Potential Contribution of Cell Adhesion Molecule 1 to the Binding of SARS-CoV-2 Spike Protein to Mouse Nasal Mucosa.

IF 1.9 4区 生物学 Q1 ANATOMY & MORPHOLOGY
Cells Tissues Organs Pub Date : 2024-01-01 Epub Date: 2023-10-30 DOI:10.1159/000534892
Fuka Takeuchi, Aki Sugano, Azusa Yoneshige, Man Hagiyama, Takao Inoue, Akihiro Wada, Yutaka Takaoka, Akihiko Ito
{"title":"Potential Contribution of Cell Adhesion Molecule 1 to the Binding of SARS-CoV-2 Spike Protein to Mouse Nasal Mucosa.","authors":"Fuka Takeuchi, Aki Sugano, Azusa Yoneshige, Man Hagiyama, Takao Inoue, Akihiro Wada, Yutaka Takaoka, Akihiko Ito","doi":"10.1159/000534892","DOIUrl":null,"url":null,"abstract":"<p><p>Severe acute respiratory syndrome coronavirus 2 (SARS-CoV-2) first infects the host nasal mucosa, where the viral spike protein binds to angiotensin-converting enzyme 2 (ACE2) on the mucosal cells. This study aimed at searching host cell surface molecules that could contribute to the infection in two views; abundance on host cells and affinity to the spike protein. Since the nasal mucosa is lined by respiratory and olfactory epithelia, and both express an immunoglobulin superfamily member cell adhesion molecule 1 (CADM1), whether CADM1 would participate in the spike protein binding was examined. Immunohistochemistry on the mouse nasal cavity detected CADM1 strongly in the olfactory epithelium at cell-cell contacts and on the apical surface but just faintly in the respiratory epithelium. In contrast, ACE2 was detected in the respiratory, not olfactory, epithelium. When mice were administered intranasally with SARS-CoV-2 S1 spike protein and an anti-CADM1 ectodomain antibody separately, both were detected exclusively on the olfactory, not respiratory, epithelium. Then, the antibody and S1 spike protein were administered intranasally to mice in this order with an interval of 1 h. After 3 h, S1 spike protein was detected as a protein aggregate floating in the nasal cavity. Next, S1 spike protein labeled with fluorescein was added to the monolayer cultures of epithelial cells exogenously expressing ACE2 or CADM1. Quantitative detection of fluorescein bound to the cells revealed that S1 spike protein bound to CADM1 with affinity half as high as to ACE2. Consistently, docking simulation analyses revealed that S1 spike protein could bind to CADM1 three-quarters as strongly as to ACE2 and that the interface of ACE2 was similar in both binding modes. Collectively, intranasal S1 spike protein appeared to prefer to accumulate on the olfactory epithelium, and CADM1 was suggested to contribute to this preference of S1 spike protein based on the molecular abundance and affinity.</p>","PeriodicalId":9717,"journal":{"name":"Cells Tissues Organs","volume":" ","pages":"326-337"},"PeriodicalIF":1.9000,"publicationDate":"2024-01-01","publicationTypes":"Journal Article","fieldsOfStudy":null,"isOpenAccess":false,"openAccessPdf":"https://www.ncbi.nlm.nih.gov/pmc/articles/PMC11251658/pdf/","citationCount":"0","resultStr":null,"platform":"Semanticscholar","paperid":null,"PeriodicalName":"Cells Tissues Organs","FirstCategoryId":"99","ListUrlMain":"https://doi.org/10.1159/000534892","RegionNum":4,"RegionCategory":"生物学","ArticlePicture":[],"TitleCN":null,"AbstractTextCN":null,"PMCID":null,"EPubDate":"2023/10/30 0:00:00","PubModel":"Epub","JCR":"Q1","JCRName":"ANATOMY & MORPHOLOGY","Score":null,"Total":0}
引用次数: 0

