Autoimmune Liver Disease in Human Immunodeficiency Virus-Infected Patients: 3 Case Series.

IF 0.2 3区 文学 0 LITERATURE
Literature Compass Pub Date : 2022-11-14 eCollection Date: 2023-11-01 DOI:10.1159/000527337
Maria Ana Rafael, Filipa Bordalo Ferreira, Rita Theias Manso, Francesca Peruzzu, Mariana Cardoso
{"title":"Autoimmune Liver Disease in Human Immunodeficiency Virus-Infected Patients: 3 Case Series.","authors":"Maria Ana Rafael, Filipa Bordalo Ferreira, Rita Theias Manso, Francesca Peruzzu, Mariana Cardoso","doi":"10.1159/000527337","DOIUrl":null,"url":null,"abstract":"<p><p>We present 3 cases of autoimmune liver disease in human immunodeficiency virus (HIV)-infected patients and describe the different diagnostic and therapeutic approaches used in each case. The first patient was diagnosed with primary biliary cholangitis (PBC) with features of autoimmune hepatitis (AIH), requiring second-line therapy due to incomplete response to ursodeoxycholic acid. The second patient was diagnosed with AIH with features of PBC and had the particular challenges of presenting with advanced liver fibrosis and having a past history of disseminated cytomegalovirus infection. The last case concerns an AIH with acute liver injury, successfully treated with corticosteroids and azathioprine. Recently, the number of patients on antiretroviral therapy (ART) for HIV disease has increased significantly. Therefore, more patients with this chronic infection have been diagnosed with autoimmune diseases, leading to concerns regarding immunosuppressive therapies in this population. With these cases, we alert for these increasingly incident diseases and support the safety of immunosuppressive therapies, provided that HIV is suppressed with ART.</p>","PeriodicalId":45243,"journal":{"name":"Literature Compass","volume":"4 1","pages":"26-31"},"PeriodicalIF":0.2000,"publicationDate":"2022-11-14","publicationTypes":"Journal Article","fieldsOfStudy":null,"isOpenAccess":false,"openAccessPdf":"https://www.ncbi.nlm.nih.gov/pmc/articles/PMC10661708/pdf/","citationCount":"0","resultStr":null,"platform":"Semanticscholar","paperid":null,"PeriodicalName":"Literature Compass","FirstCategoryId":"1085","ListUrlMain":"https://doi.org/10.1159/000527337","RegionNum":3,"RegionCategory":"文学","ArticlePicture":[],"TitleCN":null,"AbstractTextCN":null,"PMCID":null,"EPubDate":"2023/11/1 0:00:00","PubModel":"eCollection","JCR":"0","JCRName":"LITERATURE","Score":null,"Total":0}
引用次数: 0

Abstract

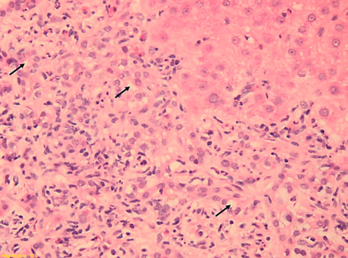
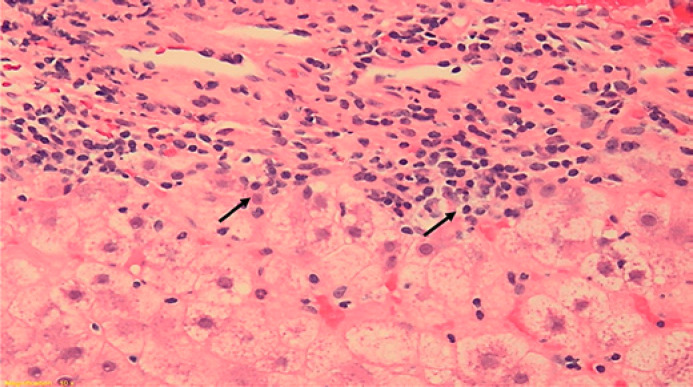
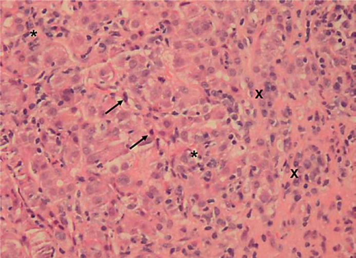
We present 3 cases of autoimmune liver disease in human immunodeficiency virus (HIV)-infected patients and describe the different diagnostic and therapeutic approaches used in each case. The first patient was diagnosed with primary biliary cholangitis (PBC) with features of autoimmune hepatitis (AIH), requiring second-line therapy due to incomplete response to ursodeoxycholic acid. The second patient was diagnosed with AIH with features of PBC and had the particular challenges of presenting with advanced liver fibrosis and having a past history of disseminated cytomegalovirus infection. The last case concerns an AIH with acute liver injury, successfully treated with corticosteroids and azathioprine. Recently, the number of patients on antiretroviral therapy (ART) for HIV disease has increased significantly. Therefore, more patients with this chronic infection have been diagnosed with autoimmune diseases, leading to concerns regarding immunosuppressive therapies in this population. With these cases, we alert for these increasingly incident diseases and support the safety of immunosuppressive therapies, provided that HIV is suppressed with ART.

Abstract Image

Abstract Image

Abstract Image

人类免疫缺陷病毒感染患者的自身免疫性肝病:3个病例系列
我们报告了3例人类免疫缺陷病毒(HIV)感染患者的自身免疫性肝病,并描述了在每个病例中使用的不同诊断和治疗方法。第一位患者被诊断为原发性胆道胆管炎(PBC),伴有自身免疫性肝炎(AIH)的特征,由于对熊去氧胆酸的不完全反应,需要二线治疗。第二例患者被诊断为AIH,伴有PBC特征,并具有晚期肝纤维化和既往弥散性巨细胞病毒感染史的特殊挑战。最后一个病例涉及急性肝损伤AIH,用皮质类固醇和硫唑嘌呤成功治疗。最近,接受抗逆转录病毒疗法(ART)治疗艾滋病毒疾病的患者人数显著增加。因此,越来越多的慢性感染患者被诊断为自身免疫性疾病,导致对这一人群的免疫抑制治疗的关注。在这些病例中,我们对这些日益频繁发生的疾病提出了警告,并支持免疫抑制疗法的安全性,前提是抗逆转录病毒疗法能抑制艾滋病毒。
本文章由计算机程序翻译,如有差异,请以英文原文为准。
求助全文
约1分钟内获得全文 求助全文
来源期刊
Literature Compass
Literature Compass LITERATURE-
CiteScore
0.50
自引率
33.30%
发文量
39
×
引用
GB/T 7714-2015
复制
MLA
复制
APA
复制
导出至
BibTeX EndNote RefMan NoteFirst NoteExpress
×
提示
您的信息不完整,为了账户安全,请先补充。
现在去补充
×
提示
您因"违规操作"
具体请查看互助需知
我知道了
×
提示
确定
请完成安全验证×
copy
已复制链接
快去分享给好友吧!
我知道了
右上角分享
点击右上角分享
0
联系我们:info@booksci.cn Book学术提供免费学术资源搜索服务,方便国内外学者检索中英文文献。致力于提供最便捷和优质的服务体验。 Copyright © 2023 布克学术 All rights reserved.
京ICP备2023020795号-1
ghs 京公网安备 11010802042870号
Book学术文献互助
Book学术文献互助群
群 号:604180095
Book学术官方微信