Pathologic conditions associated with impacted third molars: A retrospective study of panoramic radiographs in a Southern Brazilian population.

IF 2.1 Q3 DENTISTRY, ORAL SURGERY & MEDICINE
Imaging Science in Dentistry Pub Date : 2023-12-01 Epub Date: 2023-09-04 DOI:10.5624/isd.20230036
Gabriela Brum Cardoso, Gleica Dal' Ongaro Savegnago, Wâneza Dias Borges Hirsch, Mariana Boessio Vizzotto, Gabriela Salatino Liedke
{"title":"Pathologic conditions associated with impacted third molars: A retrospective study of panoramic radiographs in a Southern Brazilian population.","authors":"Gabriela Brum Cardoso, Gleica Dal' Ongaro Savegnago, Wâneza Dias Borges Hirsch, Mariana Boessio Vizzotto, Gabriela Salatino Liedke","doi":"10.5624/isd.20230036","DOIUrl":null,"url":null,"abstract":"<p><strong>Purpose: </strong>This study investigated the prevalence of developmental and acquired pathologic conditions associated with impacted third molars (3Ms) in a Southern Brazilian population and evaluated whether demographic and tooth characteristics were correlated with the presence of bone or tooth lesions.</p><p><strong>Materials and methods: </strong>Panoramic radiographs were assessed for developmental (bone-related) or acquired (tooth-related) pathoses associated with impacted upper or lower 3Ms. Data on tooth positioning, tooth development, and patient demographics were collected. A trained, calibrated postgraduate student evaluated all images. Binary and multivariate logistic regression models were used to assess associations between outcomes and the demographic and radiographic variables. The threshold for statistical significance was set at 5% (<i>P</i><0.05).</p><p><strong>Results: </strong>The sample comprised panoramic radiographs from 2054 patients, predominantly female (59.2%), with a mean age of 27.2 ± 11.5 years. Overall, 4066 impacted 3Ms were evaluated, revealing 471 (11.6%) developmental and 710 (17.5%) acquired pathoses. Among the developmental pathoses, 460 (95.2%) were indicative of dentigerous cysts. Male sex, lower 3M location, vertical or distoangular positioning, and incomplete root formation were associated with an elevated likelihood of developmental pathology. Lower tooth position, complete root formation, and partial eruption were linked to an increased probability of an acquired pathology in the third or second molar.</p><p><strong>Conclusion: </strong>The prevalence of pathologic conditions associated with impacted 3Ms was low. Male sex, lower 3M placement, horizontal or distoangular positioning, and incomplete root formation were associated with developmental pathoses, while lower tooth position, complete root formation, and partial eruption were related to acquired pathoses.</p>","PeriodicalId":51714,"journal":{"name":"Imaging Science in Dentistry","volume":"1 1","pages":"303-312"},"PeriodicalIF":2.1000,"publicationDate":"2023-12-01","publicationTypes":"Journal Article","fieldsOfStudy":null,"isOpenAccess":false,"openAccessPdf":"https://www.ncbi.nlm.nih.gov/pmc/articles/PMC10761288/pdf/","citationCount":"0","resultStr":null,"platform":"Semanticscholar","paperid":null,"PeriodicalName":"Imaging Science in Dentistry","FirstCategoryId":"1085","ListUrlMain":"https://doi.org/10.5624/isd.20230036","RegionNum":0,"RegionCategory":null,"ArticlePicture":[],"TitleCN":null,"AbstractTextCN":null,"PMCID":null,"EPubDate":"2023/9/4 0:00:00","PubModel":"Epub","JCR":"Q3","JCRName":"DENTISTRY, ORAL SURGERY & MEDICINE","Score":null,"Total":0}
引用次数: 0

Abstract

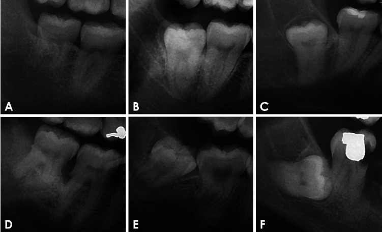
Purpose: This study investigated the prevalence of developmental and acquired pathologic conditions associated with impacted third molars (3Ms) in a Southern Brazilian population and evaluated whether demographic and tooth characteristics were correlated with the presence of bone or tooth lesions.

