"platform":"Semanticscholar","paperid":null,"PeriodicalName":"Brain tumor research and treatment","FirstCategoryId":"1085","ListUrlMain":"https://doi.org/10.14791/btrt.2023.0025","RegionNum":0,"RegionCategory":null,"ArticlePicture":[],"TitleCN":null,"AbstractTextCN":null,"PMCID":null,"EPubDate":"","PubModel":"","JCR":"","JCRName":"","Score":null,"Total":0}
引用次数: 0

Abstract

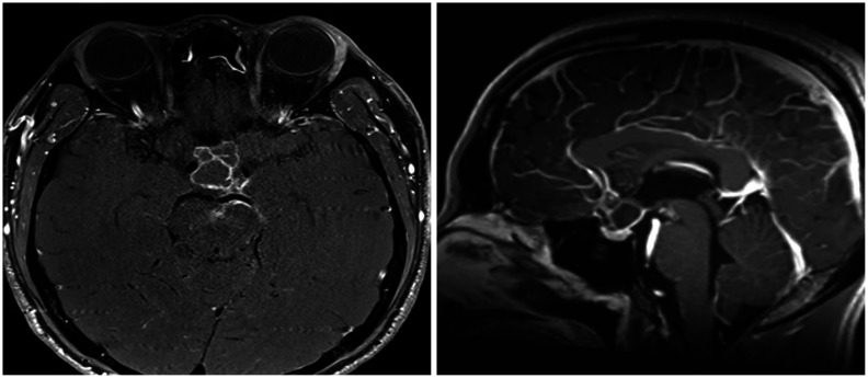
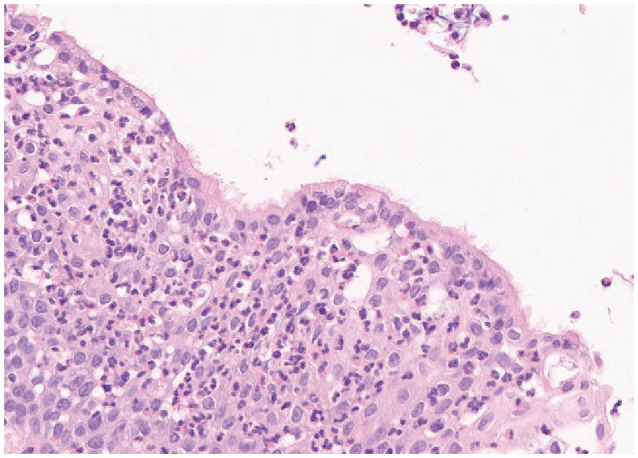
Recurrence of Rathke's cleft cysts (RCC) following surgery is not uncommon. We present a 33-year-old male patient with chronic headache and visual disturbances whose MRI showed mostly cystic, suprasellar mass with peripheral enhancement. Endoscopic extended transsphenoidal approach and tumor resection was performed and RCC was pathologically confirmed postoperatively. Early recurrence was first suspected at 3 months following surgery, and his serial MRIs showed a recurred mass without associated clinical symptoms. Upon further histopathological study, extensive squamous metaplasia and high Ki-67 were seen. Also, in this study, we discuss important factors associated with cyst recurrence following surgery.

Abstract Image

Abstract Image

Abstract Image

Rathke's裂囊肿术后复发和复发的组织病理学考虑:一个病例报告。
Rathke's裂囊肿(RCC)术后复发并不罕见。我们报告一位33岁的男性慢性头痛和视觉障碍患者,其MRI显示主要是囊性,鞍上肿块并周围增强。经内镜扩展蝶窦入路行肿瘤切除术,术后病理证实RCC。术后3个月首次怀疑早期复发,连续mri显示复发肿块,无相关临床症状。经进一步组织病理学检查,可见广泛的鳞状化生和高Ki-67。此外,在本研究中,我们讨论了与手术后囊肿复发相关的重要因素。
本文章由计算机程序翻译,如有差异,请以英文原文为准。
求助全文
约1分钟内获得全文 求助全文
来源期刊
自引率
0.00%
发文量
0
×
引用
GB/T 7714-2015
复制
MLA
复制
APA
复制
导出至
BibTeX EndNote RefMan NoteFirst NoteExpress
×
提示
您的信息不完整,为了账户安全,请先补充。
现在去补充
×
提示
您因"违规操作"
具体请查看互助需知
我知道了
×
提示
确定
请完成安全验证×
copy
已复制链接
快去分享给好友吧!
我知道了
右上角分享
点击右上角分享
0
联系我们:info@booksci.cn Book学术提供免费学术资源搜索服务,方便国内外学者检索中英文文献。致力于提供最便捷和优质的服务体验。 Copyright © 2023 布克学术 All rights reserved.
京ICP备2023020795号-1
ghs 京公网安备 11010802042870号
Book学术文献互助
Book学术文献互助群
群 号:604180095
Book学术官方微信