The influence of pituitary volume on the growth response in growth hormone-treated children with growth hormone deficiency or idiopathic short stature.

IF 3.3 Q3 ENDOCRINOLOGY & METABOLISM
Jun Suk Oh, Beomseok Sohn, Youngha Choi, Kyungchul Song, Junghwan Suh, Ahreum Kwon, Ho-Seong Kim
{"title":"The influence of pituitary volume on the growth response in growth hormone-treated children with growth hormone deficiency or idiopathic short stature.","authors":"Jun Suk Oh, Beomseok Sohn, Youngha Choi, Kyungchul Song, Junghwan Suh, Ahreum Kwon, Ho-Seong Kim","doi":"10.6065/apem.2346052.026","DOIUrl":null,"url":null,"abstract":"<p><strong>Purpose: </strong>Magnetic resonance imaging (MRI) can be used for assessing the morphology of the pituitary gland in children with short stature. The purposes of this study were: (1) to determine if pituitary volume (PV) can distinguish patients with growth hormone (GH) deficiency from those with idiopathic short stature (ISS), (2) to validate an association between PV and severity of GH deficiency, and (3) to compare PV between good and poor response groups in children with GH deficiency or ISS after 1 year of treatment.</p><p><strong>Methods: </strong>Data were collected from the medical records of 152 children with GH deficiency or ISS who underwent GH stimulation test, sella MRI, and GH treatment for at least 1 year. Estimated PVs were calculated using the formula of an ellipsoid. We compared the PVs in patients with GH deficiency with those of patients with ISS. In addition, we assessed the association between PV and severity of GH deficiency, and we assessed growth response after treatment.</p><p><strong>Results: </strong>No difference was observed in PV between patients with GH deficiency and those with ISS. The severity of the GH deficiency seemed to be associated with PV (P=0.082), and the height of the pituitary gland was associated with severity of GH deficiency (P<0.005). The PV in the good response group was less than that of the poor response group in patients with GH deficiency (P<0.005), and PV showed no association with responsiveness to GH treatment in patients with ISS (P=0.073).</p><p><strong>Conclusion: </strong>The measurement of PV cannot be used for differential diagnosis between GH deficiency and ISS. In patients with GH deficiency, PV tended to be smaller as the severity of GH deficiency increased, but the difference was not significant. PV may be a good response predictor for GH treatment. Further studies, including a radiomics-based approach, will be helpful in elucidating the clinical implications of pituitary morphology in patients with short stature.</p>","PeriodicalId":44915,"journal":{"name":"Annals of Pediatric Endocrinology & Metabolism","volume":" ","pages":"95-101"},"PeriodicalIF":3.3000,"publicationDate":"2024-04-01","publicationTypes":"Journal Article","fieldsOfStudy":null,"isOpenAccess":false,"openAccessPdf":"https://www.ncbi.nlm.nih.gov/pmc/articles/PMC11076225/pdf/","citationCount":"0","resultStr":null,"platform":"Semanticscholar","paperid":null,"PeriodicalName":"Annals of Pediatric Endocrinology & Metabolism","FirstCategoryId":"1085","ListUrlMain":"https://doi.org/10.6065/apem.2346052.026","RegionNum":0,"RegionCategory":null,"ArticlePicture":[],"TitleCN":null,"AbstractTextCN":null,"PMCID":null,"EPubDate":"2023/11/9 0:00:00","PubModel":"Epub","JCR":"Q3","JCRName":"ENDOCRINOLOGY & METABOLISM","Score":null,"Total":0}
引用次数: 0

Abstract

Purpose: Magnetic resonance imaging (MRI) can be used for assessing the morphology of the pituitary gland in children with short stature. The purposes of this study were: (1) to determine if pituitary volume (PV) can distinguish patients with growth hormone (GH) deficiency from those with idiopathic short stature (ISS), (2) to validate an association between PV and severity of GH deficiency, and (3) to compare PV between good and poor response groups in children with GH deficiency or ISS after 1 year of treatment.

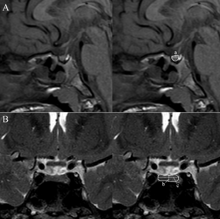
Methods: Data were collected from the medical records of 152 children with GH deficiency or ISS who underwent GH stimulation test, sella MRI, and GH treatment for at least 1 year. Estimated PVs were calculated using the formula of an ellipsoid. We compared the PVs in patients with GH deficiency with those of patients with ISS. In addition, we assessed the association between PV and severity of GH deficiency, and we assessed growth response after treatment.

