Does a Well-Differentiated Oral Squamous Cell Carcinoma Always Behave Well? A Case Series.

Q3 Medicine
Journal of Microscopy and Ultrastructure Pub Date : 2022-12-01 eCollection Date: 2025-01-01 DOI:10.4103/jmau.jmau_35_22
Reema Raina, Meenakshi Singhal, Anshi Jain, Devi Charan Shetty
{"title":"Does a Well-Differentiated Oral Squamous Cell Carcinoma Always Behave Well? A Case Series.","authors":"Reema Raina, Meenakshi Singhal, Anshi Jain, Devi Charan Shetty","doi":"10.4103/jmau.jmau_35_22","DOIUrl":null,"url":null,"abstract":"<p><p>Oral squamous cell carcinoma is the sixth most common human cancer and is usually preceded by a premalignant lesion. The patient usually presents it to the clinician at an advanced stage where there are limited treatment options available with declining survival rates. Cancer-deteriorated human lives have prepared the clinicians to take a significant step toward the better survival of patients. Hence, here, we report a case series of oral cancer using some prognostic factors that served in reaching out to conclusion and might favor a diagnostic help to clinicians and pathologists. The final diagnosis for every case was given as well-differentiated squamous cell carcinoma, yet they all exhibited poor prognostic parameters. Predictive markers of oral carcinoma in clinical, surgical, and histopathological fields contribute to their improved status of living. Such parameters, evaluated here in this case series, might lend a helping hand in determining the patient vulnerability toward poor survival and be provided with best treatment interventions.</p>","PeriodicalId":16340,"journal":{"name":"Journal of Microscopy and Ultrastructure","volume":"20 1","pages":"42-48"},"PeriodicalIF":0.0000,"publicationDate":"2022-12-01","publicationTypes":"Journal Article","fieldsOfStudy":null,"isOpenAccess":false,"openAccessPdf":"https://www.ncbi.nlm.nih.gov/pmc/articles/PMC12063930/pdf/","citationCount":"0","resultStr":null,"platform":"Semanticscholar","paperid":null,"PeriodicalName":"Journal of Microscopy and Ultrastructure","FirstCategoryId":"1085","ListUrlMain":"https://doi.org/10.4103/jmau.jmau_35_22","RegionNum":0,"RegionCategory":null,"ArticlePicture":[],"TitleCN":null,"AbstractTextCN":null,"PMCID":null,"EPubDate":"2025/1/1 0:00:00","PubModel":"eCollection","JCR":"Q3","JCRName":"Medicine","Score":null,"Total":0}
引用次数: 0

Abstract

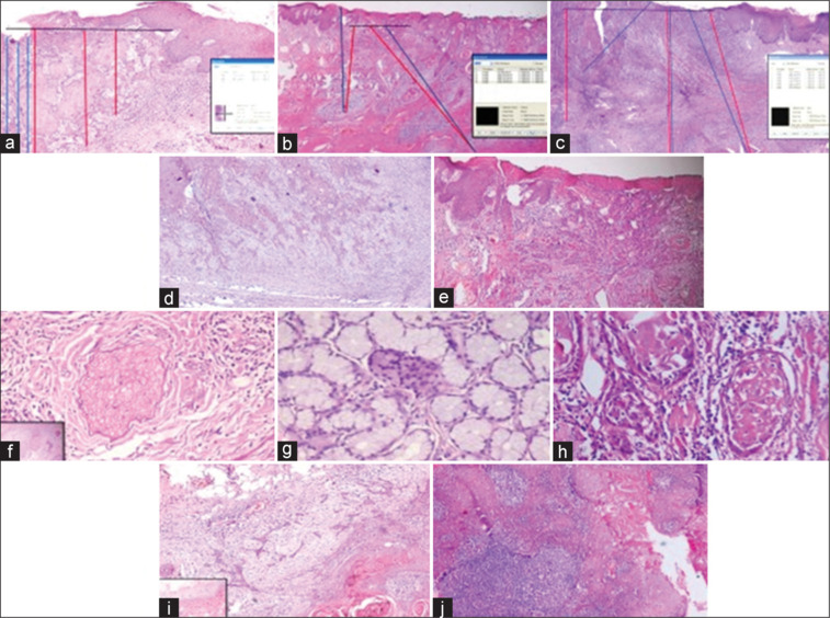
Oral squamous cell carcinoma is the sixth most common human cancer and is usually preceded by a premalignant lesion. The patient usually presents it to the clinician at an advanced stage where there are limited treatment options available with declining survival rates. Cancer-deteriorated human lives have prepared the clinicians to take a significant step toward the better survival of patients. Hence, here, we report a case series of oral cancer using some prognostic factors that served in reaching out to conclusion and might favor a diagnostic help to clinicians and pathologists. The final diagnosis for every case was given as well-differentiated squamous cell carcinoma, yet they all exhibited poor prognostic parameters. Predictive markers of oral carcinoma in clinical, surgical, and histopathological fields contribute to their improved status of living. Such parameters, evaluated here in this case series, might lend a helping hand in determining the patient vulnerability toward poor survival and be provided with best treatment interventions.

Abstract Image

Abstract Image

Abstract Image

分化良好的口腔鳞状细胞癌是否总是表现良好?案例系列。
口腔鳞状细胞癌是第六大最常见的人类癌症,通常之前有一个癌前病变。患者通常在晚期向临床医生提出,此时治疗选择有限,存活率下降。癌症恶化的人类生命使临床医生为提高患者存活率迈出了重要的一步。因此,在这里,我们报告了口腔癌病例系列,使用一些预后因素来得出结论,并可能有利于临床医生和病理学家的诊断帮助。每个病例的最终诊断都是高分化鳞状细胞癌,但他们都表现出不良的预后参数。口腔癌的临床、手术和组织病理学预测指标有助于改善患者的生活状况。在本病例系列中对这些参数进行评估,可能有助于确定患者对生存不良的脆弱性,并提供最佳的治疗干预措施。
本文章由计算机程序翻译,如有差异,请以英文原文为准。
求助全文
约1分钟内获得全文 求助全文
来源期刊
CiteScore
1.90
自引率
0.00%
发文量
46
×
引用
GB/T 7714-2015
复制
MLA
复制
APA
复制
导出至
BibTeX EndNote RefMan NoteFirst NoteExpress
×
提示
您的信息不完整,为了账户安全,请先补充。
现在去补充
×
提示
您因"违规操作"
具体请查看互助需知
我知道了
×
提示
确定
请完成安全验证×
copy
已复制链接
快去分享给好友吧!
我知道了
右上角分享
点击右上角分享
0
联系我们:info@booksci.cn Book学术提供免费学术资源搜索服务,方便国内外学者检索中英文文献。致力于提供最便捷和优质的服务体验。 Copyright © 2023 布克学术 All rights reserved.
京ICP备2023020795号-1
ghs 京公网安备 11010802042870号
Book学术文献互助
Book学术文献互助群
群 号:604180095
Book学术官方微信