Hamartoma of the Breast in a Young Female: Radio-Pathological Correlation.

Q3 Medicine
Journal of Microscopy and Ultrastructure Pub Date : 2023-02-07 eCollection Date: 2025-01-01 DOI:10.4103/jmau.jmau_142_20
Ravikanth Reddy
{"title":"Hamartoma of the Breast in a Young Female: Radio-Pathological Correlation.","authors":"Ravikanth Reddy","doi":"10.4103/jmau.jmau_142_20","DOIUrl":null,"url":null,"abstract":"<p><p>Hamartoma of the breast is a rare benign lesion that leads to unilateral breast enlargement with evidence of a localized palpable mass. Ultrasonography findings are typical and include a well-defined mass lesion of heterogeneous echotexture consisting of mixed echogenic and sonolucent areas. This case report describes a hamartoma of the breast in a 17-year-old female.</p>","PeriodicalId":16340,"journal":{"name":"Journal of Microscopy and Ultrastructure","volume":"1 1","pages":"52-53"},"PeriodicalIF":0.0000,"publicationDate":"2023-02-07","publicationTypes":"Journal Article","fieldsOfStudy":null,"isOpenAccess":false,"openAccessPdf":"https://www.ncbi.nlm.nih.gov/pmc/articles/PMC12063920/pdf/","citationCount":"0","resultStr":null,"platform":"Semanticscholar","paperid":null,"PeriodicalName":"Journal of Microscopy and Ultrastructure","FirstCategoryId":"1085","ListUrlMain":"https://doi.org/10.4103/jmau.jmau_142_20","RegionNum":0,"RegionCategory":null,"ArticlePicture":[],"TitleCN":null,"AbstractTextCN":null,"PMCID":null,"EPubDate":"2025/1/1 0:00:00","PubModel":"eCollection","JCR":"Q3","JCRName":"Medicine","Score":null,"Total":0}
引用次数: 0

Abstract

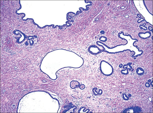
Hamartoma of the breast is a rare benign lesion that leads to unilateral breast enlargement with evidence of a localized palpable mass. Ultrasonography findings are typical and include a well-defined mass lesion of heterogeneous echotexture consisting of mixed echogenic and sonolucent areas. This case report describes a hamartoma of the breast in a 17-year-old female.

Abstract Image

Abstract Image

年轻女性乳房错构瘤:放射病理相关性。
乳房错构瘤是一种罕见的良性病变,可导致单侧乳房增大,伴有局部可触及的肿块。超声检查结果是典型的,包括一个明确的肿块,回声质地不均匀,由混合的回声和透光区域组成。本病例报告描述了一名17岁女性的乳房错构瘤。
本文章由计算机程序翻译,如有差异,请以英文原文为准。
求助全文
约1分钟内获得全文 求助全文
来源期刊
CiteScore
1.90
自引率
0.00%
发文量
46
×
引用
GB/T 7714-2015
复制
MLA
复制
APA
复制
导出至
BibTeX EndNote RefMan NoteFirst NoteExpress
×
提示
您的信息不完整,为了账户安全,请先补充。
现在去补充
×
提示
您因"违规操作"
具体请查看互助需知
我知道了
×
提示
确定
请完成安全验证×
copy
已复制链接
快去分享给好友吧!
我知道了
右上角分享
点击右上角分享
0
联系我们:info@booksci.cn Book学术提供免费学术资源搜索服务,方便国内外学者检索中英文文献。致力于提供最便捷和优质的服务体验。 Copyright © 2023 布克学术 All rights reserved.
京ICP备2023020795号-1
ghs 京公网安备 11010802042870号
Book学术文献互助
Book学术文献互助群
群 号:604180095
Book学术官方微信