Pleomorphic Adenoma in an Immunocompromised Patient.

Q3 Medicine
Journal of Microscopy and Ultrastructure Pub Date : 2023-03-22 eCollection Date: 2025-07-01 DOI:10.4103/jmau.jmau_90_22
Cathy Babu, Sandhya Tamgadge, Treville Pereira, Vishal Punjabi
{"title":"Pleomorphic Adenoma in an Immunocompromised Patient.","authors":"Cathy Babu, Sandhya Tamgadge, Treville Pereira, Vishal Punjabi","doi":"10.4103/jmau.jmau_90_22","DOIUrl":null,"url":null,"abstract":"<p><p>Salivary gland tumors are known for its rarity and almost 30%-40% occur in the minor salivary glands, out of which, pleomorphic adenoma (PA) is rated to be the most common benign salivary gland neoplasm. This term was first termed by Willis and is called so, because of the ability of the cells of this tumor to differentiate into epithelial cells and mesenchymal cells, which gives it an unusual histologic pattern. Literature reports most PAs to be associated with parotid salivary glands and palatal salivary glands, the latter being the most common intraoral site of origin. Interestingly, no case reports have been published of a palatal PA in an immunocompromised individual. We report a unique case of a PA arising on the hard palate of a 54-year-old male human immunodeficiency virus-acquired immunodeficiency syndrome patient.</p>","PeriodicalId":16340,"journal":{"name":"Journal of Microscopy and Ultrastructure","volume":"1 1","pages":"162-165"},"PeriodicalIF":0.0000,"publicationDate":"2023-03-22","publicationTypes":"Journal Article","fieldsOfStudy":null,"isOpenAccess":false,"openAccessPdf":"https://www.ncbi.nlm.nih.gov/pmc/articles/PMC12499934/pdf/","citationCount":"0","resultStr":null,"platform":"Semanticscholar","paperid":null,"PeriodicalName":"Journal of Microscopy and Ultrastructure","FirstCategoryId":"1085","ListUrlMain":"https://doi.org/10.4103/jmau.jmau_90_22","RegionNum":0,"RegionCategory":null,"ArticlePicture":[],"TitleCN":null,"AbstractTextCN":null,"PMCID":null,"EPubDate":"2025/7/1 0:00:00","PubModel":"eCollection","JCR":"Q3","JCRName":"Medicine","Score":null,"Total":0}
引用次数: 0

Abstract

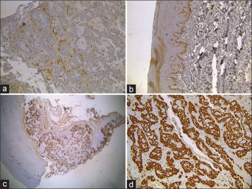
Salivary gland tumors are known for its rarity and almost 30%-40% occur in the minor salivary glands, out of which, pleomorphic adenoma (PA) is rated to be the most common benign salivary gland neoplasm. This term was first termed by Willis and is called so, because of the ability of the cells of this tumor to differentiate into epithelial cells and mesenchymal cells, which gives it an unusual histologic pattern. Literature reports most PAs to be associated with parotid salivary glands and palatal salivary glands, the latter being the most common intraoral site of origin. Interestingly, no case reports have been published of a palatal PA in an immunocompromised individual. We report a unique case of a PA arising on the hard palate of a 54-year-old male human immunodeficiency virus-acquired immunodeficiency syndrome patient.

Abstract Image

Abstract Image

Abstract Image

免疫功能低下患者的多形性腺瘤。
唾液腺肿瘤罕见,约30%-40%发生在小唾液腺,其中多形性腺瘤(PA)被认为是最常见的良性唾液腺肿瘤。这个术语最初是由Willis提出的,之所以这样称呼,是因为这种肿瘤的细胞能够分化为上皮细胞和间充质细胞,这使其具有不寻常的组织学模式。文献报道大多数PAs与腮腺唾液腺和腭唾液腺有关,后者是最常见的口腔内起源部位。有趣的是,在免疫功能低下的个体中,没有发表过腭PA的病例报告。我们报告一个独特的PA出现在硬腭的一个54岁的男性人类免疫缺陷病毒获得性免疫缺陷综合征患者。
本文章由计算机程序翻译,如有差异,请以英文原文为准。
求助全文
约1分钟内获得全文 求助全文
来源期刊
CiteScore
1.90
自引率
0.00%
发文量
46
×
引用
GB/T 7714-2015
复制
MLA
复制
APA
复制
导出至
BibTeX EndNote RefMan NoteFirst NoteExpress
×
提示
您的信息不完整,为了账户安全,请先补充。
现在去补充
×
提示
您因"违规操作"
具体请查看互助需知
我知道了
×
提示
确定
请完成安全验证×
copy
已复制链接
快去分享给好友吧!
我知道了
右上角分享
点击右上角分享
0
联系我们:info@booksci.cn Book学术提供免费学术资源搜索服务,方便国内外学者检索中英文文献。致力于提供最便捷和优质的服务体验。 Copyright © 2023 布克学术 All rights reserved.
京ICP备2023020795号-1
ghs 京公网安备 11010802042870号
Book学术文献互助
Book学术文献互助群
群 号:604180095
Book学术官方微信