Expressional Study of Permeability Glycoprotein and Multidrug Resistance Protein 1 in Drug-resistant Mesial Temporal Lobe Epilepsy.

IF 1.2 4区 化学 Q4 BIOCHEMICAL RESEARCH METHODS
Mandeep Kaur, Tulika Gupta, Mili Gupta, Navneet Singla, Parampreet S Kharbanda, Yogender Singh Bansal, Daisy Sahni, Bishan Das Radotra, Sunil Kumar Gupta
{"title":"Expressional Study of Permeability Glycoprotein and Multidrug Resistance Protein 1 in Drug-resistant Mesial Temporal Lobe Epilepsy.","authors":"Mandeep Kaur, Tulika Gupta, Mili Gupta, Navneet Singla, Parampreet S Kharbanda, Yogender Singh Bansal, Daisy Sahni, Bishan Das Radotra, Sunil Kumar Gupta","doi":"10.32598/bcn.2021.2554.3","DOIUrl":null,"url":null,"abstract":"<p><strong>Introduction: </strong>About 30% of patients with epilepsy do not respond to anti-epileptic drugs, leading to refractory seizures. The pathogenesis of drug-resistance in mesial temporal lobe epilepsy (MTLE) is not completely understood. Increased activity of drug-efflux transporters might be involved, resulting in subclinical concentrations of the drug at the target site. The major drug-efflux transporters are permeability glycoprotein (<i>P-gp</i>) and multidrug-resistance associated protein-1 (<i>MRP-1</i>). The major drawback so far is the expressional analysis of transporters in equal numbers of drug-resistant epileptic tissue and age-matched non-epileptic tissue.</p><p><strong>Methods: </strong>We have studied <i>P-gp</i> and <i>MRP-1</i> drug-efflux transporters in the sclerotic hippocampal tissues resected from the epilepsy surgery patients (n=15) and compared their expression profile with the tissues resected from non-epileptic autopsy cases (n=15).</p><p><strong>Results: </strong>Statistically significant over expression of both <i>P-gp</i> (P<0.0001) and <i>MRP-1</i> (P=0.01) at gene and protein levels were found in the MTLE cases. The fold change of <i>P-gp</i> was more pronounced than <i>MRP-1</i>. Immunohistochemistry of the patient group showed increased immunoreactivity of <i>P-gp</i> at blood-brain barrier and increased reactivity of <i>MRP-1</i> in the parenchyma. The results were confirmed by confocal immunofluorescence microscopy.</p><p><strong>Conclusion: </strong>Our results suggested that <i>P-gp</i> in association with <i>MRP-1</i> might be responsible for the multi-drug resistance in epilepsy. <i>P-gp</i> and <i>MRP-1</i> could be important determinants of bio availability and tissue distribution of anti-epileptic drugs in the brain which can pharmacologically inhibited to achieve optimal drug penetration to target site.</p>","PeriodicalId":16295,"journal":{"name":"Journal of Liquid Chromatography & Related Technologies","volume":"30 1","pages":"615-630"},"PeriodicalIF":1.2000,"publicationDate":"2023-09-01","publicationTypes":"Journal Article","fieldsOfStudy":null,"isOpenAccess":false,"openAccessPdf":"https://www.ncbi.nlm.nih.gov/pmc/articles/PMC11016880/pdf/","citationCount":"0","resultStr":null,"platform":"Semanticscholar","paperid":null,"PeriodicalName":"Journal of Liquid Chromatography & Related Technologies","FirstCategoryId":"1085","ListUrlMain":"https://doi.org/10.32598/bcn.2021.2554.3","RegionNum":4,"RegionCategory":"化学","ArticlePicture":[],"TitleCN":null,"AbstractTextCN":null,"PMCID":null,"EPubDate":"","PubModel":"","JCR":"Q4","JCRName":"BIOCHEMICAL RESEARCH METHODS","Score":null,"Total":0}
引用次数: 0

Abstract

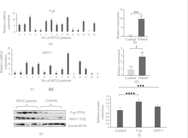
Introduction: About 30% of patients with epilepsy do not respond to anti-epileptic drugs, leading to refractory seizures. The pathogenesis of drug-resistance in mesial temporal lobe epilepsy (MTLE) is not completely understood. Increased activity of drug-efflux transporters might be involved, resulting in subclinical concentrations of the drug at the target site. The major drug-efflux transporters are permeability glycoprotein (P-gp) and multidrug-resistance associated protein-1 (MRP-1). The major drawback so far is the expressional analysis of transporters in equal numbers of drug-resistant epileptic tissue and age-matched non-epileptic tissue.

Methods: We have studied P-gp and MRP-1 drug-efflux transporters in the sclerotic hippocampal tissues resected from the epilepsy surgery patients (n=15) and compared their expression profile with the tissues resected from non-epileptic autopsy cases (n=15).

