Synchronous gallbladder metastasis originating from residual gastric cancer: a case report and the review of literature.

IF 44.8 1区 物理与天体物理 Q1 PHYSICS, MULTIDISCIPLINARY
Ami Kawamoto, Koichi Kimura, Kosuke Hirose, Takuma Izumi, Daisuke Taniguchi, Hiroko Yano, Yuichiro Kajiwara, Ryosuke Minagawa, Kazuhito Minami, Yumi Oshiro, Takashi Nishizaki
{"title":"Synchronous gallbladder metastasis originating from residual gastric cancer: a case report and the review of literature.","authors":"Ami Kawamoto, Koichi Kimura, Kosuke Hirose, Takuma Izumi, Daisuke Taniguchi, Hiroko Yano, Yuichiro Kajiwara, Ryosuke Minagawa, Kazuhito Minami, Yumi Oshiro, Takashi Nishizaki","doi":"10.1186/s40792-022-01442-5","DOIUrl":null,"url":null,"abstract":"<p><strong>Background: </strong>Gastric cancer rarely metastasizes to the gallbladder. Furthermore, there has never been a case report of simultaneous gallbladder metastasis from residual gastric cancer. Here, we report a case of synchronous gallbladder metastasis originating from a residual gastric cancer.</p><p><strong>Case presentation: </strong>A 67-year-old man underwent a follow-up upper endoscopy 18 months after a partial gastrectomy for gastric cancer; an ulcerative lesion was found in the remnant stomach at the gastrojejunal anastomosis. A biopsy revealed gastric signet-ring cell carcinoma (SRCC). A full-body examination revealed no abnormalities other than gallstones in the gallbladder. With a diagnosis of residual gastric cancer (cT2N0M0 cStage I), the patient underwent open total gastrectomy and cholecystectomy. Macroscopic findings of the resected specimen revealed thickening of the gallbladder wall; however, no obvious neoplastic lesions were found on the mucosal surface of the gallbladder. The pathological findings showed that the SRCC had invaded the submucosa of the gastrojejunostomy site with a high degree of lymphatic invasion and lymph node metastases. SRCCs were also found in the lymphatic vessels of the gallbladder wall. These findings suggested the possibility of gallbladder metastasis through lymphatic vessels. The patient and his family members refused postoperative chemotherapy. Ten months after the operation, the patient experienced respiratory failure due to lymphangitis carcinomatosa and died.</p><p><strong>Conclusions: </strong>At present, it is difficult to determine whether resection of the gallbladder contributes to an improved prognosis of gastric cancer patients. However, reports in such cases demonstrate that gallbladder metastasis could be a poor predictor of prognosis for gastric cancer.</p>","PeriodicalId":21172,"journal":{"name":"Reviews of Modern Physics","volume":"51 1","pages":"88"},"PeriodicalIF":44.8000,"publicationDate":"2022-05-07","publicationTypes":"Journal Article","fieldsOfStudy":null,"isOpenAccess":false,"openAccessPdf":"https://www.ncbi.nlm.nih.gov/pmc/articles/PMC9079201/pdf/","citationCount":"0","resultStr":null,"platform":"Semanticscholar","paperid":null,"PeriodicalName":"Reviews of Modern Physics","FirstCategoryId":"1085","ListUrlMain":"https://doi.org/10.1186/s40792-022-01442-5","RegionNum":1,"RegionCategory":"物理与天体物理","ArticlePicture":[],"TitleCN":null,"AbstractTextCN":null,"PMCID":null,"EPubDate":"","PubModel":"","JCR":"Q1","JCRName":"PHYSICS, MULTIDISCIPLINARY","Score":null,"Total":0}
引用次数: 0

Abstract

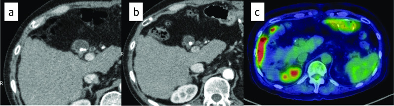
Background: Gastric cancer rarely metastasizes to the gallbladder. Furthermore, there has never been a case report of simultaneous gallbladder metastasis from residual gastric cancer. Here, we report a case of synchronous gallbladder metastasis originating from a residual gastric cancer.

