Groove Pancreatitis: Clinical Cases and Review of the Literature.

IF 3.4 2区 心理学 Q2 MANAGEMENT
European Journal of Work and Organizational Psychology Pub Date : 2022-11-29 eCollection Date: 2023-12-01 DOI:10.1159/000526855
Catarina Neto do Nascimento, Carolina Palmela, António Sampaio Soares, Maria Lobo Antunes, Catarina Andrade Fidalgo, Luísa Glória
{"title":"Groove Pancreatitis: Clinical Cases and Review of the Literature.","authors":"Catarina Neto do Nascimento, Carolina Palmela, António Sampaio Soares, Maria Lobo Antunes, Catarina Andrade Fidalgo, Luísa Glória","doi":"10.1159/000526855","DOIUrl":null,"url":null,"abstract":"<p><strong>Introduction: </strong>Groove pancreatitis (GP) is a type of chronic segmental pancreatitis that affects the pancreatoduodenal groove area, and it is often misdiagnosed. Outflow obstruction of the minor papilla associated with alcohol consumption seems to be the main pathophysiological mechanism, and it affects mainly middle-aged males. Symptoms include nausea and postprandial vomiting from gastric outlet obstruction, weight loss, and abdominal pain. Despite modern advances, such as radiological and endoscopic methods, distinction between GP and pancreatic cancer remains a challenge, and histological examination is sometimes necessary. When a diagnosis can be obtained without a surgical specimen, management can be conservative in the absence of acute or chronic complications.</p><p><strong>Case presentation: </strong>The authors present 2 clinical cases which portray the diagnostic workup and management decisions of this entity.</p><p><strong>Discussion/conclusion: </strong>GP is a clinical entity, offering diagnostic and therapeutic challenges. Imaging exams are crucial in the diagnosis and follow-up, but surgery may be necessary in a significant number of cases due to the incapacity to rule out malignancy.</p>","PeriodicalId":48240,"journal":{"name":"European Journal of Work and Organizational Psychology","volume":"10 1","pages":"437-443"},"PeriodicalIF":3.4000,"publicationDate":"2022-11-29","publicationTypes":"Journal Article","fieldsOfStudy":null,"isOpenAccess":false,"openAccessPdf":"https://www.ncbi.nlm.nih.gov/pmc/articles/PMC10928862/pdf/","citationCount":"0","resultStr":null,"platform":"Semanticscholar","paperid":null,"PeriodicalName":"European Journal of Work and Organizational Psychology","FirstCategoryId":"1085","ListUrlMain":"https://doi.org/10.1159/000526855","RegionNum":2,"RegionCategory":"心理学","ArticlePicture":[],"TitleCN":null,"AbstractTextCN":null,"PMCID":null,"EPubDate":"2023/12/1 0:00:00","PubModel":"eCollection","JCR":"Q2","JCRName":"MANAGEMENT","Score":null,"Total":0}
引用次数: 0

Abstract

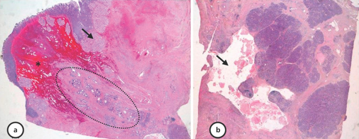
Introduction: Groove pancreatitis (GP) is a type of chronic segmental pancreatitis that affects the pancreatoduodenal groove area, and it is often misdiagnosed. Outflow obstruction of the minor papilla associated with alcohol consumption seems to be the main pathophysiological mechanism, and it affects mainly middle-aged males. Symptoms include nausea and postprandial vomiting from gastric outlet obstruction, weight loss, and abdominal pain. Despite modern advances, such as radiological and endoscopic methods, distinction between GP and pancreatic cancer remains a challenge, and histological examination is sometimes necessary. When a diagnosis can be obtained without a surgical specimen, management can be conservative in the absence of acute or chronic complications.

Case presentation: The authors present 2 clinical cases which portray the diagnostic workup and management decisions of this entity.

Discussion/conclusion: GP is a clinical entity, offering diagnostic and therapeutic challenges. Imaging exams are crucial in the diagnosis and follow-up, but surgery may be necessary in a significant number of cases due to the incapacity to rule out malignancy.

Abstract Image

Abstract Image

Abstract Image

沟状胰腺炎:临床病例和文献综述。
简介沟状胰腺炎(GP)是一种影响胰十二指肠沟区域的慢性节段性胰腺炎,经常被误诊。与饮酒有关的小乳头流出阻塞似乎是主要的病理生理机制,主要影响中年男性。症状包括胃出口梗阻引起的恶心和餐后呕吐、体重减轻和腹痛。尽管放射学和内窥镜方法等现代技术不断进步,但区分 GP 和胰腺癌仍是一项挑战,有时需要进行组织学检查。如果无需手术标本即可确诊,在没有急性或慢性并发症的情况下,可以采取保守治疗:讨论/结论:作者介绍了两个临床病例,描绘了这一实体的诊断工作和管理决策:GP是一种临床实体,给诊断和治疗带来挑战。影像学检查对诊断和随访至关重要,但由于无法排除恶性肿瘤的可能性,很多病例可能需要手术治疗。
本文章由计算机程序翻译,如有差异,请以英文原文为准。
求助全文
约1分钟内获得全文 求助全文
来源期刊
CiteScore
8.00
自引率
2.30%
发文量
40
期刊介绍: The mission of the European Journal of Work and Organizational Psychology is to promote and support the development of Work and Organizational Psychology by publishing high-quality scientific articles that improve our understanding of phenomena occurring in work and organizational settings. The journal publishes empirical, theoretical, methodological, and review articles that are relevant to real-world situations. The journal has a world-wide authorship, readership and editorial board. Submissions from all around the world are invited.
×
引用
GB/T 7714-2015
复制
MLA
复制
APA
复制
导出至
BibTeX EndNote RefMan NoteFirst NoteExpress
×
提示
您的信息不完整,为了账户安全,请先补充。
现在去补充
×
提示
您因"违规操作"
具体请查看互助需知
我知道了
×
提示
确定
请完成安全验证×
copy
已复制链接
快去分享给好友吧!
我知道了
右上角分享
点击右上角分享
0
联系我们:info@booksci.cn Book学术提供免费学术资源搜索服务,方便国内外学者检索中英文文献。致力于提供最便捷和优质的服务体验。 Copyright © 2023 布克学术 All rights reserved.
京ICP备2023020795号-1
ghs 京公网安备 11010802042870号
Book学术文献互助
Book学术文献互助群
群 号:604180095
Book学术官方微信