Intrahepatic Venous Collateral Circulation and Reverse Blood Flow After Main Hepatic Vein Obstruction: A Case Report with Literature Review.

IF 1.4 4区 医学 Q3 SURGERY
Jianghong Ning, Yibulayin Aini, Tiemin Jiang, Yingmei Shao, Tuerganaili Aji, Hao Wen
{"title":"Intrahepatic Venous Collateral Circulation and Reverse Blood Flow After Main Hepatic Vein Obstruction: A Case Report with Literature Review.","authors":"Jianghong Ning, Yibulayin Aini, Tiemin Jiang, Yingmei Shao, Tuerganaili Aji, Hao Wen","doi":"10.12659/AOT.941521","DOIUrl":null,"url":null,"abstract":"<p><p>BACKGROUND Alveolar echinococcosis, a lethal parasitic disease, can invade important vessels in the liver. A liver vascular anomaly causes compensatory changes in other blood vessels connected to it because of the close relationship between them. Obstruction of the retrohepatic inferior vena cava and the second hilum can form the intrahepatic venous network and the vertebral venous plexus pathway, which can be demonstrated by hepatic venography and anatomical and autopsy studies. CASE REPORT A Tibetan woman, age 31, with hepatic alveolar echinococcosis and unique intrahepatic hemodynamic features, was referred to our center and underwent successful ex vivo liver resection and autotransplantation. We report our experience and review the literature. In this clinical case, we performed an ex vivo liver resection and autotransplantation without hepatic inferior vena cava reconstruction. After surgery, the circulatory system hemodynamic remained stable, and blood flow in the liver and trunk was unhindered. The patient underwent an uneventful hospitalization and recovery. CONCLUSIONS This clinical case demonstrates the unique venous access, hemodynamic alterations, and surgical decision-making that follow the invasion of significant hepatic vessels by alveolar echinococcosis lesions. HAE exhibits unique collateral vessels, which are uncommon in other diseases. Additionally, this kind of therapy offers fresh perspectives for the surgical treatment of end-stage HAE.</p>","PeriodicalId":7935,"journal":{"name":"Annals of Transplantation","volume":"28 ","pages":"e941521"},"PeriodicalIF":1.4000,"publicationDate":"2023-11-07","publicationTypes":"Journal Article","fieldsOfStudy":null,"isOpenAccess":false,"openAccessPdf":"https://www.ncbi.nlm.nih.gov/pmc/articles/PMC10638859/pdf/","citationCount":"0","resultStr":null,"platform":"Semanticscholar","paperid":null,"PeriodicalName":"Annals of Transplantation","FirstCategoryId":"3","ListUrlMain":"https://doi.org/10.12659/AOT.941521","RegionNum":4,"RegionCategory":"医学","ArticlePicture":[],"TitleCN":null,"AbstractTextCN":null,"PMCID":null,"EPubDate":"","PubModel":"","JCR":"Q3","JCRName":"SURGERY","Score":null,"Total":0}
引用次数: 0

Abstract

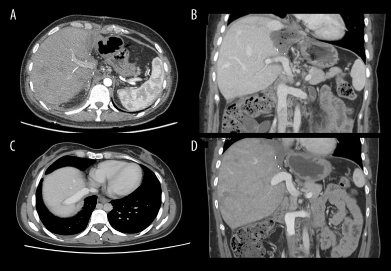
BACKGROUND Alveolar echinococcosis, a lethal parasitic disease, can invade important vessels in the liver. A liver vascular anomaly causes compensatory changes in other blood vessels connected to it because of the close relationship between them. Obstruction of the retrohepatic inferior vena cava and the second hilum can form the intrahepatic venous network and the vertebral venous plexus pathway, which can be demonstrated by hepatic venography and anatomical and autopsy studies. CASE REPORT A Tibetan woman, age 31, with hepatic alveolar echinococcosis and unique intrahepatic hemodynamic features, was referred to our center and underwent successful ex vivo liver resection and autotransplantation. We report our experience and review the literature. In this clinical case, we performed an ex vivo liver resection and autotransplantation without hepatic inferior vena cava reconstruction. After surgery, the circulatory system hemodynamic remained stable, and blood flow in the liver and trunk was unhindered. The patient underwent an uneventful hospitalization and recovery. CONCLUSIONS This clinical case demonstrates the unique venous access, hemodynamic alterations, and surgical decision-making that follow the invasion of significant hepatic vessels by alveolar echinococcosis lesions. HAE exhibits unique collateral vessels, which are uncommon in other diseases. Additionally, this kind of therapy offers fresh perspectives for the surgical treatment of end-stage HAE.

Abstract Image

Abstract Image

Abstract Image

肝主静脉阻塞后肝内静脉侧支循环和反流:一例报告并文献复习。
背景泡状棘球蚴病是一种致命的寄生虫病,可侵犯肝脏的重要血管。肝血管异常会导致与之相连的其他血管发生代偿性变化,因为它们之间的关系密切。肝后下腔静脉和第二门的阻塞可以形成肝内静脉网和椎静脉丛通路,这可以通过肝静脉造影、解剖和尸检研究来证明。病例报告一名藏族妇女,31岁,患有肝泡状棘球蚴病和独特的肝内血液动力学特征,被转诊到我们的中心,并成功地进行了离体肝切除和自体移植。我们报告我们的经验并回顾文献。在这个临床病例中,我们进行了离体肝脏切除和自体移植,而没有重建肝脏下腔静脉。手术后,循环系统血流动力学保持稳定,肝脏和躯干的血流不受阻碍。病人顺利住院并康复。结论:该临床病例显示了肺泡棘球蚴病病变侵犯重要肝血管后独特的静脉通路、血液动力学改变和手术决策。HAE表现出独特的侧支血管,这在其他疾病中并不常见。此外,这种疗法为终末期HAE的外科治疗提供了新的前景。
本文章由计算机程序翻译,如有差异,请以英文原文为准。
求助全文
约1分钟内获得全文 求助全文
来源期刊
CiteScore
2.50
自引率
0.00%
发文量
79
审稿时长
>12 weeks
期刊介绍: Annals of Transplantation is one of the fast-developing journals open to all scientists and fields of transplant medicine and related research. The journal is published quarterly and provides extensive coverage of the most important advances in transplantation. Using an electronic on-line submission and peer review tracking system, Annals of Transplantation is committed to rapid review and publication. The average time to first decision is around 3-4 weeks. Time to publication of accepted manuscripts continues to be shortened, with the Editorial team committed to a goal of 3 months from acceptance to publication. Expert reseachers and clinicians from around the world contribute original Articles, Review Papers, Case Reports and Special Reports in every pertinent specialty, providing a lot of arguments for discussion of exciting developments and controversies in the field.
×
引用
GB/T 7714-2015
复制
MLA
复制
APA
复制
导出至
BibTeX EndNote RefMan NoteFirst NoteExpress
×
提示
您的信息不完整,为了账户安全,请先补充。
现在去补充
×
提示
您因"违规操作"
具体请查看互助需知
我知道了
×
提示
确定
请完成安全验证×
copy
已复制链接
快去分享给好友吧!
我知道了
右上角分享
点击右上角分享
0
联系我们:info@booksci.cn Book学术提供免费学术资源搜索服务,方便国内外学者检索中英文文献。致力于提供最便捷和优质的服务体验。 Copyright © 2023 布克学术 All rights reserved.
京ICP备2023020795号-1
ghs 京公网安备 11010802042870号
Book学术文献互助
Book学术文献互助群
群 号:604180095
Book学术官方微信