Comparing Endoscopic Measurements of the Anterior and Posterior Ethmoidal Arteries with CT Measurements: A Cadaveric Study.

Q3 Medicine
Rukiye Ozcelik Erdem, Mehmet Akif Dundar, Muzaffer Seker, Hamdi Arbag
{"title":"Comparing Endoscopic Measurements of the Anterior and Posterior Ethmoidal Arteries with CT Measurements: A Cadaveric Study.","authors":"Rukiye Ozcelik Erdem, Mehmet Akif Dundar, Muzaffer Seker, Hamdi Arbag","doi":"10.5644/ama2006-124.410","DOIUrl":null,"url":null,"abstract":"<p><strong>Objective: </strong>To reveal the reliability of radiological measurements of the ethmoid arteries.</p><p><strong>Method: </strong>Five fresh frozen cadaveric heads underwent computed tomography and endoscopic sinus surgery. The lateromedial length of the anterior ethmoidal artery (AEA) and its distance to the axilla of the middle turbinate (MTA), the sphenoethmoidal recess (SR) and the posterior ethmoidal artery were measured. The posterior ethmoidal artery (PEA) was referenced to the SR. These anatomical parameters were measured both radiologically and endoscopically, and the compatibility of the two was examined.</p><p><strong>Results: </strong>Ten nasal cavities were dissected. We found that the distance of MTA to the AEA was 16±8 mm in dissection, 21±4 mm radiologically in the sagittal section, the distance of SR to the AEA was 14±3 mm in dissection, 19±4 mm radiologically in the sagittal section, and the distance of the AEA to the PEA was 10±3 mm in dissection, 12±3 mm radiologically in the axial section. The distance of the PEA to SR was 6±3 mm in dissection, 8±2 mm radiologically in the sagittal section.</p><p><strong>Conclusions: </strong>The distance of the AEA to the MTA, the distance of the AEA to the PEA and the distance of the PEA to the SR were compatible with each other in the dissection and in the radiologically evaluation, whereas the distance of the AEA to the SR was not compatible.</p>","PeriodicalId":38313,"journal":{"name":"Acta medica academica","volume":"52 2","pages":"105-111"},"PeriodicalIF":0.0000,"publicationDate":"2023-08-01","publicationTypes":"Journal Article","fieldsOfStudy":null,"isOpenAccess":false,"openAccessPdf":"https://www.ncbi.nlm.nih.gov/pmc/articles/PMC10698361/pdf/","citationCount":"0","resultStr":null,"platform":"Semanticscholar","paperid":null,"PeriodicalName":"Acta medica academica","FirstCategoryId":"1085","ListUrlMain":"https://doi.org/10.5644/ama2006-124.410","RegionNum":0,"RegionCategory":null,"ArticlePicture":[],"TitleCN":null,"AbstractTextCN":null,"PMCID":null,"EPubDate":"","PubModel":"","JCR":"Q3","JCRName":"Medicine","Score":null,"Total":0}
引用次数: 0

Abstract

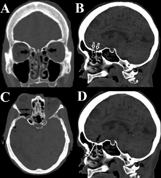
Objective: To reveal the reliability of radiological measurements of the ethmoid arteries.

Method: Five fresh frozen cadaveric heads underwent computed tomography and endoscopic sinus surgery. The lateromedial length of the anterior ethmoidal artery (AEA) and its distance to the axilla of the middle turbinate (MTA), the sphenoethmoidal recess (SR) and the posterior ethmoidal artery were measured. The posterior ethmoidal artery (PEA) was referenced to the SR. These anatomical parameters were measured both radiologically and endoscopically, and the compatibility of the two was examined.

Results: Ten nasal cavities were dissected. We found that the distance of MTA to the AEA was 16±8 mm in dissection, 21±4 mm radiologically in the sagittal section, the distance of SR to the AEA was 14±3 mm in dissection, 19±4 mm radiologically in the sagittal section, and the distance of the AEA to the PEA was 10±3 mm in dissection, 12±3 mm radiologically in the axial section. The distance of the PEA to SR was 6±3 mm in dissection, 8±2 mm radiologically in the sagittal section.

Conclusions: The distance of the AEA to the MTA, the distance of the AEA to the PEA and the distance of the PEA to the SR were compatible with each other in the dissection and in the radiologically evaluation, whereas the distance of the AEA to the SR was not compatible.

Abstract Image

Abstract Image

Abstract Image

筛窦前动脉和后动脉的内镜测量与CT测量的比较:尸体解剖研究。
目的:探讨筛动脉影像学测量的可靠性。方法:对5具新鲜冷冻尸头进行计算机断层扫描和鼻内镜鼻窦手术。测量了筛前动脉(AEA)的后内侧长度及其与中鼻甲腋窝(MTA)、蝶窦隐窝(SR)和筛后动脉的距离。筛后动脉(PEA)参考SR。这些解剖参数通过放射学和内镜测量,并检查两者的兼容性。结果:共解剖鼻腔10个。我们发现,MTA与AEA的距离在解剖中为16±8mm,在矢状切面中为21±4mm,SR与AEA在解剖中的距离为14±3mm,在矢形切面中为19±4mm,AEA与PEA在解剖和轴向切面中的距离分别为10±3mm和12±3mm。在解剖中,PEA与SR的距离为6±3mm,在矢状面上为8±2mm。结论:在解剖和放射学评估中,AEA与MTA的距离、AEA与PEA的距离和PEA与SR的距离是相互兼容的,而AEA与SR之间的距离是不兼容的。
本文章由计算机程序翻译,如有差异,请以英文原文为准。
求助全文
约1分钟内获得全文 求助全文
来源期刊
Acta medica academica
Acta medica academica Medicine-Medicine (all)
CiteScore
1.90
自引率
0.00%
发文量
21
审稿时长
15 weeks
×
引用
GB/T 7714-2015
复制
MLA
复制
APA
复制
导出至
BibTeX EndNote RefMan NoteFirst NoteExpress
×
提示
您的信息不完整,为了账户安全,请先补充。
现在去补充
×
提示
您因"违规操作"
具体请查看互助需知
我知道了
×
提示
确定
请完成安全验证×
copy
已复制链接
快去分享给好友吧!
我知道了
右上角分享
点击右上角分享
0
联系我们:info@booksci.cn Book学术提供免费学术资源搜索服务,方便国内外学者检索中英文文献。致力于提供最便捷和优质的服务体验。 Copyright © 2023 布克学术 All rights reserved.
京ICP备2023020795号-1
ghs 京公网安备 11010802042870号
Book学术文献互助
Book学术文献互助群
群 号:604180095
Book学术官方微信