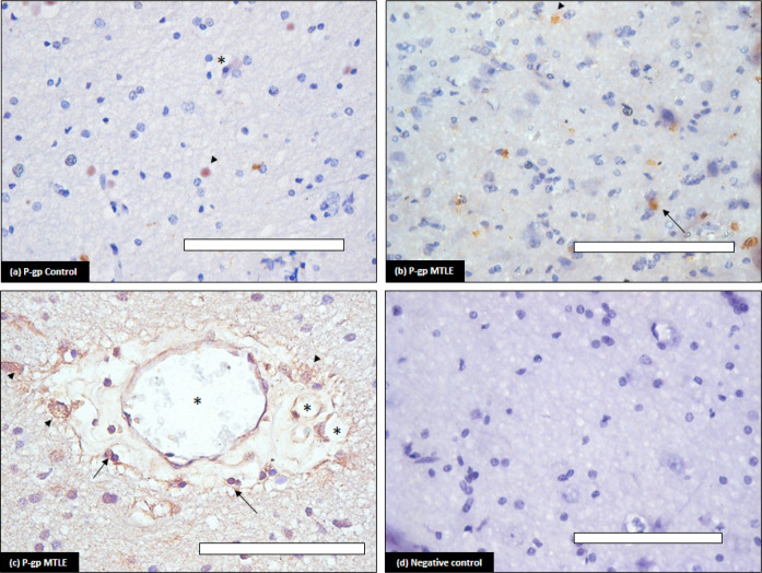
Results: Statistically significant over expression of both P-gp (P<0.0001) and MRP-1 (P=0.01) at gene and protein levels were found in the MTLE cases. The fold change of P-gp was more pronounced than MRP-1. Immunohistochemistry of the patient group showed increased immunoreactivity of P-gp at blood-brain barrier and increased reactivity of MRP-1 in the parenchyma. The results were confirmed by confocal immunofluorescence microscopy.

Conclusion: Our results suggested that P-gp in association with MRP-1 might be responsible for the multi-drug resistance in epilepsy. P-gp and MRP-1 could be important determinants of bio availability and tissue distribution of anti-epileptic drugs in the brain which can pharmacologically inhibited to achieve optimal drug penetration to target site.

Abstract Image

Abstract Image

Abstract Image

耐药性中颞叶癫痫中渗透性糖蛋白和多药抵抗蛋白1的表达研究
简介约有 30% 的癫痫患者对抗癫痫药物无效,导致难治性癫痫发作。中叶颞叶癫痫(MTLE)耐药性的发病机制尚未完全明了。药物外流转运体的活性增加可能与此有关,从而导致药物在靶点的亚临床浓度。主要的药物外流转运体是渗透性糖蛋白(P-gp)和多重耐药相关蛋白-1(MRP-1)。迄今为止,该研究的主要缺点是需要在相同数量的耐药癫痫组织和年龄匹配的非癫痫组织中对转运体进行表达分析:我们研究了从癫痫手术患者(n=15)切除的硬化海马组织中的P-gp和MRP-1药物外流转运体,并将其表达谱与非癫痫尸检病例(n=15)切除的组织进行了比较:结果:在MTLE病例中发现,P-gp(PMRP-1,P=0.01)在基因和蛋白水平上都有统计学意义的过度表达。P-gp的折叠变化比MRP-1更明显。患者组的免疫组化结果显示,P-gp在血脑屏障的免疫活性增加,而MRP-1在脑实质的反应性增加。共聚焦免疫荧光显微镜证实了这些结果:我们的研究结果表明,P-gp与MRP-1可能是导致癫痫多重耐药的原因。P-gp和MRP-1可能是决定抗癫痫药物在大脑中的生物可用性和组织分布的重要因素,可以通过药物抑制实现药物对靶点的最佳渗透。
本文章由计算机程序翻译,如有差异,请以英文原文为准。
求助全文
约1分钟内获得全文 求助全文
来源期刊
CiteScore
2.80
自引率
0.00%
发文量
29
审稿时长
4.9 months
期刊介绍: The Journal of Liquid Chromatography & Related Technologies is an internationally acclaimed forum for fast publication of critical, peer reviewed manuscripts dealing with analytical, preparative and process scale liquid chromatography and all of its related technologies, including TLC, capillary electrophoresis, capillary electrochromatography, supercritical fluid chromatography and extraction, field-flow technologies, affinity, and much more. New separation methodologies are added when they are developed. Papers dealing with research and development results, as well as critical reviews of important technologies, are published in the Journal.
×
引用
GB/T 7714-2015
复制
MLA
复制
APA
复制
导出至
BibTeX EndNote RefMan NoteFirst NoteExpress
×
提示
您的信息不完整,为了账户安全,请先补充。
现在去补充
×
提示
您因"违规操作"
具体请查看互助需知
我知道了
×
提示
确定
请完成安全验证×
copy
已复制链接
快去分享给好友吧!
我知道了
右上角分享
点击右上角分享
0
联系我们:info@booksci.cn Book学术提供免费学术资源搜索服务,方便国内外学者检索中英文文献。致力于提供最便捷和优质的服务体验。 Copyright © 2023 布克学术 All rights reserved.
京ICP备2023020795号-1
ghs 京公网安备 11010802042870号
Book学术文献互助
Book学术文献互助群
群 号:604180095
Book学术官方微信