Abstract

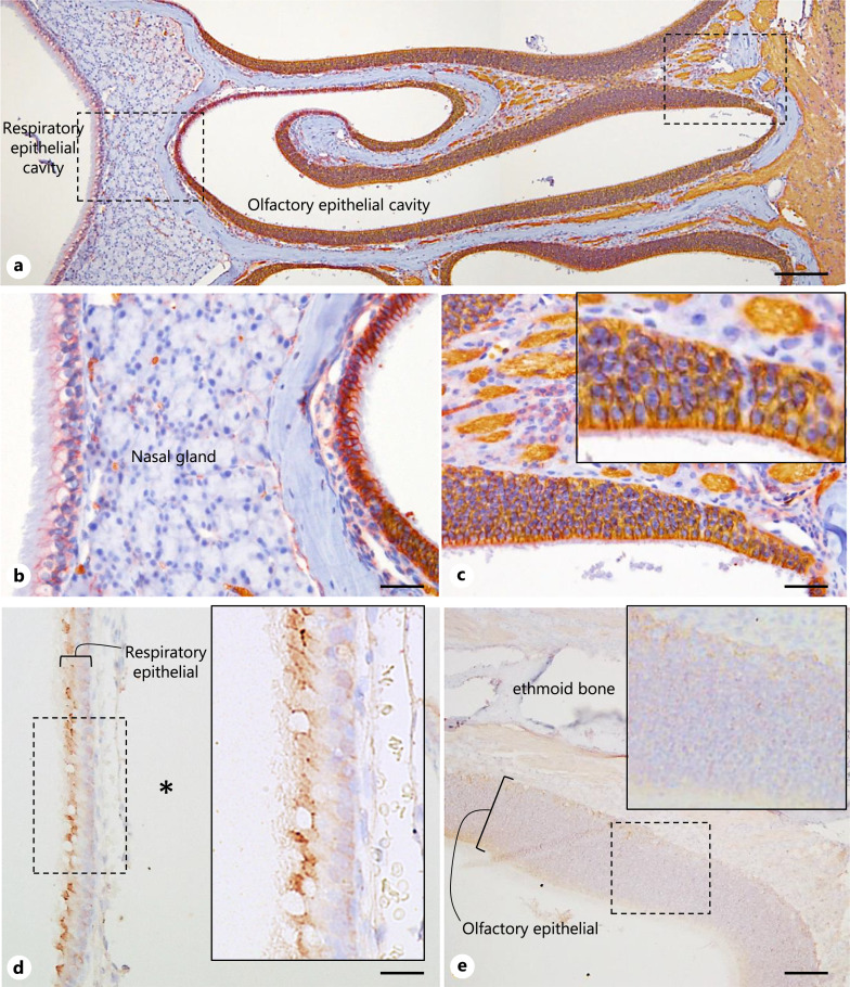
Severe acute respiratory syndrome coronavirus 2 (SARS-CoV-2) first infects the host nasal mucosa, where the viral spike protein binds to angiotensin-converting enzyme 2 (ACE2) on the mucosal cells. This study aimed at searching host cell surface molecules that could contribute to the infection in two views; abundance on host cells and affinity to the spike protein. Since the nasal mucosa is lined by respiratory and olfactory epithelia, and both express an immunoglobulin superfamily member cell adhesion molecule 1 (CADM1), whether CADM1 would participate in the spike protein binding was examined. Immunohistochemistry on the mouse nasal cavity detected CADM1 strongly in the olfactory epithelium at cell-cell contacts and on the apical surface but just faintly in the respiratory epithelium. In contrast, ACE2 was detected in the respiratory, not olfactory, epithelium. When mice were administered intranasally with SARS-CoV-2 S1 spike protein and an anti-CADM1 ectodomain antibody separately, both were detected exclusively on the olfactory, not respiratory, epithelium. Then, the antibody and S1 spike protein were administered intranasally to mice in this order with an interval of 1 h. After 3 h, S1 spike protein was detected as a protein aggregate floating in the nasal cavity. Next, S1 spike protein labeled with fluorescein was added to the monolayer cultures of epithelial cells exogenously expressing ACE2 or CADM1. Quantitative detection of fluorescein bound to the cells revealed that S1 spike protein bound to CADM1 with affinity half as high as to ACE2. Consistently, docking simulation analyses revealed that S1 spike protein could bind to CADM1 three-quarters as strongly as to ACE2 and that the interface of ACE2 was similar in both binding modes. Collectively, intranasal S1 spike protein appeared to prefer to accumulate on the olfactory epithelium, and CADM1 was suggested to contribute to this preference of S1 spike protein based on the molecular abundance and affinity.