Case presentation: A 67-year-old man underwent a follow-up upper endoscopy 18 months after a partial gastrectomy for gastric cancer; an ulcerative lesion was found in the remnant stomach at the gastrojejunal anastomosis. A biopsy revealed gastric signet-ring cell carcinoma (SRCC). A full-body examination revealed no abnormalities other than gallstones in the gallbladder. With a diagnosis of residual gastric cancer (cT2N0M0 cStage I), the patient underwent open total gastrectomy and cholecystectomy. Macroscopic findings of the resected specimen revealed thickening of the gallbladder wall; however, no obvious neoplastic lesions were found on the mucosal surface of the gallbladder. The pathological findings showed that the SRCC had invaded the submucosa of the gastrojejunostomy site with a high degree of lymphatic invasion and lymph node metastases. SRCCs were also found in the lymphatic vessels of the gallbladder wall. These findings suggested the possibility of gallbladder metastasis through lymphatic vessels. The patient and his family members refused postoperative chemotherapy. Ten months after the operation, the patient experienced respiratory failure due to lymphangitis carcinomatosa and died.

Conclusions: At present, it is difficult to determine whether resection of the gallbladder contributes to an improved prognosis of gastric cancer patients. However, reports in such cases demonstrate that gallbladder metastasis could be a poor predictor of prognosis for gastric cancer.

Abstract Image

Abstract Image

Abstract Image

源自残余胃癌的同步胆囊转移:病例报告和文献综述。
背景:胃癌很少转移到胆囊:胃癌很少转移到胆囊。此外,还从未有过残余胃癌同时转移至胆囊的病例报告。在此,我们报告了一例残留胃癌同步转移至胆囊的病例:一名 67 岁的男性在胃癌部分切除术后 18 个月接受了上内镜随访;在胃空肠吻合处的残胃中发现了溃疡性病变。活检显示为胃标志环细胞癌(SRCC)。全身检查显示,除了胆囊内的胆结石外,没有其他异常。患者被诊断为残留胃癌(cT2N0M0 cstage I),接受了开腹全胃切除术和胆囊切除术。切除标本的宏观检查结果显示胆囊壁增厚,但胆囊粘膜表面未发现明显的肿瘤病变。病理结果显示,SRCC 已经侵犯到胃空肠部位的黏膜下层,并伴有高度淋巴侵犯和淋巴结转移。胆囊壁的淋巴管中也发现了 SRCC。这些发现表明胆囊有可能通过淋巴管转移。患者及其家人拒绝接受术后化疗。术后 10 个月,患者因淋巴管癌变而出现呼吸衰竭,最终不治身亡:目前,还很难确定切除胆囊是否有助于改善胃癌患者的预后。然而,此类病例的报告表明,胆囊转移可能是胃癌预后的一个不良预测因素。
本文章由计算机程序翻译,如有差异,请以英文原文为准。
求助全文
约1分钟内获得全文 求助全文
来源期刊
Reviews of Modern Physics
Reviews of Modern Physics 物理-物理:综合
CiteScore
76.20
自引率
0.70%
发文量
30
期刊介绍: Reviews of Modern Physics (RMP) stands as the world's foremost physics review journal and is the most extensively cited publication within the Physical Review collection. Authored by leading international researchers, RMP's comprehensive essays offer exceptional coverage of a topic, providing context and background for contemporary research trends. Since 1929, RMP has served as an unparalleled platform for authoritative review papers across all physics domains. The journal publishes two types of essays: Reviews and Colloquia. Review articles deliver the present state of a given topic, including historical context, a critical synthesis of research progress, and a summary of potential future developments.
×
引用
GB/T 7714-2015
复制
MLA
复制
APA
复制
导出至
BibTeX EndNote RefMan NoteFirst NoteExpress
×
提示
您的信息不完整,为了账户安全,请先补充。
现在去补充
×
提示
您因"违规操作"
具体请查看互助需知
我知道了
×
提示
确定
请完成安全验证×
copy
已复制链接
快去分享给好友吧!
我知道了
右上角分享
点击右上角分享
0
联系我们:info@booksci.cn Book学术提供免费学术资源搜索服务,方便国内外学者检索中英文文献。致力于提供最便捷和优质的服务体验。 Copyright © 2023 布克学术 All rights reserved.
京ICP备2023020795号-1
ghs 京公网安备 11010802042870号
Book学术文献互助
Book学术文献互助群
群 号:604180095
Book学术官方微信