Large Retroperitoneal Tumor Operated for Suspected Renal Cell Carcinoma Turned Out to be Primary Renal Synovial Sarcoma: A Rare Entity.

Q3 Medicine
Journal of Microscopy and Ultrastructure Pub Date : 2023-03-22 eCollection Date: 2025-04-01 DOI:10.4103/jmau.jmau_72_22
Pranita Mohanty, Surabhi Singh, Pallak Batalia
{"title":"Large Retroperitoneal Tumor Operated for Suspected Renal Cell Carcinoma Turned Out to be Primary Renal Synovial Sarcoma: A Rare Entity.","authors":"Pranita Mohanty, Surabhi Singh, Pallak Batalia","doi":"10.4103/jmau.jmau_72_22","DOIUrl":null,"url":null,"abstract":"<p><p>Approximately 5%-10% of soft-tissue tumor comprised synovial sarcoma (SS) and are commonly found in close proximity of large joints affecting young adults. However, SS of the kidney is extremely unusual (1%) and has a poor prognosis. There are three subtypes of primary renal SS (PRSS). The monophasic variant is the most common and shares the same clinical, molecular, and ultrastructural features with other subtypes. Histomorphology with immunohistochemistry (IHC) differentiates it from other sarcomas of kidney and sarcomatoid renal cell carcinoma. Genetic analysis reveals specific SYT-SSX2 (X, 18) translocation. Herein, a case of PRSS (monophasic variant) is presented in a 31-year-old female with right-sided loin pain and huge mass of size (11.9 cm × 9.3 cm × 10 cm) without associated hematuria. It was clinically thought to be renal cell carcinoma. Radical nephrectomy was performed, followed by histopathology and IHC which suggested PRSS. Then, combined chemotherapy of doxorubicin with cyclophosphamide was rendered, and on follow-up, she is doing well with an uneventful course.</p>","PeriodicalId":16340,"journal":{"name":"Journal of Microscopy and Ultrastructure","volume":"1 1","pages":"109-111"},"PeriodicalIF":0.0000,"publicationDate":"2023-03-22","publicationTypes":"Journal Article","fieldsOfStudy":null,"isOpenAccess":false,"openAccessPdf":"https://www.ncbi.nlm.nih.gov/pmc/articles/PMC12236405/pdf/","citationCount":"0","resultStr":null,"platform":"Semanticscholar","paperid":null,"PeriodicalName":"Journal of Microscopy and Ultrastructure","FirstCategoryId":"1085","ListUrlMain":"https://doi.org/10.4103/jmau.jmau_72_22","RegionNum":0,"RegionCategory":null,"ArticlePicture":[],"TitleCN":null,"AbstractTextCN":null,"PMCID":null,"EPubDate":"2025/4/1 0:00:00","PubModel":"eCollection","JCR":"Q3","JCRName":"Medicine","Score":null,"Total":0}
引用次数: 0

Abstract

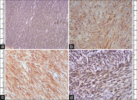
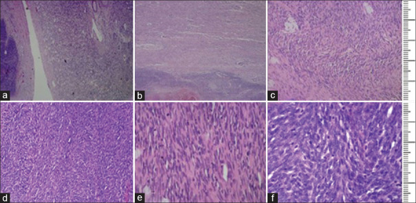
Approximately 5%-10% of soft-tissue tumor comprised synovial sarcoma (SS) and are commonly found in close proximity of large joints affecting young adults. However, SS of the kidney is extremely unusual (1%) and has a poor prognosis. There are three subtypes of primary renal SS (PRSS). The monophasic variant is the most common and shares the same clinical, molecular, and ultrastructural features with other subtypes. Histomorphology with immunohistochemistry (IHC) differentiates it from other sarcomas of kidney and sarcomatoid renal cell carcinoma. Genetic analysis reveals specific SYT-SSX2 (X, 18) translocation. Herein, a case of PRSS (monophasic variant) is presented in a 31-year-old female with right-sided loin pain and huge mass of size (11.9 cm × 9.3 cm × 10 cm) without associated hematuria. It was clinically thought to be renal cell carcinoma. Radical nephrectomy was performed, followed by histopathology and IHC which suggested PRSS. Then, combined chemotherapy of doxorubicin with cyclophosphamide was rendered, and on follow-up, she is doing well with an uneventful course.

Abstract Image

Abstract Image

Abstract Image

大腹膜后肿瘤手术疑似肾细胞癌,结果发现是原发性肾滑膜肉瘤:一个罕见的实体。
大约5%-10%的软组织肿瘤由滑膜肉瘤(SS)组成,通常在靠近大关节的地方发现,影响年轻人。然而,肾SS极为罕见(1%),预后较差。原发性肾性SS (PRSS)有三种亚型。单相变异是最常见的,与其他亚型具有相同的临床、分子和超微结构特征。免疫组化(IHC)组织形态学与其他肾肉瘤及肉瘤样肾细胞癌鉴别。遗传分析显示SYT-SSX2 (X, 18)易位。本文报告一例PRSS(单相变异型),患者为31岁女性,右侧腰痛,体积巨大(11.9 cm × 9.3 cm × 10 cm),无血尿。临床认为是肾细胞癌。行根治性肾切除术,组织病理及免疫组化检查提示PRSS。随后给予阿霉素与环磷酰胺联合化疗,随访中,患者表现良好,疗程平稳。
本文章由计算机程序翻译,如有差异,请以英文原文为准。
求助全文
约1分钟内获得全文 求助全文
来源期刊
CiteScore
1.90
自引率
0.00%
发文量
46
×
引用
GB/T 7714-2015
复制
MLA
复制
APA
复制
导出至
BibTeX EndNote RefMan NoteFirst NoteExpress
×
提示
您的信息不完整,为了账户安全,请先补充。
现在去补充
×
提示
您因"违规操作"
具体请查看互助需知
我知道了
×
提示
确定
请完成安全验证×
copy
已复制链接
快去分享给好友吧!
我知道了
右上角分享
点击右上角分享
0
联系我们:info@booksci.cn Book学术提供免费学术资源搜索服务,方便国内外学者检索中英文文献。致力于提供最便捷和优质的服务体验。 Copyright © 2023 布克学术 All rights reserved.
京ICP备2023020795号-1
ghs 京公网安备 11010802042870号
Book学术文献互助
Book学术文献互助群
群 号:604180095
Book学术官方微信