Oxalate Nephropathy and the Mechanism of Oxalate-Induced Kidney Injury.

IF 0.8 4区 社会学 Q3 ETHNIC STUDIES
Journal of Black Studies Pub Date : 2023-07-27 eCollection Date: 2023-12-01 DOI:10.1159/000533295
Daorina Bao, Yu Wang, Ming-Hui Zhao
{"title":"Oxalate Nephropathy and the Mechanism of Oxalate-Induced Kidney Injury.","authors":"Daorina Bao, Yu Wang, Ming-Hui Zhao","doi":"10.1159/000533295","DOIUrl":null,"url":null,"abstract":"<p><strong>Background: </strong>Hyperoxaluria is a major cause of oxalate nephropathy, which can lead to impaired renal function presenting as acute kidney injury, acute on chronic kidney disease, or chronic kidney disease. The Chronic Renal Insufficiency Cohort study showed that higher urinary oxalate is associated with renal outcome in patients with chronic kidney disease, supporting the nephrotoxicity of oxalate. Therefore, a better understanding of the role of oxalate in kidney injury is needed. This review describes the metabolism of oxalate and the clinical and pathology presentation of oxalate nephropathy. It also summarizes the available evidence for the underlying pathogenic mechanism and the development of treatments for oxalate-induced kidney injury.</p><p><strong>Summary: </strong>Disruption to any key step in the oxalate pathway including abnormal endogenous generation, ingestion of abnormally high dose of oxalate, increased absorption or attenuation of oxalate degradation in the gut, and reduced excretion through the kidney may lead to disrupted oxalate homeostasis. Oxalate nephropathy is mainly caused by hyperoxaluria. Oxalate crystal deposition in the kidney is usually accompanied with tubular toxicity, obstruction, interstitial fibrosis, and tubular atrophy. The mechanism of oxalate-induced renal injury has not been fully clarified. Evidence from both in vivo and in vitro studies shows that NLRP3 inflammasome activation and macrophage infiltration are involved in the processes of crystal adhesion, aggregation, and elimination and promote intrarenal inflammation and renal fibrosis. Novel treatment strategies have been developed and targeted therapies tested for oxalate nephropathy.</p><p><strong>Key messages: </strong>Prompt diagnosis and management may help to reduce the deposition of calcium oxalate crystals in the kidney. Further studies are needed to clarify the underlying mechanisms to help develop more targeted therapies for oxalate nephropathy.</p>","PeriodicalId":47356,"journal":{"name":"Journal of Black Studies","volume":"47 1","pages":"459-468"},"PeriodicalIF":0.8000,"publicationDate":"2023-07-27","publicationTypes":"Journal Article","fieldsOfStudy":null,"isOpenAccess":false,"openAccessPdf":"https://www.ncbi.nlm.nih.gov/pmc/articles/PMC10712969/pdf/","citationCount":"0","resultStr":null,"platform":"Semanticscholar","paperid":null,"PeriodicalName":"Journal of Black Studies","FirstCategoryId":"3","ListUrlMain":"https://doi.org/10.1159/000533295","RegionNum":4,"RegionCategory":"社会学","ArticlePicture":[],"TitleCN":null,"AbstractTextCN":null,"PMCID":null,"EPubDate":"2023/12/1 0:00:00","PubModel":"eCollection","JCR":"Q3","JCRName":"ETHNIC STUDIES","Score":null,"Total":0}
引用次数: 0

Abstract

Background: Hyperoxaluria is a major cause of oxalate nephropathy, which can lead to impaired renal function presenting as acute kidney injury, acute on chronic kidney disease, or chronic kidney disease. The Chronic Renal Insufficiency Cohort study showed that higher urinary oxalate is associated with renal outcome in patients with chronic kidney disease, supporting the nephrotoxicity of oxalate. Therefore, a better understanding of the role of oxalate in kidney injury is needed. This review describes the metabolism of oxalate and the clinical and pathology presentation of oxalate nephropathy. It also summarizes the available evidence for the underlying pathogenic mechanism and the development of treatments for oxalate-induced kidney injury.

