Giant Placental Chorioangioma in a Young Patient Causing Adverse Fetal Outcome.

Q3 Medicine
Journal of Microscopy and Ultrastructure Pub Date : 2023-01-19 eCollection Date: 2024-10-01 DOI:10.4103/jmau.jmau_71_22
Shagun Wadhwa, Sonali Dixit, Sonal Sharma
{"title":"Giant Placental Chorioangioma in a Young Patient Causing Adverse Fetal Outcome.","authors":"Shagun Wadhwa, Sonali Dixit, Sonal Sharma","doi":"10.4103/jmau.jmau_71_22","DOIUrl":null,"url":null,"abstract":"<p><p>Chorioangiomas are benign vascular tumors of the placenta originating from chorionic tissue. They are also known as hemangiomas of the placenta. They occur in approximately 0.5%-1% of all pregnancies. Large chorioangiomas are rare and may lead to serious fetal and maternal complications. Here, we are describing a case of giant placental chorioangioma in a 19-year-old young female (G2A1) who presented to us at 39 weeks of gestation with decreased fetal movements. Ultrasound examination revealed an enlarged placenta with a well-defined 9.4 cm × 9.3 cm heteroechoic area with increased vascularity. Cesarean section was performed in view of fetal distress and a female baby weighing 1.6 kg was delivered. The newborn died within 2 weeks due to pulmonary hypoplasia and hemodynamic failure. The diagnosis of chorioangioma was confirmed with histopathology. This case depicts the necessity of early diagnosis, close fetal monitoring, and timely intervention in achieving a favorable pregnancy outcome.</p>","PeriodicalId":16340,"journal":{"name":"Journal of Microscopy and Ultrastructure","volume":"1 1","pages":"225-227"},"PeriodicalIF":0.0000,"publicationDate":"2023-01-19","publicationTypes":"Journal Article","fieldsOfStudy":null,"isOpenAccess":false,"openAccessPdf":"https://www.ncbi.nlm.nih.gov/pmc/articles/PMC11729019/pdf/","citationCount":"0","resultStr":null,"platform":"Semanticscholar","paperid":null,"PeriodicalName":"Journal of Microscopy and Ultrastructure","FirstCategoryId":"1085","ListUrlMain":"https://doi.org/10.4103/jmau.jmau_71_22","RegionNum":0,"RegionCategory":null,"ArticlePicture":[],"TitleCN":null,"AbstractTextCN":null,"PMCID":null,"EPubDate":"2024/10/1 0:00:00","PubModel":"eCollection","JCR":"Q3","JCRName":"Medicine","Score":null,"Total":0}
引用次数: 0

Abstract

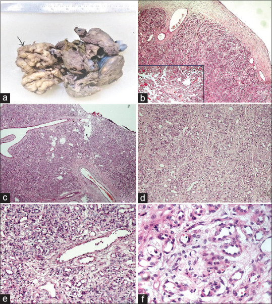
Chorioangiomas are benign vascular tumors of the placenta originating from chorionic tissue. They are also known as hemangiomas of the placenta. They occur in approximately 0.5%-1% of all pregnancies. Large chorioangiomas are rare and may lead to serious fetal and maternal complications. Here, we are describing a case of giant placental chorioangioma in a 19-year-old young female (G2A1) who presented to us at 39 weeks of gestation with decreased fetal movements. Ultrasound examination revealed an enlarged placenta with a well-defined 9.4 cm × 9.3 cm heteroechoic area with increased vascularity. Cesarean section was performed in view of fetal distress and a female baby weighing 1.6 kg was delivered. The newborn died within 2 weeks due to pulmonary hypoplasia and hemodynamic failure. The diagnosis of chorioangioma was confirmed with histopathology. This case depicts the necessity of early diagnosis, close fetal monitoring, and timely intervention in achieving a favorable pregnancy outcome.

Abstract Image

年轻患者巨大胎盘绒毛膜血管瘤导致不良胎儿结局。
绒毛膜血管瘤是起源于绒毛膜组织的良性胎盘血管肿瘤。它们也被称为胎盘血管瘤。大约0.5%-1%的孕妇会出现这种情况。大的绒毛膜血管瘤是罕见的,可能导致严重的胎儿和母体并发症。在这里,我们描述了一个19岁年轻女性(G2A1)的巨大胎盘绒毛膜血管瘤的病例,她在妊娠39周时出现胎动减少。超声检查显示胎盘增大,9.4 cm × 9.3 cm异质回声区清晰,血管增多。因胎儿窘迫行剖宫产,产下一名体重1.6 kg的女婴。新生儿在2周内因肺发育不全和血流动力学衰竭死亡。组织病理学证实了绒毛膜血管瘤的诊断。本病例描述了早期诊断,密切胎儿监测和及时干预的必要性,以实现良好的妊娠结局。
本文章由计算机程序翻译,如有差异,请以英文原文为准。
求助全文
约1分钟内获得全文 求助全文
来源期刊
CiteScore
1.90
自引率
0.00%
发文量
46
×
引用
GB/T 7714-2015
复制
MLA
复制
APA
复制
导出至
BibTeX EndNote RefMan NoteFirst NoteExpress
×
提示
您的信息不完整,为了账户安全,请先补充。
现在去补充
×
提示
您因"违规操作"
具体请查看互助需知
我知道了
×
提示
确定
请完成安全验证×
copy
已复制链接
快去分享给好友吧!
我知道了
右上角分享
点击右上角分享
0
联系我们:info@booksci.cn Book学术提供免费学术资源搜索服务,方便国内外学者检索中英文文献。致力于提供最便捷和优质的服务体验。 Copyright © 2023 布克学术 All rights reserved.
京ICP备2023020795号-1
ghs 京公网安备 11010802042870号
Book学术文献互助
Book学术文献互助群
群 号:604180095
Book学术官方微信