Acral Solitary Nodule as a First Clinical Manifestation of Chronic Lymphocytic Leukemia.

IF 2.7 Q2 Business, Management and Accounting
Fatemeh Mohaghegh, Nazila Poostiyan, Elnaz Poostiyan
{"title":"Acral Solitary Nodule as a First Clinical Manifestation of Chronic Lymphocytic Leukemia.","authors":"Fatemeh Mohaghegh, Nazila Poostiyan, Elnaz Poostiyan","doi":"10.4103/abr.abr_268_22","DOIUrl":null,"url":null,"abstract":"<p><p>Leukemia cutis is a rare cutaneous manifestation of chronic lymphocytic leukemia (CLL) which mostly occurs in the late stages of the disease. We reported an unusual case of a patient with leukemia cutis that developed before the diagnosis of CLL and mimicked cutaneous leishmaniasis (CL). A 52-year-old female presented with an ulcerative nodule on the right forearm. The lesion initially was suspected of being cutaneous leishmaniasis; however, the examination of skin lesion biopsy revealed a dense, diffuse, and monomorphous infiltration of lymphocytes in the dermis. Furthermore, immuno-histochemistry analysis of skin lesion biopsy was indicative of small lymphocytic lymphoma (SLL). The result of laboratory tests showed high white blood cell and lymphocyte counts. The results of bone marrow smear, flow cytometric analysis, and computed tomography of the abdomen and pelvis were suggestive of CLL/SLL (stage I). This case has clinical implications for early diagnosis and management of CLL/SLL.</p>","PeriodicalId":35464,"journal":{"name":"Journal of International Food and Agribusiness Marketing","volume":"23 1","pages":"222"},"PeriodicalIF":2.7000,"publicationDate":"2023-08-31","publicationTypes":"Journal Article","fieldsOfStudy":null,"isOpenAccess":false,"openAccessPdf":"https://www.ncbi.nlm.nih.gov/pmc/articles/PMC10699217/pdf/","citationCount":"0","resultStr":null,"platform":"Semanticscholar","paperid":null,"PeriodicalName":"Journal of International Food and Agribusiness Marketing","FirstCategoryId":"1085","ListUrlMain":"https://doi.org/10.4103/abr.abr_268_22","RegionNum":0,"RegionCategory":null,"ArticlePicture":[],"TitleCN":null,"AbstractTextCN":null,"PMCID":null,"EPubDate":"2023/1/1 0:00:00","PubModel":"eCollection","JCR":"Q2","JCRName":"Business, Management and Accounting","Score":null,"Total":0}
引用次数: 0

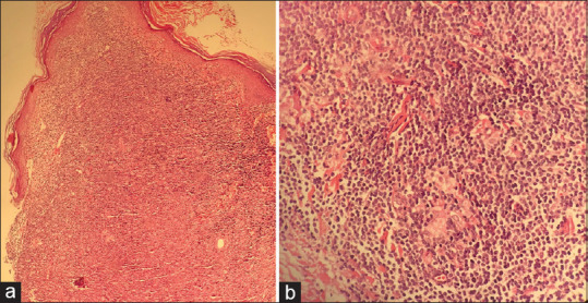
Abstract

Leukemia cutis is a rare cutaneous manifestation of chronic lymphocytic leukemia (CLL) which mostly occurs in the late stages of the disease. We reported an unusual case of a patient with leukemia cutis that developed before the diagnosis of CLL and mimicked cutaneous leishmaniasis (CL). A 52-year-old female presented with an ulcerative nodule on the right forearm. The lesion initially was suspected of being cutaneous leishmaniasis; however, the examination of skin lesion biopsy revealed a dense, diffuse, and monomorphous infiltration of lymphocytes in the dermis. Furthermore, immuno-histochemistry analysis of skin lesion biopsy was indicative of small lymphocytic lymphoma (SLL). The result of laboratory tests showed high white blood cell and lymphocyte counts. The results of bone marrow smear, flow cytometric analysis, and computed tomography of the abdomen and pelvis were suggestive of CLL/SLL (stage I). This case has clinical implications for early diagnosis and management of CLL/SLL.

Abstract Image

Abstract Image

Abstract Image

作为慢性淋巴细胞白血病首发临床表现的凹陷性孤立结节
皮肤白血病是慢性淋巴细胞白血病(CLL)的一种罕见皮肤表现,大多发生在疾病晚期。我们报告了一例不寻常的切口白血病患者,该病在确诊为慢性淋巴细胞白血病之前就已出现,并与皮肤利什曼病(CL)相似。一名 52 岁的女性患者右前臂出现溃疡性结节。起初怀疑是皮肤利什曼病,但皮损活检发现真皮层有密集、弥漫、单形的淋巴细胞浸润。此外,皮损活检的免疫组织化学分析显示为小淋巴细胞淋巴瘤(SLL)。实验室检查结果显示白细胞和淋巴细胞计数较高。骨髓涂片、流式细胞分析以及腹部和盆腔计算机断层扫描结果均提示为 CLL/SLL(I 期)。该病例对 CLL/SLL 的早期诊断和治疗具有临床意义。
本文章由计算机程序翻译,如有差异,请以英文原文为准。
求助全文
约1分钟内获得全文 求助全文
来源期刊
Journal of International Food and Agribusiness Marketing
Journal of International Food and Agribusiness Marketing Business, Management and Accounting-Business and International Management
CiteScore
4.90
自引率
0.00%
发文量
28
期刊介绍: The Journal of International Food & Agribusiness Marketing is a timely journal that serves as a forum for the exchange and dissemination of food and agribusiness marketing knowledge and experiences on an international scale. Designed to study the characteristics and workings of food and agribusiness marketing systems around the world, the journal critically examines marketing issues in the total food business chain prevailing in different parts of the globe by using a systems and cross-cultural/national approach to explain the many facets of food marketing in a range of socioeconomic and political systems.
×
引用
GB/T 7714-2015
复制
MLA
复制
APA
复制
导出至
BibTeX EndNote RefMan NoteFirst NoteExpress
×
提示
您的信息不完整,为了账户安全,请先补充。
现在去补充
×
提示
您因"违规操作"
具体请查看互助需知
我知道了
×
提示
确定
请完成安全验证×
copy
已复制链接
快去分享给好友吧!
我知道了
右上角分享
点击右上角分享
0
联系我们:info@booksci.cn Book学术提供免费学术资源搜索服务,方便国内外学者检索中英文文献。致力于提供最便捷和优质的服务体验。 Copyright © 2023 布克学术 All rights reserved.
京ICP备2023020795号-1
ghs 京公网安备 11010802042870号
Book学术文献互助
Book学术文献互助群
群 号:604180095
Book学术官方微信