Abstract Image

Abstract Image

Abstract Image

细胞粘附分子1对严重急性呼吸系统综合征冠状病毒2型刺突蛋白与小鼠鼻粘膜结合的潜在贡献。
严重急性呼吸系统综合征冠状病毒2型首先感染宿主鼻粘膜,病毒刺突蛋白与粘膜细胞上的血管紧张素转化酶2(ACE2)结合。这项研究旨在从两个方面寻找可能导致感染的宿主细胞表面分子;宿主细胞上的丰度和对刺突蛋白的亲和力。由于鼻粘膜由呼吸上皮和嗅觉上皮排列,并且两者都表达免疫球蛋白超家族成员细胞粘附分子1(CADM1),因此检测了CADM1是否参与刺突蛋白结合。小鼠鼻腔免疫组织化学在细胞-细胞接触的嗅觉上皮和顶端表面强烈检测到CADM1,但在呼吸上皮中仅微弱检测到。相反,ACE2是在呼吸上皮而非嗅觉上皮中检测到的。当小鼠分别用严重急性呼吸系统综合征冠状病毒2型S1刺突蛋白和抗CADM1胞外结构域抗体鼻内给药时,两者都只在嗅觉上皮上检测到,而不是在呼吸上皮上。然后,抗体和S1刺突蛋白按此顺序以1小时的间隔经鼻给药于小鼠。3小时后,S1刺突蛋白被检测为漂浮在鼻腔中的蛋白质聚集体。接下来,将用荧光素标记的S1刺突蛋白添加到外源表达ACE2或CADM1的上皮细胞的单层培养物中。结合细胞的荧光素的定量检测显示,S1刺突蛋白结合CADM1的亲和力是结合ACE2的一半。一致地,对接模拟分析显示,S1刺突蛋白与CADM1的结合强度是与ACE2的四分之三,并且ACE2的界面在两种结合模式中都相似。总的来说,鼻内S1刺突蛋白似乎更喜欢在嗅觉上皮上积累,基于分子丰度和亲和力,CADM1被认为有助于S1刺突蛋白质的这种偏好。
本文章由计算机程序翻译,如有差异,请以英文原文为准。
求助全文
约1分钟内获得全文 求助全文
来源期刊
Cells Tissues Organs
Cells Tissues Organs 生物-发育生物学
CiteScore
4.90
自引率
3.70%
发文量
45
审稿时长
6-12 weeks
期刊介绍: ''Cells Tissues Organs'' aims at bridging the gap between cell biology and developmental biology and the emerging fields of regenerative medicine (stem cell biology, tissue engineering, artificial organs, in vitro systems and transplantation biology). CTO offers a rapid and fair peer-review and exquisite reproduction quality. Special topic issues, entire issues of the journal devoted to a single research topic within the range of interests of the journal, are published at irregular intervals.
×
引用
GB/T 7714-2015
复制
MLA
复制
APA
复制
导出至
BibTeX EndNote RefMan NoteFirst NoteExpress
×
提示
您的信息不完整,为了账户安全,请先补充。
现在去补充
×
提示
您因"违规操作"
具体请查看互助需知
我知道了
×
提示
确定
请完成安全验证×
copy
已复制链接
快去分享给好友吧!
我知道了
右上角分享
点击右上角分享
0
联系我们:info@booksci.cn Book学术提供免费学术资源搜索服务,方便国内外学者检索中英文文献。致力于提供最便捷和优质的服务体验。 Copyright © 2023 布克学术 All rights reserved.
京ICP备2023020795号-1
ghs 京公网安备 11010802042870号
Book学术文献互助
Book学术文献互助群
群 号:604180095
Book学术官方微信