Categorizing Malignant Small Round Cell Tumors in Aspiration Cytology: An Institutional Experience.

Q3 Medicine
Journal of Microscopy and Ultrastructure Pub Date : 2022-12-01 eCollection Date: 2024-01-01 DOI:10.4103/jmau.jmau_66_21
Nibedita Sahoo, Urvashi Ghosh, Debahuti Mohapatra, Priyadarshini Dehuri
{"title":"Categorizing Malignant Small Round Cell Tumors in Aspiration Cytology: An Institutional Experience.","authors":"Nibedita Sahoo, Urvashi Ghosh, Debahuti Mohapatra, Priyadarshini Dehuri","doi":"10.4103/jmau.jmau_66_21","DOIUrl":null,"url":null,"abstract":"<p><strong>Aim and objectives: </strong>The study aims to categorize malignant small round cell tumors (MSRCTs) originating in various sites of the body with the objective of utilization of cytomorphological features and ancillary techniques.</p><p><strong>Study design: </strong>It is a cross-sectional study conducted over a time span of 3 years (2017-2020). 33 cases of tumors with round cell morphology were evaluated by fine needle aspiration cytology (FNAC).</p><p><strong>Materials and methods: </strong>The application of cell block preparation supported by immunohistochemistry aided in the categorization of 23 cases with definite diagnosis and the rest were reported as MSRCTs.</p><p><strong>Results: </strong>Among the categorized 23/33 cases, the most common diagnosis was Ewing's sarcoma (7/23) followed by 6 cases of lymphoma. There were 2 cases each of rhabdomyosarcoma and Langerhans cell histiocytosis (LCH) and 1 case each of neuroblastoma, desmoplastic small round cell tumor (DSRCT), myeloid sarcoma, neuroendocrine tumor of pancreas, plasmacytoma, and small cell carcinoma. Histopathology confirmation was available in 24/33 cases. Among the categorized tumors (23/33), biopsy correlation was available in 19 cases, of which concordant result was seen in 17 cases (89.47%), which were 6 cases of lymphoma, 5 cases of Ewing's sarcoma (EWS), 2 of rhabdomyosarcoma, and 1 each of neuroblastoma, small cell carcinoma, DSRCT, and LCH. Discordant result was seen in one case of rhabdomyosarcoma and a case of synovial sarcoma reported as extraskeletal EWS in cytology. Out of the uncategorized cases reported as MSRTCs, histopathology was available in 5 cases which were diagnosed as rhabdomyosarcoma (1 cases), lymphoma (1 case), amelanotic melanoma (1 case), and extraskeletal EWS (2 cases).</p><p><strong>Conclusion: </strong>Categorization of MSRCTs should be done to implement appropriate therapeutic protocol. FNAC provides a rapid diagnosis contributing immensely for the timely management of the patient. Detailed cytomorphological evaluation serves as a guide for further evaluation by ancillary techniques leading to definitive diagnosis.</p>","PeriodicalId":16340,"journal":{"name":"Journal of Microscopy and Ultrastructure","volume":"1 1","pages":"27-34"},"PeriodicalIF":0.0000,"publicationDate":"2022-12-01","publicationTypes":"Journal Article","fieldsOfStudy":null,"isOpenAccess":false,"openAccessPdf":"https://www.ncbi.nlm.nih.gov/pmc/articles/PMC11019590/pdf/","citationCount":"0","resultStr":null,"platform":"Semanticscholar","paperid":null,"PeriodicalName":"Journal of Microscopy and Ultrastructure","FirstCategoryId":"1085","ListUrlMain":"https://doi.org/10.4103/jmau.jmau_66_21","RegionNum":0,"RegionCategory":null,"ArticlePicture":[],"TitleCN":null,"AbstractTextCN":null,"PMCID":null,"EPubDate":"2024/1/1 0:00:00","PubModel":"eCollection","JCR":"Q3","JCRName":"Medicine","Score":null,"Total":0}
引用次数: 0

Abstract

Aim and objectives: The study aims to categorize malignant small round cell tumors (MSRCTs) originating in various sites of the body with the objective of utilization of cytomorphological features and ancillary techniques.

Study design: It is a cross-sectional study conducted over a time span of 3 years (2017-2020). 33 cases of tumors with round cell morphology were evaluated by fine needle aspiration cytology (FNAC).

Materials and methods: The application of cell block preparation supported by immunohistochemistry aided in the categorization of 23 cases with definite diagnosis and the rest were reported as MSRCTs.

