Awake Surgery for Lesional Epilepsy in Resource-Limited Settings: Case Report and Review of Literature.

Mohammad Hamza Bajwa, Syeda Amrah Hashmi, Abdullah Nisar, Muhammad Waqas Baqai, Saqib Kamran Bakhshi, Muskaan Abdul Qadir, Faraz Shafiq, Syed Ather Enam
{"title":"Awake Surgery for Lesional Epilepsy in Resource-Limited Settings: Case Report and Review of Literature.","authors":"Mohammad Hamza Bajwa, Syeda Amrah Hashmi, Abdullah Nisar, Muhammad Waqas Baqai, Saqib Kamran Bakhshi, Muskaan Abdul Qadir, Faraz Shafiq, Syed Ather Enam","doi":"10.14791/btrt.2023.0035","DOIUrl":null,"url":null,"abstract":"<p><p>Epilepsy surgery is a well-established treatment for drug-resistant epilepsy, with awake craniotomy being used in certain cases to remove epileptogenic foci while preserving crucial brain functions. We are presenting the first reported case from Pakistan of a 19-year-old woman who underwent awake epilepsy surgery to treat cortical dysplasia. She had a history of generalized tonic-clonic seizures since her childhood and was referred to our clinic due to an increase in seizure frequency. EEG and MRI identified the epileptogenic focus in the right parieto-temporal region. The patient underwent a neuro-navigation guided awake craniotomy and an excision of the epileptogenic focus in the right parieto-temporal region. The procedure was carried out using a scalp block and dexmedetomidine for conscious sedation, enabling the patient to remain awake throughout the surgery. Intraoperative mapping and electrocorticography were used for complex multidisciplinary care. Post-resection corticography showed no spikes along the resected margins. The patient was discharged without any complications and remained free of symptoms a year after the surgery. Awake epilepsy surgery is a viable option for removing epileptogenic foci while preserving vital cognitive functions. However, it is seldom used in low- and middle-income countries such as Pakistan. The successful outcome of this case underscores the need for greater awareness and availability of epilepsy surgery in resource-limited settings. Cost-effective measures, such as using small subdural strips for intraoperative localization, can be implemented.</p>","PeriodicalId":72453,"journal":{"name":"Brain tumor research and treatment","volume":"11 4","pages":"289-294"},"PeriodicalIF":0.0000,"publicationDate":"2023-10-01","publicationTypes":"Journal Article","fieldsOfStudy":null,"isOpenAccess":false,"openAccessPdf":"https://www.ncbi.nlm.nih.gov/pmc/articles/PMC10641320/pdf/","citationCount":"0","resultStr":null,"platform":"Semanticscholar","paperid":null,"PeriodicalName":"Brain tumor research and treatment","FirstCategoryId":"1085","ListUrlMain":"https://doi.org/10.14791/btrt.2023.0035","RegionNum":0,"RegionCategory":null,"ArticlePicture":[],"TitleCN":null,"AbstractTextCN":null,"PMCID":null,"EPubDate":"","PubModel":"","JCR":"","JCRName":"","Score":null,"Total":0}
引用次数: 0

Abstract

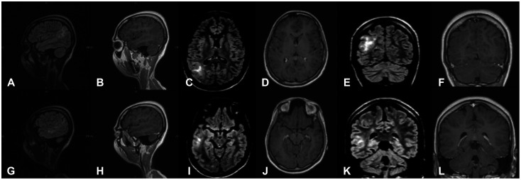
Epilepsy surgery is a well-established treatment for drug-resistant epilepsy, with awake craniotomy being used in certain cases to remove epileptogenic foci while preserving crucial brain functions. We are presenting the first reported case from Pakistan of a 19-year-old woman who underwent awake epilepsy surgery to treat cortical dysplasia. She had a history of generalized tonic-clonic seizures since her childhood and was referred to our clinic due to an increase in seizure frequency. EEG and MRI identified the epileptogenic focus in the right parieto-temporal region. The patient underwent a neuro-navigation guided awake craniotomy and an excision of the epileptogenic focus in the right parieto-temporal region. The procedure was carried out using a scalp block and dexmedetomidine for conscious sedation, enabling the patient to remain awake throughout the surgery. Intraoperative mapping and electrocorticography were used for complex multidisciplinary care. Post-resection corticography showed no spikes along the resected margins. The patient was discharged without any complications and remained free of symptoms a year after the surgery. Awake epilepsy surgery is a viable option for removing epileptogenic foci while preserving vital cognitive functions. However, it is seldom used in low- and middle-income countries such as Pakistan. The successful outcome of this case underscores the need for greater awareness and availability of epilepsy surgery in resource-limited settings. Cost-effective measures, such as using small subdural strips for intraoperative localization, can be implemented.

Abstract Image

Abstract Image

Abstract Image

在资源有限的情况下清醒手术治疗病变性癫痫:病例报告和文献回顾。
癫痫手术是治疗耐药癫痫的一种行之有效的方法,在某些情况下,清醒开颅术用于切除致癫痫灶,同时保留关键的脑功能。我们报告的是巴基斯坦首例报道的病例,一名19岁的女性接受清醒癫痫手术治疗皮质发育不良。她从小就有全身性强直阵挛发作的病史,由于发作频率增加而被转介到我们诊所。脑电图和核磁共振显示癫痫灶位于右侧顶叶颞叶区。患者接受了神经导航引导下的清醒开颅术,并切除了右侧顶叶颞叶区的致痫灶。手术过程中使用头皮阻滞和右美托咪定进行清醒镇静,使患者在整个手术过程中保持清醒。术中测图和皮质电图用于复杂的多学科护理。术后皮质造影显示切除边缘未见尖峰。患者出院时无任何并发症,术后一年无任何症状。清醒癫痫手术是一种可行的选择,以去除致癫痫灶,同时保留重要的认知功能。然而,在巴基斯坦等低收入和中等收入国家很少使用。该病例的成功结果强调了在资源有限的环境中需要提高对癫痫手术的认识和可得性。可以采取成本效益高的措施,如术中使用小硬膜下条进行定位。
本文章由计算机程序翻译,如有差异,请以英文原文为准。
求助全文
约1分钟内获得全文 求助全文
来源期刊
自引率
0.00%
发文量
0
×
引用
GB/T 7714-2015
复制
MLA
复制
APA
复制
导出至
BibTeX EndNote RefMan NoteFirst NoteExpress
×
提示
您的信息不完整,为了账户安全,请先补充。
现在去补充
×
提示
您因"违规操作"
具体请查看互助需知
我知道了
×
提示
确定
请完成安全验证×
copy
已复制链接
快去分享给好友吧!
我知道了
右上角分享
点击右上角分享
0
联系我们:info@booksci.cn Book学术提供免费学术资源搜索服务,方便国内外学者检索中英文文献。致力于提供最便捷和优质的服务体验。 Copyright © 2023 布克学术 All rights reserved.
京ICP备2023020795号-1
ghs 京公网安备 11010802042870号
Book学术文献互助
Book学术文献互助群
群 号:604180095
Book学术官方微信