Materials and methods: Panoramic radiographs were assessed for developmental (bone-related) or acquired (tooth-related) pathoses associated with impacted upper or lower 3Ms. Data on tooth positioning, tooth development, and patient demographics were collected. A trained, calibrated postgraduate student evaluated all images. Binary and multivariate logistic regression models were used to assess associations between outcomes and the demographic and radiographic variables. The threshold for statistical significance was set at 5% (P<0.05).

Results: The sample comprised panoramic radiographs from 2054 patients, predominantly female (59.2%), with a mean age of 27.2 ± 11.5 years. Overall, 4066 impacted 3Ms were evaluated, revealing 471 (11.6%) developmental and 710 (17.5%) acquired pathoses. Among the developmental pathoses, 460 (95.2%) were indicative of dentigerous cysts. Male sex, lower 3M location, vertical or distoangular positioning, and incomplete root formation were associated with an elevated likelihood of developmental pathology. Lower tooth position, complete root formation, and partial eruption were linked to an increased probability of an acquired pathology in the third or second molar.

Conclusion: The prevalence of pathologic conditions associated with impacted 3Ms was low. Male sex, lower 3M placement, horizontal or distoangular positioning, and incomplete root formation were associated with developmental pathoses, while lower tooth position, complete root formation, and partial eruption were related to acquired pathoses.

Abstract Image

Abstract Image

Abstract Image

与撞击性第三磨牙相关的病理条件:对巴西南部人群全景照片的回顾性研究。
目的:本研究调查了巴西南部人群中与第三磨牙(3Ms)撞击相关的发育性和获得性病症的患病率,并评估了人口统计学特征和牙齿特征是否与牙槽骨或牙齿病变相关:收集有关牙齿位置、牙齿发育和患者人口统计学特征的数据。一名经过培训和校准的研究生对所有图像进行了评估。二元和多元逻辑回归模型用于评估结果与人口统计学和放射学变量之间的关联。统计显著性阈值设定为 5%(PResults:样本包括 2054 名患者的全景照片,其中女性占多数(59.2%),平均年龄为 27.2 ± 11.5 岁。共评估了 4066 枚受影响的 3Ms ,其中 471 枚(11.6%)为发育性病变,710 枚(17.5%)为后天性病变。在发育性病变中,460颗(95.2%)表现为齿槽囊肿。男性性别、下3M位置、垂直或双角位置以及牙根未完全形成与发育性病变的可能性增加有关。牙齿位置较低、牙根完全形成和部分萌出与第三或第二磨牙后天病变的可能性增加有关:结论:与影响性第三磨牙相关的病理情况发生率较低。男性性别、3M位置较低、水平或双角位置以及牙根未完全形成与发育性病变有关,而牙齿位置较低、牙根完全形成和部分萌出则与获得性病变有关。
本文章由计算机程序翻译,如有差异,请以英文原文为准。
求助全文
约1分钟内获得全文 求助全文
来源期刊
Imaging Science in Dentistry
Imaging Science in Dentistry DENTISTRY, ORAL SURGERY & MEDICINE-
CiteScore
2.90
自引率
11.10%
发文量
42
×
引用
GB/T 7714-2015
复制
MLA
复制
APA
复制
导出至
BibTeX EndNote RefMan NoteFirst NoteExpress
×
提示
您的信息不完整,为了账户安全,请先补充。
现在去补充
×
提示
您因"违规操作"
具体请查看互助需知
我知道了
×
提示
确定
请完成安全验证×
copy
已复制链接
快去分享给好友吧!
我知道了
右上角分享
点击右上角分享
0
联系我们:info@booksci.cn Book学术提供免费学术资源搜索服务,方便国内外学者检索中英文文献。致力于提供最便捷和优质的服务体验。 Copyright © 2023 布克学术 All rights reserved.
京ICP备2023020795号-1
ghs 京公网安备 11010802042870号
Book学术文献互助
Book学术文献互助群
群 号:604180095
Book学术官方微信