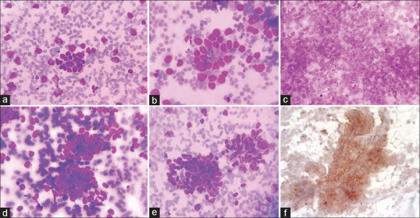
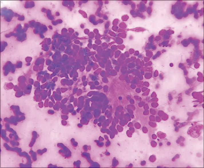
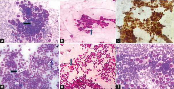
Results: Among the categorized 23/33 cases, the most common diagnosis was Ewing's sarcoma (7/23) followed by 6 cases of lymphoma. There were 2 cases each of rhabdomyosarcoma and Langerhans cell histiocytosis (LCH) and 1 case each of neuroblastoma, desmoplastic small round cell tumor (DSRCT), myeloid sarcoma, neuroendocrine tumor of pancreas, plasmacytoma, and small cell carcinoma. Histopathology confirmation was available in 24/33 cases. Among the categorized tumors (23/33), biopsy correlation was available in 19 cases, of which concordant result was seen in 17 cases (89.47%), which were 6 cases of lymphoma, 5 cases of Ewing's sarcoma (EWS), 2 of rhabdomyosarcoma, and 1 each of neuroblastoma, small cell carcinoma, DSRCT, and LCH. Discordant result was seen in one case of rhabdomyosarcoma and a case of synovial sarcoma reported as extraskeletal EWS in cytology. Out of the uncategorized cases reported as MSRTCs, histopathology was available in 5 cases which were diagnosed as rhabdomyosarcoma (1 cases), lymphoma (1 case), amelanotic melanoma (1 case), and extraskeletal EWS (2 cases).

Conclusion: Categorization of MSRCTs should be done to implement appropriate therapeutic protocol. FNAC provides a rapid diagnosis contributing immensely for the timely management of the patient. Detailed cytomorphological evaluation serves as a guide for further evaluation by ancillary techniques leading to definitive diagnosis.

Abstract Image

Abstract Image

Abstract Image

抽吸细胞学中恶性小圆形细胞瘤的分类:机构经验。
目的和目标本研究旨在利用细胞形态学特征和辅助技术,对起源于身体不同部位的恶性小圆形细胞肿瘤(MSRCTs)进行分类:这是一项横断面研究,时间跨度为3年(2017-2020年)。通过细针穿刺细胞学(FNAC)对33例圆形细胞形态的肿瘤进行评估:应用细胞块制备并辅以免疫组化技术,对 23 例病例进行了明确诊断分类,其余病例被报告为 MSRCTs:在已分类的 23/33 个病例中,最常见的诊断是尤文氏肉瘤(7/23),其次是 6 例淋巴瘤。横纹肌肉瘤和朗格汉斯细胞组织细胞增生症(Langerhans cell histiocytosis,LCH)各占 2 例,神经母细胞瘤、去瘤小圆细胞瘤(Desmoplastic small round cell tumor,DSRCT)、髓系肉瘤、胰腺神经内分泌瘤、浆细胞瘤和小细胞癌各占 1 例。组织病理学证实的病例有 24/33 例。在已分类的肿瘤(23/33)中,19 例有活检相关性,其中 17 例(89.47%)结果一致,包括 6 例淋巴瘤、5 例尤文氏肉瘤(EWS)、2 例横纹肌肉瘤,以及神经母细胞瘤、小细胞癌、DSRCT 和 LCH 各 1 例。有一例横纹肌肉瘤和一例滑膜肉瘤在细胞学中被报告为骨骼外 EWS,结果不一致。在报告为 MSRTC 的未分类病例中,有 5 例获得了组织病理学诊断,分别被诊断为横纹肌肉瘤(1 例)、淋巴瘤(1 例)、黑色素瘤(1 例)和骨外 EWS(2 例):结论:应将 MSRCT 分类,以实施适当的治疗方案。FNAC可提供快速诊断,为及时治疗患者做出巨大贡献。详细的细胞形态学评估可为辅助技术的进一步评估提供指导,最终明确诊断。
本文章由计算机程序翻译,如有差异,请以英文原文为准。
求助全文
约1分钟内获得全文 求助全文
来源期刊
CiteScore
1.90
自引率
0.00%
发文量
46
×
引用
GB/T 7714-2015
复制
MLA
复制
APA
复制
导出至
BibTeX EndNote RefMan NoteFirst NoteExpress
×
提示
您的信息不完整,为了账户安全,请先补充。
现在去补充
×
提示
您因"违规操作"
具体请查看互助需知
我知道了
×
提示
确定
请完成安全验证×
copy
已复制链接
快去分享给好友吧!
我知道了
右上角分享
点击右上角分享
0
联系我们:info@booksci.cn Book学术提供免费学术资源搜索服务,方便国内外学者检索中英文文献。致力于提供最便捷和优质的服务体验。 Copyright © 2023 布克学术 All rights reserved.
京ICP备2023020795号-1
ghs 京公网安备 11010802042870号
Book学术文献互助
Book学术文献互助群
群 号:604180095
Book学术官方微信