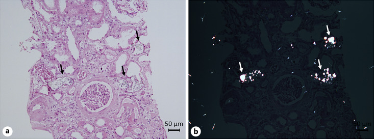
Summary: Disruption to any key step in the oxalate pathway including abnormal endogenous generation, ingestion of abnormally high dose of oxalate, increased absorption or attenuation of oxalate degradation in the gut, and reduced excretion through the kidney may lead to disrupted oxalate homeostasis. Oxalate nephropathy is mainly caused by hyperoxaluria. Oxalate crystal deposition in the kidney is usually accompanied with tubular toxicity, obstruction, interstitial fibrosis, and tubular atrophy. The mechanism of oxalate-induced renal injury has not been fully clarified. Evidence from both in vivo and in vitro studies shows that NLRP3 inflammasome activation and macrophage infiltration are involved in the processes of crystal adhesion, aggregation, and elimination and promote intrarenal inflammation and renal fibrosis. Novel treatment strategies have been developed and targeted therapies tested for oxalate nephropathy.

Key messages: Prompt diagnosis and management may help to reduce the deposition of calcium oxalate crystals in the kidney. Further studies are needed to clarify the underlying mechanisms to help develop more targeted therapies for oxalate nephropathy.

Abstract Image

Abstract Image

草酸盐肾病和草酸盐诱发肾损伤的机制。
背景:高草酸尿症是草酸盐肾病的主要病因,可导致肾功能受损,表现为急性肾损伤、急性慢性肾病或慢性肾病。慢性肾功能不全队列研究表明,尿草酸盐的升高与慢性肾病患者的肾功能预后有关,支持了草酸盐的肾毒性。因此,需要更好地了解草酸盐在肾损伤中的作用。本综述介绍了草酸盐的代谢以及草酸盐肾病的临床和病理表现。摘要:草酸盐途径中任何关键步骤的破坏,包括异常的内源性生成、摄入异常高剂量的草酸盐、吸收增加或肠道中草酸盐降解的减弱,以及通过肾脏排泄的减少,都可能导致草酸盐稳态的破坏。草酸盐肾病主要由高草酸尿症引起。草酸盐晶体在肾脏沉积通常伴有肾小管毒性、阻塞、间质纤维化和肾小管萎缩。草酸盐诱发肾损伤的机制尚未完全阐明。体内和体外研究的证据表明,NLRP3 炎性体的激活和巨噬细胞的浸润参与了晶体的粘附、聚集和消除过程,并促进了肾内炎症和肾脏纤维化。目前已针对草酸盐肾病制定了新的治疗策略,并对靶向疗法进行了测试:关键信息:及时诊断和治疗有助于减少草酸钙晶体在肾脏的沉积。需要开展进一步研究,以阐明其潜在机制,从而帮助开发更多针对草酸盐肾病的疗法。
本文章由计算机程序翻译,如有差异,请以英文原文为准。
求助全文
约1分钟内获得全文 求助全文
来源期刊
CiteScore
2.20
自引率
0.00%
发文量
28
期刊介绍: For the last quarter of a century, the Journal of Black Studies has been the leading source for dynamic, innovative, and creative approach on the Black experience. Poised to remain at the forefront of the recent explosive growth in quality scholarship in the field of Black studies, the Journal of Black Studies is now published six times per year. This means a greater number of important and intellectually provocative articles exploring key issues facing African Americans and Blacks can now be given voice. The scholarship inside JBS covers a wide range of subject areas, including: society, social issues, Afrocentricity, economics, culture, media, literature, language, heritage, and biology.
×
引用
GB/T 7714-2015
复制
MLA
复制
APA
复制
导出至
BibTeX EndNote RefMan NoteFirst NoteExpress
×
提示
您的信息不完整,为了账户安全,请先补充。
现在去补充
×
提示
您因"违规操作"
具体请查看互助需知
我知道了
×
提示
确定
请完成安全验证×
copy
已复制链接
快去分享给好友吧!
我知道了
右上角分享
点击右上角分享
0
联系我们:info@booksci.cn Book学术提供免费学术资源搜索服务,方便国内外学者检索中英文文献。致力于提供最便捷和优质的服务体验。 Copyright © 2023 布克学术 All rights reserved.
京ICP备2023020795号-1
ghs 京公网安备 11010802042870号
Book学术文献互助
Book学术文献互助群
群 号:604180095
Book学术官方微信