Posterior Reversible Encephalopathy Syndrome as an Adverse Effect of Lenvatinib in a Patient with Papillary Thyroid Carcinoma: A Case Report.

IF 1.8 Q3 ENDOCRINOLOGY & METABOLISM
International Journal of Endocrinology and Metabolism Pub Date : 2023-07-29 eCollection Date: 2023-07-01 DOI:10.5812/ijem-136900
Daisy Carolina Buenaventura, Hernando Vargas-Sierra, Natalia Aristizabal-Henao, Jose Luis Torres-Grajales, Carolina Aguilar-Londono, Johnayro Gutierrez-Restrepo
{"title":"Posterior Reversible Encephalopathy Syndrome as an Adverse Effect of Lenvatinib in a Patient with Papillary Thyroid Carcinoma: A Case Report.","authors":"Daisy Carolina Buenaventura, Hernando Vargas-Sierra, Natalia Aristizabal-Henao, Jose Luis Torres-Grajales, Carolina Aguilar-Londono, Johnayro Gutierrez-Restrepo","doi":"10.5812/ijem-136900","DOIUrl":null,"url":null,"abstract":"<p><p>Posterior reversible encephalopathy syndrome (PRES) is an uncommon transient neuroradiological phenomenon that develops vasogenic cerebral edema and could be caused by some pharmacological agents, such as molecular-specific target agents. Lenvatinib belongs to the tyrosine kinase inhibitors and was approved in 2015 for progressive locally advanced or metastatic thyroid cancer refractory to radioactive iodine (I-131) treatment. Herein, we present the case of a 65-year-old woman who, while receiving treatment with lenvatinib for radioiodine-refractory metastatic papillary thyroid carcinoma, developed PRES without hypertension at the initial evaluation. Her clinical and radiological findings improved after withdrawing from the mentioned therapy, and later it was possible to re-incorporate lower doses of the medication, as described in the other three case reports found in the worldwide medical literature. The recognition of this entity is essential to timely suspend the drug and avoid greater comorbidity. This is the first paper reporting this kind of adverse event using lenvatinib in a Hispanic population.</p>","PeriodicalId":13969,"journal":{"name":"International Journal of Endocrinology and Metabolism","volume":"1 1","pages":"e136900"},"PeriodicalIF":1.8000,"publicationDate":"2023-07-29","publicationTypes":"Journal Article","fieldsOfStudy":null,"isOpenAccess":false,"openAccessPdf":"https://www.ncbi.nlm.nih.gov/pmc/articles/PMC10676670/pdf/","citationCount":"1","resultStr":null,"platform":"Semanticscholar","paperid":null,"PeriodicalName":"International Journal of Endocrinology and Metabolism","FirstCategoryId":"3","ListUrlMain":"https://doi.org/10.5812/ijem-136900","RegionNum":0,"RegionCategory":null,"ArticlePicture":[],"TitleCN":null,"AbstractTextCN":null,"PMCID":null,"EPubDate":"2023/7/1 0:00:00","PubModel":"eCollection","JCR":"Q3","JCRName":"ENDOCRINOLOGY & METABOLISM","Score":null,"Total":0}
引用次数: 1

Abstract

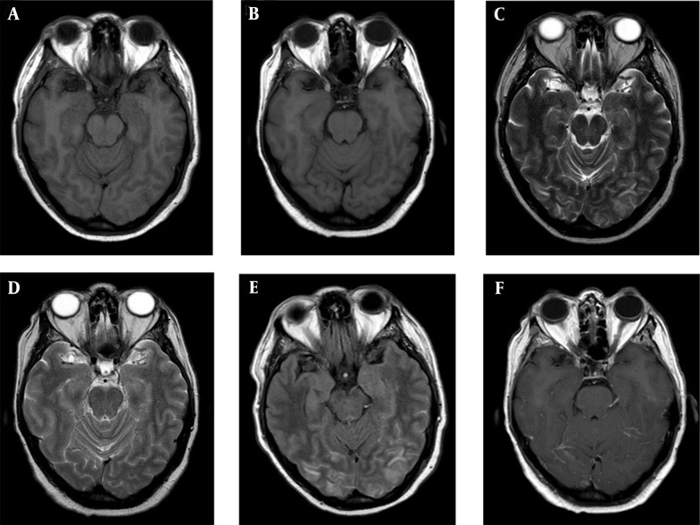
Posterior reversible encephalopathy syndrome (PRES) is an uncommon transient neuroradiological phenomenon that develops vasogenic cerebral edema and could be caused by some pharmacological agents, such as molecular-specific target agents. Lenvatinib belongs to the tyrosine kinase inhibitors and was approved in 2015 for progressive locally advanced or metastatic thyroid cancer refractory to radioactive iodine (I-131) treatment. Herein, we present the case of a 65-year-old woman who, while receiving treatment with lenvatinib for radioiodine-refractory metastatic papillary thyroid carcinoma, developed PRES without hypertension at the initial evaluation. Her clinical and radiological findings improved after withdrawing from the mentioned therapy, and later it was possible to re-incorporate lower doses of the medication, as described in the other three case reports found in the worldwide medical literature. The recognition of this entity is essential to timely suspend the drug and avoid greater comorbidity. This is the first paper reporting this kind of adverse event using lenvatinib in a Hispanic population.

Abstract Image

后可逆性脑病综合征作为Lenvatinib对甲状腺乳头状癌患者的不良反应:1例报告。
后可逆性脑病综合征(PRES)是一种罕见的一过性神经放射学现象,可发展为血管源性脑水肿,可能由某些药物引起,如分子特异性靶标药物。Lenvatinib属于酪氨酸激酶抑制剂,于2015年被批准用于对放射性碘(I-131)治疗难治的进行性局部晚期或转移性甲状腺癌。在此,我们报告了一位65岁的女性,她在接受lenvatinib治疗放射性碘难治性转移性甲状腺乳头状癌时,在最初的评估中出现了PRES,但没有高血压。她的临床和放射学表现在停止上述治疗后有所改善,后来有可能重新加入较低剂量的药物,如世界医学文献中发现的其他三例病例报告所述。承认这一实体对于及时停药和避免更大的合并症至关重要。这是第一篇报道在西班牙裔人群中使用lenvatinib的此类不良事件的论文。
本文章由计算机程序翻译,如有差异,请以英文原文为准。
求助全文
约1分钟内获得全文 求助全文
来源期刊
CiteScore
3.10
自引率
4.80%
发文量
0
期刊介绍: The aim of the International Journal of Endocrinology and Metabolism (IJEM) is to increase knowledge, stimulate research in the field of endocrinology, and promote better management of patients with endocrinological disorders. To achieve this goal, the journal publishes original research papers on human, animal and cell culture studies relevant to endocrinology.
×
引用
GB/T 7714-2015
复制
MLA
复制
APA
复制
导出至
BibTeX EndNote RefMan NoteFirst NoteExpress
×
提示
您的信息不完整,为了账户安全,请先补充。
现在去补充
×
提示
您因"违规操作"
具体请查看互助需知
我知道了
×
提示
确定
请完成安全验证×
copy
已复制链接
快去分享给好友吧!
我知道了
右上角分享
点击右上角分享
0
联系我们:info@booksci.cn Book学术提供免费学术资源搜索服务,方便国内外学者检索中英文文献。致力于提供最便捷和优质的服务体验。 Copyright © 2023 布克学术 All rights reserved.
京ICP备2023020795号-1
ghs 京公网安备 11010802042870号
Book学术文献互助
Book学术文献互助群
群 号:604180095
Book学术官方微信