Potential Mechanisms of COVID-19-related Intracranial Hemorrhage Due to Temporary Depletion of Vitamin K-dependent Coagulation Factors: An Illustrative Case.

Q2 Arts and Humanities
Bulletin of Science, Technology and Society Pub Date : 2022-04-01 eCollection Date: 2022-01-01 DOI:10.2176/jns-nmc.2021-0295
Narihide Shinoda, Shogo Tamura, Masafumi Mori, Mitsugu Nakamura, Kazuyoshi Korosue, Shigeru Kose
{"title":"Potential Mechanisms of COVID-19-related Intracranial Hemorrhage Due to Temporary Depletion of Vitamin K-dependent Coagulation Factors: An Illustrative Case.","authors":"Narihide Shinoda, Shogo Tamura, Masafumi Mori, Mitsugu Nakamura, Kazuyoshi Korosue, Shigeru Kose","doi":"10.2176/jns-nmc.2021-0295","DOIUrl":null,"url":null,"abstract":"<p><p>Coronavirus disease 2019 (COVID-19)-related intracranial hemorrhage (ICH) is believed to be associated with at least one known risk factor for ICH, such as hypertension, hyperlipidemia, diabetes mellitus, severe pneumonia, or anticoagulation therapy. However, in this study, we report a case of ICH in a 14-year-old boy with mild COVID-19 infection without pneumonia who had no such risk factors. The only abnormal laboratory finding was temporary depletion of vitamin K-dependent coagulation factors. This case indicates that COVID-19 infection may cause simultaneous asymptomatic intracranial microhemorrhages and temporary depletion of vitamin K-dependent coagulation factors. This temporary depletion might transform the intracranial microhemorrhages into symptomatic ICH.</p>","PeriodicalId":38848,"journal":{"name":"Bulletin of Science, Technology and Society","volume":"7 1","pages":"63-67"},"PeriodicalIF":0.0000,"publicationDate":"2022-04-01","publicationTypes":"Journal Article","fieldsOfStudy":null,"isOpenAccess":false,"openAccessPdf":"https://www.ncbi.nlm.nih.gov/pmc/articles/PMC9020866/pdf/","citationCount":"0","resultStr":null,"platform":"Semanticscholar","paperid":null,"PeriodicalName":"Bulletin of Science, Technology and Society","FirstCategoryId":"1085","ListUrlMain":"https://doi.org/10.2176/jns-nmc.2021-0295","RegionNum":0,"RegionCategory":null,"ArticlePicture":[],"TitleCN":null,"AbstractTextCN":null,"PMCID":null,"EPubDate":"2022/1/1 0:00:00","PubModel":"eCollection","JCR":"Q2","JCRName":"Arts and Humanities","Score":null,"Total":0}
引用次数: 0

Abstract

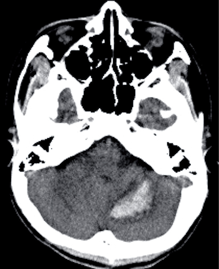
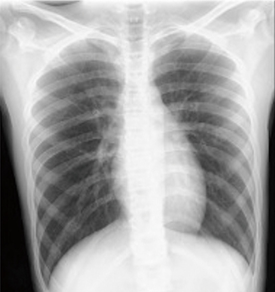
Coronavirus disease 2019 (COVID-19)-related intracranial hemorrhage (ICH) is believed to be associated with at least one known risk factor for ICH, such as hypertension, hyperlipidemia, diabetes mellitus, severe pneumonia, or anticoagulation therapy. However, in this study, we report a case of ICH in a 14-year-old boy with mild COVID-19 infection without pneumonia who had no such risk factors. The only abnormal laboratory finding was temporary depletion of vitamin K-dependent coagulation factors. This case indicates that COVID-19 infection may cause simultaneous asymptomatic intracranial microhemorrhages and temporary depletion of vitamin K-dependent coagulation factors. This temporary depletion might transform the intracranial microhemorrhages into symptomatic ICH.

Abstract Image

Abstract Image

Abstract Image

维生素 K 依赖性凝血因子暂时耗竭导致 COVID-19 相关颅内出血的潜在机制:一个说明性病例。
与冠状病毒病 2019(COVID-19)相关的颅内出血(ICH)被认为至少与一个已知的 ICH 危险因素有关,如高血压、高脂血症、糖尿病、重症肺炎或抗凝治疗。然而,在本研究中,我们报告了一例 ICH 病例,患者是一名 14 岁男孩,患有轻度 COVID-19 感染,无肺炎,且无上述危险因素。唯一的实验室异常发现是维生素 K 依赖性凝血因子的暂时性耗竭。该病例表明,COVID-19 感染可能同时导致无症状性颅内微出血和维生素 K 依赖性凝血因子的暂时性耗竭。这种暂时性消耗可能会将颅内微出血转变为有症状的 ICH。
本文章由计算机程序翻译,如有差异,请以英文原文为准。
求助全文
约1分钟内获得全文 求助全文
来源期刊
Bulletin of Science, Technology and Society
Bulletin of Science, Technology and Society Arts and Humanities-History and Philosophy of Science
CiteScore
2.60
自引率
0.00%
发文量
9
×
引用
GB/T 7714-2015
复制
MLA
复制
APA
复制
导出至
BibTeX EndNote RefMan NoteFirst NoteExpress
×
提示
您的信息不完整,为了账户安全,请先补充。
现在去补充
×
提示
您因"违规操作"
具体请查看互助需知
我知道了
×
提示
确定
请完成安全验证×
copy
已复制链接
快去分享给好友吧!
我知道了
右上角分享
点击右上角分享
0
联系我们:info@booksci.cn Book学术提供免费学术资源搜索服务,方便国内外学者检索中英文文献。致力于提供最便捷和优质的服务体验。 Copyright © 2023 布克学术 All rights reserved.
京ICP备2023020795号-1
ghs 京公网安备 11010802042870号
Book学术文献互助
Book学术文献互助群
群 号:604180095
Book学术官方微信