Results: No difference was observed in PV between patients with GH deficiency and those with ISS. The severity of the GH deficiency seemed to be associated with PV (P=0.082), and the height of the pituitary gland was associated with severity of GH deficiency (P<0.005). The PV in the good response group was less than that of the poor response group in patients with GH deficiency (P<0.005), and PV showed no association with responsiveness to GH treatment in patients with ISS (P=0.073).

Conclusion: The measurement of PV cannot be used for differential diagnosis between GH deficiency and ISS. In patients with GH deficiency, PV tended to be smaller as the severity of GH deficiency increased, but the difference was not significant. PV may be a good response predictor for GH treatment. Further studies, including a radiomics-based approach, will be helpful in elucidating the clinical implications of pituitary morphology in patients with short stature.

Abstract Image

Abstract Image

Abstract Image

垂体体积对生长激素治疗的生长激素缺乏和特发性矮小儿童生长反应的影响。
目的:磁共振成像(MRI)可用于评估垂体的形态。本研究的目的是1)确定垂体体积(PV)是否能区分生长激素(GH)缺乏症和特发性矮小症(ISS);2)验证PV与GH缺乏症严重程度之间的相关性;3)比较GH缺乏症和ISS儿童的良好和不良反应组的PV接受生长激素刺激试验、鞍区MRI和生长激素治疗的矮小儿童。使用椭球体公式计算估计PV。我们比较了GH缺乏患者和ISS患者的PV。此外,我们评估了PV与GH缺乏严重程度以及治疗后生长反应之间的关系。结果:生长激素缺乏患者与ISS患者的PV无明显差异。PV似乎随着GH缺乏程度的严重而变小(P=0.082)。在GH缺乏患者中,良好反应组的PV小于不良反应组(P<0.005)。PV与ISS患者对GH治疗的反应性无关(P=0.073)ISS。在GH缺乏症患者中,PV往往随着GH缺乏症的严重程度而较小,尽管没有统计学意义,并且可能是GH治疗的良好反应预测因素。
本文章由计算机程序翻译,如有差异,请以英文原文为准。
求助全文
约1分钟内获得全文 求助全文
来源期刊
CiteScore
4.00
自引率
18.20%
发文量
59
审稿时长
24 weeks
期刊介绍: The Annals of Pediatric Endocrinology & Metabolism Journal is the official publication of the Korean Society of Pediatric Endocrinology. Its formal abbreviated title is “Ann Pediatr Endocrinol Metab”. It is a peer-reviewed open access journal of medicine published in English. The journal was launched in 1996 under the title of ‘Journal of Korean Society of Pediatric Endocrinology’ until 2011 (pISSN 1226-2242). Since 2012, the title is now changed to ‘Annals of Pediatric Endocrinology & Metabolism’. The Journal is published four times per year on the last day of March, June, September, and December. It is widely distributed for free to members of the Korean Society of Pediatric Endocrinology, medical schools, libraries, and academic institutions. The journal is indexed/tracked/covered by web sites of PubMed Central, PubMed, Emerging Sources Citation Index (ESCI), Scopus, EBSCO, EMBASE, KoreaMed, KoMCI, KCI, Science Central, DOI/CrossRef, Directory of Open Access Journals(DOAJ), and Google Scholar. The aims of Annals of Pediatric Endocrinology & Metabolism are to contribute to the advancements in the fields of pediatric endocrinology & metabolism through the scientific reviews and interchange of all of pediatric endocrinology and metabolism. It aims to reflect the latest clinical, translational, and basic research trends from worldwide valuable achievements. In addition, genome research, epidemiology, public education and clinical practice guidelines in each country are welcomed for publication. The Journal particularly focuses on research conducted with Asian-Pacific children whose genetic and environmental backgrounds are different from those of the Western. Area of specific interest include the following : Growth, puberty, glucose metabolism including diabetes mellitus, obesity, nutrition, disorders of sexual development, pituitary, thyroid, parathyroid, adrenal cortex, bone or other endocrine and metabolic disorders from infancy through adolescence.
×
引用
GB/T 7714-2015
复制
MLA
复制
APA
复制
导出至
BibTeX EndNote RefMan NoteFirst NoteExpress
×
提示
您的信息不完整,为了账户安全,请先补充。
现在去补充
×
提示
您因"违规操作"
具体请查看互助需知
我知道了
×
提示
确定
请完成安全验证×
copy
已复制链接
快去分享给好友吧!
我知道了
右上角分享
点击右上角分享
0
联系我们:info@booksci.cn Book学术提供免费学术资源搜索服务,方便国内外学者检索中英文文献。致力于提供最便捷和优质的服务体验。 Copyright © 2023 布克学术 All rights reserved.
京ICP备2023020795号-1
ghs 京公网安备 11010802042870号
Book学术文献互助
Book学术文献互助群
群 号:604180095
Book学术官方微信